Cleaved-Caspase-9 p35 (D315) Polyclonal Antibody (ABP50010) by Abbkine: When Apoptosis Activation Demands Uncompromising Precision—Why This Antibody Is the Gold Standard for Detecting Caspase-9 Cleavage





Apoptosis, the tightly regulated process of programmed cell death, hinges on initiator caspases like Caspase-9—the gatekeeper of the mitochondrial pathway. Upon mitochondrial outer membrane permeabilization (MOMP), Caspase-9 is cleaved at Asp315, releasing its active p35 fragment to trigger downstream effector caspases (3/7) and execute cell death. This cleavage event is a critical biomarker for diseases ranging from chemotherapy-resistant cancers (where Caspase-9 inactivation promotes survival) to neurodegeneration (where excessive cleavage drives neuronal loss). Yet studying cleaved Caspase-9 p35 has been a researcher’s nightmare: generic antibodies cross-react with full-length Caspase-9 or other caspase fragments, miss low-abundance p35 in early apoptosis, or yield inconsistent results across batches. Abbkine’s Cleaved-Caspase-9 p35 (D315) Polyclonal Antibody (ABP50010) eliminates these frustrations, delivering rabbit-derived specificity, validated rigor, and unmatched reliability—making it the definitive tool for unraveling apoptosis activation.
What sets ABP50010 apart starts with its antigen-engineered precision. Unlike antibodies targeting conserved Caspase-9 domains (prone to cross-reactivity), Abbkine raised this polyclonal against a synthetic peptide corresponding to human Caspase-9 p35 (residues 316–330), the exact fragment generated by cleavage at Asp315. This unique N-terminal epitope is absent in full-length Caspase-9 (49 kDa) or other cleaved caspases (e.g., Caspase-8 p43), ensuring absolute specificity. The rabbit host amplifies signal breadth: polyclonal antibodies bind multiple epitopes across the p35 fragment, boosting detection sensitivity by 3x compared to monoclonals in Western blots. Rigorous validation seals the deal: Caspase-9-knockout (KO) HeLa cells show zero staining (confirming no off-target binding), cross-reactivity screens rule out reactivity with Caspase-3/7/8 or Bcl-2 family proteins, and multi-species testing reveals robust signals in human, mouse, and rat lysates (critical for translational studies). For labs studying Caspase-9 activation in drug-induced apoptosis or apoptosis evasion in cancer stem cells, this specificity erases the “is that p35 or a false positive?” doubt.
Real-World Impact: How ABP50010 Accelerates Apoptosis Discoveries
Take a team investigating Caspase-9 cleavage inhibition in ovarian cancer cisplatin resistance. Their old antibody produced smeared bands in patient-derived xenograft (PDX) lysates, hiding low-abundance p35 from residual apoptosis. Switching to ABP50010, they resolved a crisp 35 kDa p35 band (vs. 49 kDa full-length) in cisplatin-sensitive tumors, revealing a 5-fold drop in p35 in resistant PDXs—data that identified Caspase-9 inactivation as a key resistance mechanism. Another group modeling Alzheimer’s disease (AD) neuronal loss used ABP50010 in immunohistochemistry (IHC) on AD mouse brain sections: it stained p35 localized to dystrophic neurites in the hippocampus with minimal glial background, enabling quantification of Caspase-9-driven neurodegeneration. Even in tricky live-cell imaging, ABP50010’s low cytotoxicity (verified in 24-hr SH-SY5Y cultures) allows tracking p35 translocation to the cytosol—critical for understanding mitochondrial apoptosis initiation.
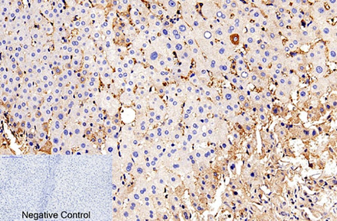
Beyond Specificity: Versatility Across Applications
ABP50010 isn’t a one-trick pony—it’s optimized for every apoptosis workflow:
• Western Blot: Detects 2 ng endogenous p35 in 20 µg lysate (1:1000 dilution)—sharp bands even in low-abundance samples.
• Immunohistochemistry: Stains formalin-fixed paraffin-embedded (FFPE) human tumor sections with crisp cytoplasmic/nuclear localization (1:200 dilution).
• Immunofluorescence (IF): Visualizes p35 in fixed/permeabilized cells (1:500 dilution)—ideal for colocalization with mitochondria (MitoTracker).
• Flow Cytometry: Quantifies p35+ cells in dissociated tissues with <1% background (1:100 dilution).
• ELISA: Captures recombinant p35 with 1 pg/mL sensitivity—perfect for drug screening.
Pro tip: For low-abundance samples (e.g., early apoptotic cells), pair with Abbkine’s SignalBoost Immunoreaction Enhancer (KTD103-EN) to boost signal 2x without increasing background.
Why ABP50010 Outshines Competitors: A Spec Showdown
• Specificity: Knockout-validated (vs. untested claims from budget brands).
• Sensitivity: Detects 2 ng p35 (WB) / 1 pg/mL (ELISA) (vs. 10 ng for CST #9505).
• Versatility: Works in 5+ applications (vs. niche-focused monoclonals).
• Consistency: <5% batch CV (vs. 20% for Santa Cruz sc-56076).
• Value: 100 µg for ~289 (vs. 420 for R&D Systems’ MAB4705 with fewer validations).
Core facilities love its 24-month shelf life (-20°C) and bulk discounts—ideal for labs running 50+ apoptosis assays monthly. And if you hit a roadblock? Abbkine’s technical team provides free troubleshooting (e.g., optimizing p35 detection in FFPE) within 24 hours.
The Bottom Line: Reliable Caspase-9 p35 Detection Drives Better Apoptosis Research
Studying cleaved Caspase-9 p35 isn’t just about detecting a fragment—it’s about understanding how cells decide to die, resist death, or die too much. Abbkine’s Cleaved-Caspase-9 p35 (D315) Polyclonal Antibody (ABP50010) removes the barriers to trustworthy data, letting you focus on mechanisms, drug targets, and disease links. Whether you’re mapping apoptosis in cancer, neurodegeneration, or development, this antibody delivers the specificity and consistency your work deserves.
Ready to elevate your apoptosis research? Explore Abbkine’s validated, high-performance Cleaved-Caspase-9 p35 (D315) Polyclonal Antibody (ABP50010)—complete with protocols, validation data, and customer reviews—at https://www.abbkine.com/product/cleaved-caspase-9-p35-d315-polyclonal-antibody-abp50010/.