ABP58647: Abbkine’s GM-CSF Polyclonal Antibody – A Cornerstone Tool for Cytokine Biology and Inflammatory Research

In the field of immunology and cytokine research, detecting Granulocyte-Macrophage Colony-Stimulating Factor (GM-CSF) with high specificity and reliability is critical—yet it remains a challenge for many labs. GM-CSF, a key proinflammatory cytokine, regulates hematopoietic cell differentiation, drives immune cell activation, and plays a central role in conditions like cytokine storms and autoimmune diseases. For researchers aiming to unravel these pathways, a robust antibody is non-negotiable—and Abbkine’s GM-CSF Polyclonal Antibody (catalog number: ABP58647) emerges as a standout solution. Priced at $109 for 30μl, this reagent is designed to meet the rigorous demands of modern cytokine studies, balancing performance, versatility, and cost-effectiveness.
One of the most critical attributes of any research antibody is its ability to target the intended antigen without cross-reactivity—and ABP58647 excels here. Its immunogen is a synthesized peptide derived from the 100–144 amino acid region of human GM-CSF, a sequence carefully selected to ensure specificity for the endogenous protein. Produced in rabbit, this polyclonal antibody offers a key advantage over some monoclonals: it recognizes multiple epitopes of GM-CSF, which enhances signal strength and reduces the risk of false negatives, especially when detecting low-abundance or post-translationally modified forms of the cytokine. What’s more, it exhibits reactivity with human, rat, and mouse samples—a feature that eliminates the need to source separate antibodies for cross-species experiments, saving labs both time and budget. This cross-reactivity is particularly valuable for studies comparing GM-CSF function across animal models and human tissues, a common practice in translational research.
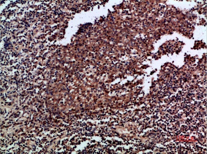
Versatility in applications is another area where ABP58647 shines, catering to the diverse needs of cytokine researchers. It is validated for three core techniques: Immunohistochemistry (IHC), Immunofluorescence (IF), and Enzyme-Linked Immunosorbent Assay (ELISA)—each addressing distinct research goals. For IHC, Abbkine suggests a starting dilution of 1:50–200, making it suitable for visualizing GM-CSF distribution in paraffin-embedded tissues (e.g., human tonsil, as shown in the product’s representative images). For IF (1:50–200 dilution), it enables precise localization of GM-CSF within individual cells, a must for studying cellular responses to inflammation. Notably, its high sensitivity for ELISA (1:10,000–20,000 dilution) allows for quantitative measurement of GM-CSF levels in biological fluids or cell supernatants—an essential capability for experiments quantifying cytokine secretion, such as assessing T cell activation or macrophage response to stimuli. This breadth of applications means researchers can use a single antibody across multiple experiments, ensuring consistency in data.
Beyond performance, ABP58647 is engineered for practicality—a factor often overlooked but vital for lab efficiency. It comes as a ready-to-use liquid solution (1 mg/ml concentration) in a buffer containing 50% glycerol, 0.5% BSA, and 0.02% sodium azide. This formulation not only preserves antibody activity but also eliminates the need for time-consuming reconstitution (a common pain point with lyophilized antibodies, which risk concentration errors or contamination during rehydration). Storage is straightforward too: it remains stable for one year at -20°C from the shipment date, and Abbkine recommends aliquoting to avoid repeated freeze-thaw cycles— a simple step that extends the antibody’s lifespan. During shipping, it is packed with gel packs and blue ice to maintain a stable low temperature, ensuring it arrives in optimal condition. These design choices reflect an understanding of real-world lab workflows, reducing troubleshooting and minimizing reagent waste.
To contextualize ABP58647’s value, it’s essential to link it to the broader significance of GM-CSF research. GM-CSF, encoded by the CSF2 gene (Gene ID: 1437), is not just a hematopoietic growth factor—it is a key mediator of inflammatory responses. Dysregulation of GM-CSF is linked to diseases ranging from mucositis to severe COVID-19 (where it contributes to cytokine storms). As such, tools that accurately detect GM-CSF are foundational to developing new therapies (e.g., GM-CSF-neutralizing antibodies like TJM2) and understanding disease mechanisms. ABP58647’s ability to detect endogenous GM-CSF (not just recombinant protein) makes it particularly relevant for translational research, as it mirrors the actual GM-CSF levels present in biological systems. Unlike some antibodies that only recognize recombinant GM-CSF, ABP58647 ensures data reflects physiological conditions—a critical distinction for studies aiming to translate findings to clinical settings.
It’s also worth noting the advantages of polyclonal antibodies in GM-CSF research. While monoclonals offer high specificity for a single epitope, they can fail if that epitope is masked by post-translational modifications or structural changes. Polyclonals like ABP58647, by targeting multiple epitopes, are more resilient to such variations, making them more reliable for detecting native GM-CSF in complex samples (e.g., tissue lysates or serum). Additionally, Abbkine’s affinity-purification process (using the epitope-specific immunogen) ensures the antibody is highly pure, reducing background noise in experiments—a common issue with impure antibodies that can lead to misinterpretation of results.
For researchers seeking a consistent, specific, and user-friendly tool to advance their GM-CSF-related work, Abbkine’s ABP58647 GM-CSF Polyclonal Antibody delivers on all fronts. It combines robust performance across key applications, practical design, and alignment with high-impact research areas—making it a valuable asset for immunologists, inflammation researchers, and translational scientists alike. To explore its full specifications, access application protocols, or place an order, visit the official product page: https://www.abbkine.com/product/gm-csf-polyclonal-antibody-abp58647/.