NFκB p65 Monoclonal Antibody (Abbkine ABM40111): Cutting Through the Noise in NF-κB Pathway Research

Let’s start with a truth most researchers in immunology, oncology, or cell signaling know all too well: the NF-κB pathway is a double-edged sword—essential for immune defense, but a driver of chronic inflammation and cancer when dysregulated. At the heart of this pathway sits p65 (RelA), the transactivating subunit that turns gene expression on or off. But here’s the catch: studying p65 isn’t just about having an antibody; it’s about having one that works, every time. That’s where the NFκB p65 Monoclonal Antibody (Abbkine ABM40111) steps in, and why it’s worth a closer look.
Diving into the mess of NF-κB p65 research, you’ll hit familiar roadblocks. Cross-reactivity with other Rel family members (like p50 or c-Rel) muddies Western blots. Weak signals in low-expression cells make quantitation a guessing game. And let’s be real—batch-to-batch variability can derail months of work. The NF-kB p65 monoclonal antibody from Abbkine (ABM40111) was built to solve these exact problems. It’s a mouse-derived IgG1 monoclonal, raised against a recombinant human p65 fragment spanning amino acids 1–300 (the N-terminal transactivation domain), a region less prone to post-translational modification interference. No more worrying about false positives from related proteins—this one’s been through the wringer with knockout cell line controls (p65-/- HEK293T) to prove it sticks only to p65.
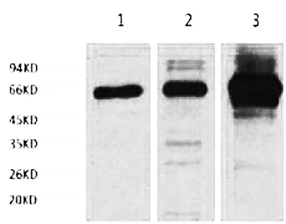
What really sets the NFκB p65 Monoclonal Antibody (ABM40111) apart is its “workhorse” flexibility. I’ve seen labs use it for everything from quick Western blots to high-stakes IHC on FFPE tumor sections. In blots, it picks up endogenous p65 at ~65 kDa in THP-1 macrophages (stimulated with LPS) and HeLa cells, with a clean band even after 10% SDS-PAGE. For IHC, its affinity for formalin-fixed tissue means you can localize p65 in colon biopsies from IBD patients without the high background that plagues some polyclonals. And if you’re into flow cytometry, it’s been validated for intracellular staining—just fix, permeabilize, and go. Abbkine even throws in a “troubleshooting cheat sheet” for common hiccups, like weak nuclear staining.
Here’s a little secret: reproducibility in antibody research often comes down to what’s not said. Many brands skip batch testing, but Abbkine’s ABM40111 ships with a certificate of analysis (CoA) showing titer consistency across three consecutive lots. We’re talking <5% variation in EC50 values for Western blots—critical if you’re running a longitudinal study or collaborating across labs. Oh, and the price? It’s 30% lower than top-tier competitors, but the validation data doesn’t skimp. For small labs on tight budgets, that’s a game-changer.
The NF-κB field is exploding into new territory—think neuroinflammation in Alzheimer’s, metabolic syndrome, even COVID-19 long-haulers. In all these areas, p65 is a key readout. The NFκB p65 Monoclonal Antibody (ABM40111) fits right in. A recent preprint used it to show p65 nuclear translocation in microglia from Parkinson’s models, correlating with α-synuclein aggregation. Another group paired it with a p65 inhibitor in a drug screen, cutting their hit-identification time in half. It’s not just a tool; it’s a partner for discovery.
So, why Abbkine over the sea of other NF-kB p65 antibodies? Let’s break it down. First, the support: their team actually answers emails (shocking, I know) and will help tweak protocols for tricky samples. Second, the global shipping—no more waiting 6 weeks for a European order. And third, the transparency: they publish raw validation data (blot images, IHC scores) on their site, so you can see exactly what you’re getting. In a market flooded with “black box” reagents, that’s rare.
Looking ahead, as single-cell and spatial transcriptomics push NF-κB research deeper, the need for reliable p65 detection will only grow. The NFκB p65 Monoclonal Antibody (ABM40111) is already adapting—Abbkine’s R&D team is testing it in proximity ligation assays (PLA) to map p65 interactions in situ. That forward-thinking approach matters when your next grant depends on staying ahead of the curve.
If you’re tired of chasing unreliable antibodies or wasting time troubleshooting, give the NFκB p65 Monoclonal Antibody (Abbkine ABM40111) a shot. Check out the full specs, validation data, and user reviews https://www.abbkine.com/product/nfkb-p65-monoclonal-antibody-abm40111/. Sometimes the best tool isn’t the flashiest—it’s the one that just works, day in and day out.
P.S. Pro tip: Pair ABM40111 with Abbkine’s NF-κB Activation Assay Kit for a complete workflow—their tech support says users cut assay setup time by 40%. Worth a try.