Login Register
English
0

Cart

$ 0

Cleaved-Caspase-9 p35 (D315) Polyclonal Antibody

Cleaved-Caspase-9 p35 (D315) Polyclonal Antibody

Views(115) Publications(1) Catalog no(ABP50010)
Datasheet Print Share Email Share
  • Specification
  • FAQ
  • Publications(1)
  • Comments(0)

Specification

Product name Cleaved-Caspase-9 p35 (D315) Polyclonal Antibody
Immunogen Synthesized peptide derived from the Internal region of human Caspase-9 p35 at AA range: 240-320
Host Rabbit
Reactivity Human,Rat,Mouse,
Applications WB,IHC,IF,ELISA
Applications notes Optimal working dilutions should be determined experimentally by the investigator. Suggested starting dilutions are as follows: WB 1:500-2000;IHC 1:50-300;IF 1:50-300
Clonality Polyclonal
Preparation method The antibody was affinity-purified from rabbit antiserum by affinity-chromatography using epitope-specific immunogen.
Alternative CASP9; MCH6; Caspase-9; CASP-9; Apoptotic protease Mch-6; Apoptotic protease-activating factor 3; APAF-3; ICE-like apoptotic protease 6; ICE-LAP6

Product Properties

Formulation Liquid solution
Concentration 1 mg/ml
Molecular weight 35kD,46kD
Storage buffer Liquid in PBS containing 50% glycerol, 0.5% BSA and 0.02% sodium azide.
Storage instructions Stable for one year at -20°C from date of shipment. For maximum recovery of product, centrifuge the original vial after thawing and prior to removing the cap. Aliquot to avoid repeated freezing and thawing.
Shipping Gel pack with blue ice.
Precautions The product listed herein is for research use only and is not intended for use in human or clinical diagnosis. Suggested applications of our products are not recommendations to use our products in violation of any patent or as a license. We cannot be responsible for patent infringements or other violations that may occur with the use of this product.

Additional Information

Background CASP9 encodes a member of the cysteine-aspartic acid protease (caspase) family. Sequential activation of caspases plays a central role in the execution-phase of cell apoptosis. Caspases exist as inactive proenzymes which undergo proteolytic processing at conserved aspartic residues to produce two subunits, large and small, that dimerize to form the active enzyme. Caspase 9 can undergo autoproteolytic processing and activation by the apoptosome, a protein complex of cytochrome c and the apoptotic peptidase activating factor 1; this step is thought to be one of the earliest in the caspase activation cascade. Caspase 9 is thought to play a central role in apoptosis and to be a tumor suppressor. Alternative splicing results in multiple transcript variants.
Gene ID 842
Alternative CASP9; MCH6; Caspase-9; CASP-9; Apoptotic protease Mch-6; Apoptotic protease-activating factor 3; APAF-3; ICE-like apoptotic protease 6; ICE-LAP6
Others Cleaved-Caspase-9 p35 (D315) Polyclonal Antibody detects endogenous levels of fragment of activated Caspase-9 p35 protein resulting from cleavage adjacent to D315.
Accession P55211
Observed Band(KD) 37

Image & description

Fig.1. Western Blot analysis of VEC (1), A549 (2), diluted at 1:1000.

Fig.1. Western Blot analysis of VEC (1), A549 (2), diluted at 1:1000.

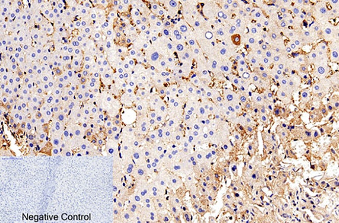
Fig.2. Immunohistochemical analysis of paraffin-embedded human liver tissue. 1, Cleaved-Caspase-9 p35 (D315) Polyclonal Antibody was diluted at 1:200 (4°C, overnight). 2, Sodium citrate pH 6.0 was used for antibody retrieval (>98°C, 20min). 3, secondary antibody was diluted at 1:200 (room temperature, 30min). Negative control was used by secondary antibody only.

Fig.2. Immunohistochemical analysis of paraffin-embedded human liver tissue. 1, Cleaved-Caspase-9 p35 (D315) Polyclonal Antibody was diluted at 1:200 (4°C, overnight). 2, Sodium citrate pH 6.0 was used for antibody retrieval (>98°C, 20min). 3, secondary antibody was diluted at 1:200 (room temperature, 30min). Negative control was used by secondary antibody only.

Fig.3. Immunofluorescence analysis of human breast tissue. 1, Cleaved-Caspase-9 p35 (D315) Polyclonal Antibody (red) was diluted at 1:200 (4°C, overnight). 2, Cy3 Labeled secondary antibody was diluted at 1:300 (room temperature, 50min). 3, Picture B: DAPI (blue) 10min. Picture A: Target. Picture B: DAPI. Picture C: merge of A+B.

Fig.3. Immunofluorescence analysis of human breast tissue. 1, Cleaved-Caspase-9 p35 (D315) Polyclonal Antibody (red) was diluted at 1:200 (4°C, overnight). 2, Cy3 Labeled secondary antibody was diluted at 1:300 (room temperature, 50min). 3, Picture B: DAPI (blue) 10min. Picture A: Target. Picture B: DAPI. Picture C: merge of A+B.

Fig.4. Western blot analysis of lysates from 293 cells, treated with Etoposide 25uM 60', using Caspase 9 (Cleaved-Asp315) Antibody. The lane on the right is blocked with the synthesized peptide.

Fig.4. Western blot analysis of lysates from 293 cells, treated with Etoposide 25uM 60', using Caspase 9 (Cleaved-Asp315) Antibody. The lane on the right is blocked with the synthesized peptide.

Fig.5. Downregulation of LINC00152 decreased the expression of MCL-1 and Bcl2, while increasing the expression of Bax, cytochrome c, cleaved caspase9, cleaved caspase 3, and cleaved PARP compared with the mock control.

Fig.5. Downregulation of LINC00152 decreased the expression of MCL-1 and Bcl2, while increasing the expression of Bax, cytochrome c, cleaved caspase9, cleaved caspase 3, and cleaved PARP compared with the mock control.

This product has been cited in1publications

Reviews

There are no reviews yet.

Be the first to review “Cleaved-Caspase-9 p35 (D315) Polyclonal Antibody”