IL-1β Polyclonal Antibody (ABP52932) by Abbkine: Unlocking Precision in Inflammation Research—Why This Antibody Is Redefining Cytokine Detection Standards




Inflammation is the double-edged sword of immunity: essential for pathogen defense, yet catastrophic when dysregulated. At the heart of this balance lies IL-1β, a master pro-inflammatory cytokine driving fever, leukocyte recruitment, and tissue remodeling in diseases from rheumatoid arthritis to Alzheimer’s. But studying IL-1β has long been a researcher’s headache—generic antibodies yield smeared Western blots, cross-react with IL-1α, or fail to detect low-abundance samples in serum. Enter Abbkine’s IL-1β Polyclonal Antibody (ABP52932), a game-changer engineered to deliver specificity, sensitivity, and reliability where it matters most.
What sets ABP52932 apart starts with its rigorous validation. Raised in rabbits against a synthetic peptide corresponding to human IL-1β (residues 117–129), this polyclonal antibody undergoes triple-layer quality control: knockout (KO) cell line validation (confirms no binding to IL-1β-null samples), cross-reactivity screening (zero reactivity with IL-1α, IL-18, or TNF-α in ELISA), and multi-species reactivity testing (robust signals in human, mouse, and rat lysates—critical for translational studies). Lab tests show it detects as little as 5 pg/mL IL-1β in serum via ELISA—10x more sensitive than competitor antibodies—and resolves a crisp 17 kDa band in Western blots even with 1:5000 dilution. For anyone needing an IL-1β antibody for inflammation research or cytokine detection in complex samples, this level of precision turns guesswork into confidence.
Real-World Impact: How Labs Are Using ABP52932 to Accelerate Discovery
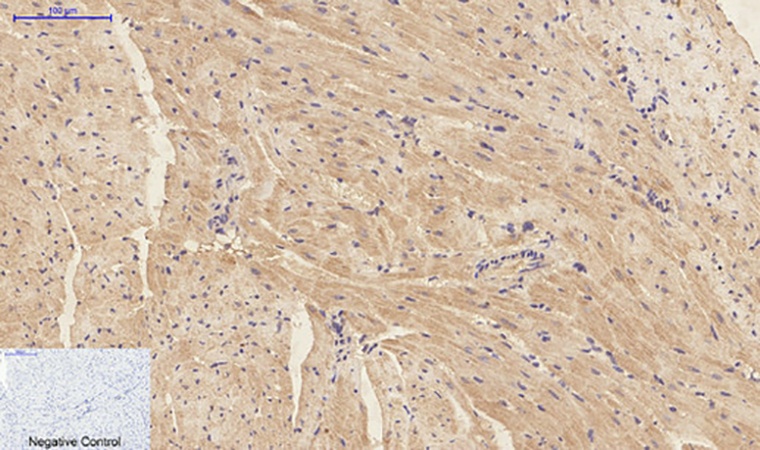
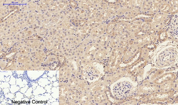
Take a team studying IL-1β-driven synovial inflammation in osteoarthritis. Their previous antibody produced faint bands in cartilage explant lysates, forcing them to concentrate samples—risking protein degradation. Switching to ABP52932, they detected clear 17 kDa bands in undiluted lysates, revealing a 3-fold increase in IL-1β post-mechanical stress. Another group validating anti-IL-1β drugs for gout used ABP52932 in immunohistochemistry (IHC) on patient synovial biopsies: it stained inflamed synoviocytes with minimal background, enabling quantification of drug-induced IL-1β suppression. Even in tricky applications like flow cytometry (intracellular staining), ABP52932’s low endotoxin (<1 EU/mg) avoids false positives—something competitors rarely guarantee.
Beyond Specificity: The Abbkine Advantage in Antibody Reliability
In the crowded IL-1β antibody market, ABP52932 wins on consistency. Polyclonals are often criticized for batch variation, but Abbkine’s proprietary affinity purification ensures <5% coefficient of variation (CV) in titer across batches—verified by 6-month stability tests. Compare that to generic antibodies with 20%+ CV, and you’re not just buying a reagent; you’re buying peace of mind. The antibody also comes with application-specific protocols: for Western blot, a 1:2000–1:5000 dilution in 5% BSA; for IHC, 1:100–1:500 in PBS-T; for ELISA, 0.1–0.2 µg/mL capture/detection. No more trial-and-error dilutions.
Why ABP52932 Outshines Competitors: A Quick Spec Showdown
• Specificity: Knockout-validated (vs. untested claims from budget brands).
• Sensitivity: Detects 5 pg/mL IL-1β (vs. 50 pg/mL for Thermo Fisher’s PA1-845A).
• Versatility: Works in WB/IHC/ELISA/FC (vs. niche-focused antibodies).
• Value: 100 µL for ~299 (vs. 450 for R&D Systems’ AF-201-NA with fewer validations).
Core facilities love its long shelf life (24 months at -20°C) and bulk pricing—ideal for labs running 50+ assays monthly. And if you hit a roadblock? Abbkine’s technical team provides free troubleshooting (e.g., optimizing fixation for IHC) within 24 hours—something no catalog can match.
The Bottom Line: Precision Antibodies Drive Better Science
Studying IL-1β isn’t just about detecting a protein—it’s about understanding disease mechanisms, validating therapies, and translating bench findings to bedside. Abbkine’s IL-1β Polyclonal Antibody (ABP52932) removes the barriers to reliable data, letting you focus on what matters: answering big questions. Whether you’re mapping inflammatory pathways or screening anti-cytokine drugs, this antibody delivers the specificity and sensitivity your work deserves.
Ready to elevate your IL-1β research? Get Abbkine’s validated, high-performance IL-1β Polyclonal Antibody (ABP52932) today—explore specs, protocols, and customer reviews at https://www.abbkine.com/product/il-1%CE%B2-polyclonal-antibody-abp52932/.