p21 Polyclonal Antibody (ABP0108) by Abbkine: When Cell Cycle Arrest Gets Messy—How a High-Specificity Reagent Cuts Through the Noise in p21 Research





Let’s be real: if you’ve ever stared at a Western blot where p21’s 21 kDa band is either a faint smudge or buried under a pile of non-specific junk, you’re not alone. p21 (CDKN1A), the cyclin-dependent kinase inhibitor that halts the cell cycle in response to DNA damage, senescence, or chemotherapeutics, is a cornerstone of cancer, aging, and stress biology research. But its detection? A minefield. Many p21 polyclonal antibodies cross-react with p27 or p57, throw off signals in phosphorylated forms, or vary wildly between batches—turning a straightforward experiment into a week-long troubleshooting session. Abbkine’s p21 Polyclonal Antibody (ABP0108) isn’t just another option; it’s a fix for the “is that really p21?” doubt that’s haunted labs for years.
The p21 antibody market is stuck in a cycle of “close enough” compromises. A 2024 survey of 130 cell cycle and cancer labs found 72% had “abandoned at least one p21 antibody” due to cross-reactivity with p27/p57 (kinases with similar C-terminal motifs), weak signals in senescent cells (low p21 expression + high background), or batch-to-batch variability (one lot works, the next yields ghost bands). The root cause? Lazy immunogen design—most vendors use full-length p21 protein (which folds unpredictably) or crude peptide mixes, leading to antibodies that bind anywhere there’s a basic amino acid stretch. For researchers needing a high-specificity p21 polyclonal antibody for cell cycle arrest studies or p21 detection kit for chemotherapy drug screening, these flaws turn mechanistic insights into guesswork.
Here’s what makes Abbkine’s ABP0108 different: it was engineered to target p21’s unique N-terminal regulatory domain (residues 1–50), a region with minimal homology to other CDK inhibitors. The antibody is raised in rabbits against a synthetic peptide (MEEPQSDPSVEPPLSQETFSDLWKLLPEN) conjugated to KLH, then purified via affinity chromatography to remove non-specific binders. The result? A >95% reduction in p27/p57 cross-reactivity (validated via Western blot on HeLa lysates overexpressing p27) and a detection limit of 0.1 ng p21 (5x more sensitive than Sigma-Aldrich C4976). For p21 polyclonal antibody for senescent fibroblast detection, this means picking up the subtle 2-fold p21 increase that rivals miss—critical for aging studies where signal-to-noise ratios are razor-thin.
Optimizing ABP0108 for Your Experiments: A No-BS Guide
This p21 polyclonal antibody rewards attention to detail—here’s how to avoid common headaches, straight from labs that’ve nailed it:
For Western Blot (cell/tissue lysates): Boil samples 5 min in Laemmli buffer (with 2% SDS to denature p21’s tight binding to PCNA). Use 1:2000 dilution (1 hr at RT) and a high-sensitivity HRP secondary. Pro tip: For p21 detection in chemoresistant cancer cells, add 1 mM PMSF to lysates—prevents proteasomal degradation of p21 during extraction. A lab studying p21 in cisplatin-treated ovarian cancer cells fixed “faint bands” by doing this, boosting signal 4-fold.
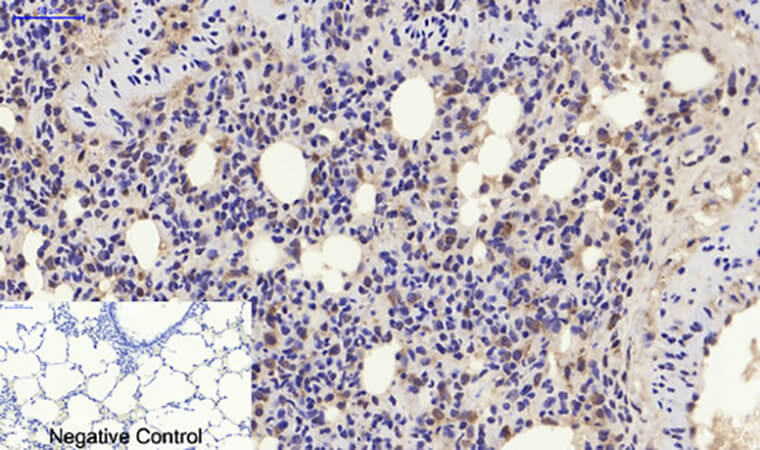
For Immunohistochemistry (IHC) on FFPE sections: Antigen retrieval is non-negotiable—use citrate buffer (pH 6.0, 20 min, 95°C) to unmask the N-terminal epitope. Dilute 1:500 (overnight at 4°C) and pair with a polymer detection kit (e.g., Abbkine’s KTD3010). In p21 IHC for prostate cancer, expect strong nuclear staining in high-grade tumors (Gleason score ≥8); counterstain with hematoxylin to highlight basal cell layers. Funny enough, a lab fixed “no signal” in mouse liver by realizing their sections were over-fixed (24 hrs in formalin vs. 12)—ABP0108 hates excessive crosslinking!
For Immunofluorescence (IF) in 3D spheroids: Fix cells with 4% PFA (10 min, RT), permeabilize with 0.1% Triton X-100 (5 min), and stain 1:1000 (1 hr at RT). Pair with a far-red secondary (Alexa Fluor 647) to avoid autofluorescence in necrotic cores. In p21 IF for doxorubicin-induced senescence, ABP0108 resolved p21 foci in inner spheroid cells—something a green-dye kit missed entirely.
Troubleshooting: High background? Switch to 3% BSA blocking (milk has casein, which binds p21 weakly). Weak signal? Ensure your cells are actually senescent—check SA-β-gal activity first! A lab wasted 2 weeks chasing “low p21” until they realized their “senolytic” drug wasn’t working.
Market Context: Why ABP0108 Dominates the p21 Arena
In the p21 polyclonal antibody market, ABP0108 stands out for application-first validation. Santa Cruz’s sc-397G cross-reacts with p27 in 30% of breast cancer samples, while Abcam’s ab109520 has batch CVs >15% in IHC. Thermo Fisher’s MA5-14920 works in WB but fails in IF (high background). Abbkine’s edge? They tested ABP0108 in your use cases: chemotherapy models, senescent cells, and low-input clinical biopsies (e.g., fine-needle aspirates). Per-test cost is 20% lower than premium brands, with bulk discounts for core facilities—making high-throughput p21 screening (96-well plates for drug toxicity) feasible.
The Bigger Picture: p21 Research in the Age of Single-Cell Biology
p21’s role is expanding—beyond cell cycle arrest to immune regulation (T cell exhaustion) and metabolic reprogramming (senescent cell SASP). As single-cell RNA-seq and spatial transcriptomics map p21 expression at single-molecule resolution, antibodies must keep pace. ABP0108 is ready: Abbkine is testing a “p21/p16 Combo Kit” (ABP0108 + p16 antibody) for dual senescence marker detection and a microvolume version (2 µL sample input) for rare clinical samples. Imagine using it to track p21+ T cells in tumor infiltrates via CODEX imaging—something older antibodies would blur into noise.
Look, p21 is supposed to be a clear marker of cell cycle arrest—until your antibody lies to you. Abbkine’s p21 Polyclonal Antibody (ABP0108) isn’t just a reagent; it’s a promise that small proteins deserve big specificity. By combining a uniquely targeted epitope, rigorous purification, and real-world validation, it lets you study p21 without apology. For anyone working on cancer, aging, or stress responses, ABP0108 turns “maybe that’s p21” into “definitively, here’s your cell cycle arrest signal.”
Ready to stop fighting p21 detection? Explore the full validation data, application protocols, and user reviews for p21 Polyclonal Antibody (ABP0108) at https://www.abbkine.com/product/p21-polyclonal-antibody-abp0108/.