Login Register
English
0

Cart

$ 0

PKC Polyclonal Antibody

PKC Polyclonal Antibody

Views(69) Publications(0) Catalog no(ABP52223)
Datasheet Print Share Email Share
  • Specification
  • FAQ
  • Publications(0)
  • Comments(0)

Specification

Product name PKC Polyclonal Antibody
Immunogen Synthesized peptide derived from human PKC around the non-phosphorylation site of T497
Host Rabbit
Reactivity Human,Mouse,Rat
Applications WB,IHC,IF,ELISA
Applications notes Optimal working dilutions should be determined experimentally by the investigator. Suggested starting dilutions are as follows: WB 1:500-1:2000;IHC 1:100-1:300;IF 1:200-1:1000;ELISA 1:5000;Not yet tested in other applications.
Clonality Polyclonal
Preparation method The antibody was affinity-purified from rabbit antiserum by affinity-chromatography using epitope-specific immunogen.
Alternative PRKCA; PKCA; PRKACA; Protein kinase C alpha type; PKC-A; PKC-alpha; PRKCB; PKCB; PRKCB1; Protein kinase C beta type; PKC-B; PKC-beta; PRKCD; Protein kinase C delta type; Tyrosine-protein kinase PRKCD; nPKC-delta; PRKCE; PKCE; Protein kinase

Product Properties

Formulation Liquid solution
Concentration 1 mg/ml
Molecular weight 67-83kD(α 76,δ/β 77,γ 78,θ/ε83 ,ζ 67)
Storage buffer Liquid in PBS containing 50% glycerol, 0.5% BSA and 0.02% sodium azide.
Storage instructions Stable for one year at -20°C from date of shipment. For maximum recovery of product, centrifuge the original vial after thawing and prior to removing the cap. Aliquot to avoid repeated freezing and thawing.
Shipping Gel pack with blue ice.
Precautions The product listed herein is for research use only and is not intended for use in human or clinical diagnosis. Suggested applications of our products are not recommendations to use our products in violation of any patent or as a license. We cannot be responsible for patent infringements or other violations that may occur with the use of this product.

Additional Information

Background Protein kinase C (PKC) is a family of serine- and threonine-specific protein kinases that can be activated by calcium and the second messenger diacylglycerol. PKC family members phosphorylate a wide variety of protein targets and are known to be involved in diverse cellular signaling pathways. PKC family members also serve as major receptors for phorbol esters, a class of tumor promoters. Each member of the PKC family has a specific expression profile and is believed to play a distinct role in cells. Protein kinase C alpha by PRKCA is one of the PKC family members. Protein kinase C alphahas been reported to play roles in many different cellular processes, such as cell adhesion, cell transformation, cell cycle checkpoint, and cell volume control. Knockout studies in mice suggest that this kinase may be a fundamental regulator of cardiac contractility and Ca (2+) handling in myocytes
Gene ID 5578/5579/5580/5581/5582/5583/5588/5590
Alternative PRKCA; PKCA; PRKACA; Protein kinase C alpha type; PKC-A; PKC-alpha; PRKCB; PKCB; PRKCB1; Protein kinase C beta type; PKC-B; PKC-beta; PRKCD; Protein kinase C delta type; Tyrosine-protein kinase PRKCD; nPKC-delta; PRKCE; PKCE; Protein kinase
Others PKC Polyclonal Antibody detects endogenous levels of PKC protein.
Accession P17252/P05771/Q05655/Q02156/P05129/P24723/Q04759/Q05513
Observed Band(KD) 67-83kD(α 76,δ/β 77,γ 78, θ/ε83 , ζ 67)

Image & description

Fig.1. Western Blot analysis of various cells using PKC Polyclonal Antibody diluted at 1:2000.

Fig.1. Western Blot analysis of various cells using PKC Polyclonal Antibody diluted at 1:2000.

Fig.2. Immunofluorescence analysis of human liver tissue. 1, PKC Polyclonal Antibody (red) was diluted at 1:200 (4°C, overnight). 2, Cy3 Labeled secondary antibody was diluted at 1:300 (room temperature, 50min). 3, Picture B: DAPI (blue) 10min. Picture A: Target. Picture B: DAPI. Picture C: merge of A+B.

Fig.2. Immunofluorescence analysis of human liver tissue. 1, PKC Polyclonal Antibody (red) was diluted at 1:200 (4°C, overnight). 2, Cy3 Labeled secondary antibody was diluted at 1:300 (room temperature, 50min). 3, Picture B: DAPI (blue) 10min. Picture A: Target. Picture B: DAPI. Picture C: merge of A+B.

Fig.3. Immunohistochemical analysis of paraffin-embedded human uterus tissue. 1, PKC Polyclonal Antibody was diluted at 1:200 (4°C, overnight). 2, Sodium citrate pH 6.0 was used for antibody retrieval (>98°C, 20min). 3, secondary antibody was diluted at 1:200 (room temperature, 30min). Negative control was used by secondary antibody only.

Fig.3. Immunohistochemical analysis of paraffin-embedded human uterus tissue. 1, PKC Polyclonal Antibody was diluted at 1:200 (4°C, overnight). 2, Sodium citrate pH 6.0 was used for antibody retrieval (>98°C, 20min). 3, secondary antibody was diluted at 1:200 (room temperature, 30min). Negative control was used by secondary antibody only.

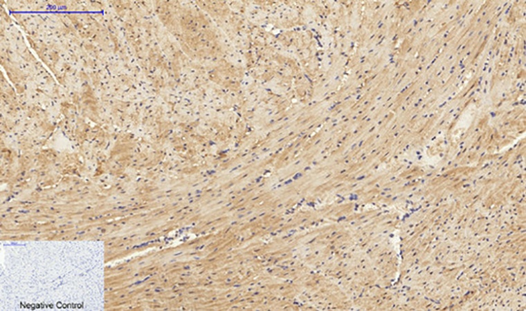
Fig.4. Immunohistochemical analysis of paraffin-embedded mouse heart tissue. 1, PKC Polyclonal Antibody was diluted at 1:200 (4°C, overnight). 2, Sodium citrate pH 6.0 was used for antibody retrieval (>98°C, 20min). 3, secondary antibody was diluted at 1:200 (room temperature, 30min). Negative control was used by secondary antibody only.

Fig.4. Immunohistochemical analysis of paraffin-embedded mouse heart tissue. 1, PKC Polyclonal Antibody was diluted at 1:200 (4°C, overnight). 2, Sodium citrate pH 6.0 was used for antibody retrieval (>98°C, 20min). 3, secondary antibody was diluted at 1:200 (room temperature, 30min). Negative control was used by secondary antibody only.

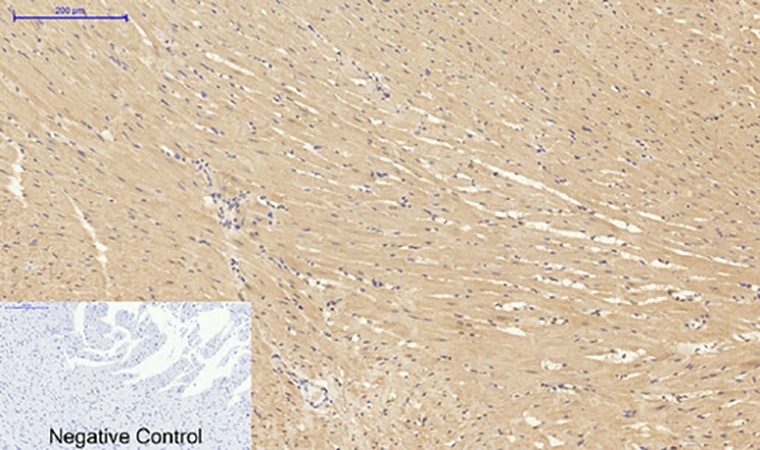
Fig.5. Immunohistochemical analysis of paraffin-embedded rat heart tissue. 1, PKC Polyclonal Antibody was diluted at 1:200 (4°C, overnight). 2, Sodium citrate pH 6.0 was used for antibody retrieval (>98°C, 20min). 3, secondary antibody was diluted at 1:200 (room temperature, 30min). Negative control was used by secondary antibody only.

Fig.5. Immunohistochemical analysis of paraffin-embedded rat heart tissue. 1, PKC Polyclonal Antibody was diluted at 1:200 (4°C, overnight). 2, Sodium citrate pH 6.0 was used for antibody retrieval (>98°C, 20min). 3, secondary antibody was diluted at 1:200 (room temperature, 30min). Negative control was used by secondary antibody only.

This product has been cited in0publications

Reviews

There are no reviews yet.

Be the first to review “PKC Polyclonal Antibody”