ERβ Polyclonal Antibody (Abbkine ABP0087): A Practical Guide to Unlocking Estrogen Receptor Beta Research

Navigating the Complexities of Estrogen Receptor Beta Research
Estrogen receptor beta (ERβ), a critical nuclear receptor mediating estrogen signaling in diverse tissues, has emerged as a focal point in studies ranging from cancer biology to neuroprotection. Yet, researchers often face hurdles in obtaining reliable tools to dissect its functions—from inconsistent antibody specificity to variable validation data. This guide explores how the ERβ Polyclonal Antibody (Abbkine ABP0087) addresses these challenges, offering a robust solution for advancing ERβ-related investigations.
The Critical Role of Specificity in ERβ Detection
A major pain point in ERβ research is antibody cross-reactivity with its isoform, ERα, which shares structural homology but distinct biological roles. Low-specificity antibodies can lead to misleading conclusions, particularly in tissues co-expressing both receptors. The ERβ polyclonal antibody by Abbkine (ABP0087) mitigates this risk through rigorous epitope mapping and validation. Produced by immunizing rabbits with a synthetic peptide corresponding to the C-terminal region of human ERβ, it exhibits minimal cross-reactivity with ERα, as confirmed by Western blot and immunohistochemistry (IHC) on mixed tissue lysates. For researchers studying ERβ’s unique role in prostate cancer or neuronal differentiation, such specificity is non-negotiable.
Optimizing Experimental Workflows with Validated Performance
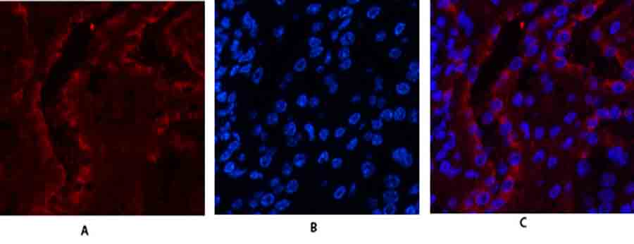
Beyond specificity, experimental versatility defines a high-quality antibody. The ERβ Polyclonal Antibody (ABP0087) delivers consistent results across multiple applications, including Western blotting, IHC, immunofluorescence (IF), and flow cytometry. In Western blots, it detects endogenous ERβ at ~55 kDa in cell lines like MCF-7 (low ERβ) and PC-3 (high ERβ), with clear band resolution even in low-expression samples. For IHC, its pre-adsorbed formulation reduces background noise, enabling precise localization in formalin-fixed paraffin-embedded (FFPE) sections of breast or brain tissue. Researchers aiming to quantify ERβ expression via ELISA will also appreciate its compatibility with standard protocols, supported by Abbkine’s detailed application notes.
Addressing Reproducibility Through Rigorous Validation
Reproducibility remains a cornerstone of scientific integrity, yet many commercial antibodies lack transparent validation data. Abbkine sets a benchmark here: the ERβ polyclonal antibody (ABP0087) is backed by extensive testing, including knockout cell line controls (e.g., ERβ-/- HEK293T) to confirm target specificity. Additionally, batch-to-batch consistency is ensured through strict quality control, with each lot tested for titer and reactivity. For labs scaling up experiments or collaborating across institutions, this reliability translates to reduced troubleshooting time and enhanced confidence in data.
Expanding Applications: From Basic Research to Translational Insights
The utility of the ERβ Polyclonal Antibody (ABP0087) extends beyond traditional assays. In drug discovery, it aids in screening ERβ modulators by detecting changes in receptor levels upon treatment. For neuroscientists, its IF compatibility enables visualization of ERβ in hippocampal neurons, shedding light on its role in memory regulation. Even in agricultural research, where ERβ influences reproductive physiology in livestock, this antibody offers a tool to study breed-specific expression patterns. Such breadth underscores its value as a multi-purpose reagent in modern life science labs.
Why Choose Abbkine’s ERβ Polyclonal Antibody?
In a market saturated with antibodies of varying quality, Abbkine’s ABP0087 stands out for its balance of performance, affordability, and support. Priced competitively against premium brands, it includes technical resources like protocol optimization tips and troubleshooting guides. Moreover, Abbkine’s global distribution network ensures timely access, while their responsive customer service team assists with experimental design queries. For researchers prioritizing both rigor and efficiency, this ERβ polyclonal antibody represents a strategic investment.
Looking Ahead: Empowering Next-Generation ERβ Studies
As ERβ research expands into areas like metabolic syndrome and autoimmune diseases, the demand for dependable tools will only grow. The ERβ Polyclonal Antibody (Abbkine ABP0087) not only meets current needs but also adapts to emerging methodologies—such as single-cell RNA-seq validation or CRISPR-based editing studies. By choosing a well-characterized antibody, researchers can accelerate discoveries that bridge basic science and clinical translation.
For those ready to elevate their ERβ experiments, explore the full details of the ERβ Polyclonal Antibody (Abbkine ABP0087) https://www.abbkine.com/product/er%CE%B2-polyclonal-antibody-abp0087/. With its proven track record, this antibody is poised to become a staple in your lab’s toolkit.