Login Register
English
0

Cart

$ 0

LC3B Mouse Monoclonal Antibody (9H5)

LC3B Mouse Monoclonal Antibody (9H5)

Views(89) Publications(1) Catalog no(ABM40296)
Datasheet Print Share Email Share
  • Specification
  • FAQ
  • Publications(1)
  • Comments(0)

Specification

Product name LC3B Mouse Monoclonal Antibody (9H5)
Immunogen Recombinant Protein of LC3B of MAP1LC3B
Host Mouse
Reactivity Human,Bovine
Applications WB,IHC,IF
Applications notes Optimal working dilutions should be determined experimentally by the investigator. Suggested starting dilutions are as follows: WB 1:500-2000;IHC 1:50-300;ELISA 1:2000-20000;IF 1:50-200
Clonality Monoclonal
Preparation method The antibody was affinity-purified from mouse ascites by affinity-chromatography using specific immunogen.
Alternative MAP1LC3B

Product Properties

Formulation Liquid solution
Concentration 1 mg/ml
Molecular weight 14,16kD
Storage buffer Liquid in PBS containing 50% glycerol, 0.5% BSA and 0.02% sodium azide.
Storage instructions Stable for one year at -20°C from date of shipment. For maximum recovery of product, centrifuge the original vial after thawing and prior to removing the cap. Aliquot to avoid repeated freezing and thawing.
Shipping Gel pack with blue ice.
Precautions The product listed herein is for research use only and is not intended for use in human or clinical diagnosis. Suggested applications of our products are not recommendations to use our products in violation of any patent or as a license. We cannot be responsible for patent infringements or other violations that may occur with the use of this product.

Additional Information

Background The product of MAP1LC3B (microtubule associated protein 1 light chain 3 beta) is a subunit of neuronal microtubule-associated MAP1A and MAP1B proteins, which are involved in microtubule assembly and important for neurogenesis. Studies on the rat homolog implicate a role for MAP1LC3B in autophagy, a process that involves the bulk degradation of cytoplasmic component.
Gene ID 81631
Alternative MAP1LC3B
Others LC3B protein detects endogenous levels of MAP1LC3B.
Accession Q9GZQ8
Observed Band(KD) 14,16

Image & description

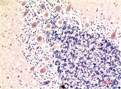
Fig. Immunohistochemical analysis of paraffin-embedded Human Brain Tissue using LC3B Mouse mAb diluted at 1:200.

Fig. Immunohistochemical analysis of paraffin-embedded Human Brain Tissue using LC3B Mouse mAb diluted at 1:200.

This product has been cited in1publications

Reviews

There are no reviews yet.

Be the first to review “LC3B Mouse Monoclonal Antibody (9H5)”