Login Register
English
0

Cart

$ 0

Abbkine Scientific announces the release of Anti-beta-Actin Mouse Monoclonal Antibody (1C7)

Date:2017-01-16 Views:8338

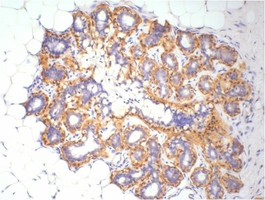
Abbkine Scientific Company Limited recently announced the release of a new product called Anti-β-Actin Mouse Monoclonal Antibody (1C7), a synthetic peptide hosted by the mouse. The liquid solution, released singularly for research use and not for human or clinical use, is another giant stride from one of the world’s leading research and scientific company.

ACTB is one of the major components of the cytoskeleton with a minimum of six isoforms known in mammals. Actins are generally important in the area of cell structure, motility, and integrity, and β-actin constitutes a major part of the contractile apparatus used as a loading control.

Abbkine Scientific announces the release of Anti-beta-Actin Mouse Monoclonal Antibody (1C7)The applications of the product include IHC and WB, with optimal working dilutions determined by the investigator experimentally. It is however suggested that the dilutions are started as WB 1:5000, IHC-p 1:200 to get the best result possible.

Otherwise known as ACTB; Actin; cytoplasmic 1; Beta-actin, with a synthetic peptide immunogen, the anti-body’s reactivity has been seen on chicken, rabbit, rat, monkey, insects, mouse, and even human. The product was affinity-purified from mouse ascites by affinity-chromatography using specific immunogen.

The product can be stored for one year at a stable condition of -20°C from the shipment date. To ensure the product is maximally recovered, it is advised that the original vial is centrifuged after thawing and before the cap is removed.

About Abbkine Scientific Co., Ltd

Abbkine Scientific Co., Ltd was founded in California in 2012 by a group of scientists and marketing experts in the life science field. The company since it was founded has provided innovative, high quality and cost-effective life science research and diagnosis products which have led to its steady and significant growth.

The company aims to continue to provide innovative, high quality assay kits, recombinant proteins, antibodies and other research tools to accelerate life science fundamental research, and drug discovery, with the combination of cutting edge technology from United States with China's manufacturing engineering and cost advantages.

Abbkine is determined to advance human and animal health by harnessing the best of human resources in combination with state-of-the-art technology. Since its founding, the company has been able to provide the highest quality products at affordable prices, some of which are listed below.

  • Full portfolio of epitope antibodies and internal control antibodies with custom conjugates;
  • Full portfolio of phospho-specific and featured methylation-specific antibodies with small size;
  • Top sale secondary antibodies with IFKine series for IF and IPkine for IP-WB analysis;
  • Full portfolio of protein purification tools with high quality and competitive price;
  • Top sale recombinant cytokines and growth factors;
  • More Cell function analysis kits, ELISA kits and cell tracking reagents are coming soon