Login Register
English
0

Cart

$ 0

Villin Polyclonal Antibody

Villin Polyclonal Antibody

Views(85) Publications(0) Catalog no(ABP57472)
Datasheet Print Share Email Share
  • Specification
  • FAQ
  • Publications(0)
  • Comments(0)

Specification

Product name Villin Polyclonal Antibody
Immunogen Synthesized peptide derived from Villin at AA range: 601-650
Host Rabbit
Reactivity Human,Mouse,Rat
Applications WB,ELISA
Applications notes Optimal working dilutions should be determined experimentally by the investigator. Suggested starting dilutions are as follows: WB 1:500-2000;ELISA 1:10000-20000
Clonality Polyclonal
Preparation method The antibody was affinity-purified from rabbit antiserum by affinity-chromatography using epitope-specific immunogen.
Alternative villin 1

Product Properties

Formulation Liquid solution
Concentration 1 mg/ml
Molecular weight 90kD
Storage buffer Liquid in PBS containing 50% glycerol, 0.5% BSA and 0.02% sodium azide.
Storage instructions Stable for one year at -20°C from date of shipment. For maximum recovery of product, centrifuge the original vial after thawing and prior to removing the cap. Aliquot to avoid repeated freezing and thawing.
Shipping Gel pack with blue ice.
Precautions The product listed herein is for research use only and is not intended for use in human or clinical diagnosis. Suggested applications of our products are not recommendations to use our products in violation of any patent or as a license. We cannot be responsible for patent infringements or other violations that may occur with the use of this product.

Additional Information

Background VIL1 (villin 1) encodes a member of a family of calcium-regulated actin-binding proteins. This protein represents a dominant part of the brush border cytoskeleton which functions in the capping, severing, and bundling of actin filaments. Two mRNAs of 2.7 kb and 3.5 kb have been observed; they result from utilization of alternate poly-adenylation signals present in the terminal exon.
Gene ID 7429
Alternative villin 1
Others Villin Polyclonal Antibody detects endogenous levels of Villin.
Accession P09327
Observed Band(KD) 90

Image & description

Fig.1. Western Blot analysis of K562 cells using Villin Polyclonal Antibody diluted at 1:500. Secondary antibody (catalog#: A21020) was diluted at 1:20000.

Fig.1. Western Blot analysis of K562 cells using Villin Polyclonal Antibody diluted at 1:500. Secondary antibody (catalog#: A21020) was diluted at 1:20000.

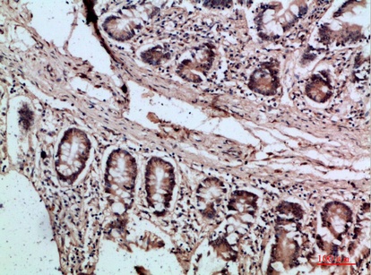
Fig.2. Immunohistochemical analysis of paraffin-embedded human-colon, antibody was diluted at 1:200.

Fig.2. Immunohistochemical analysis of paraffin-embedded human-colon, antibody was diluted at 1:200.

Fig.3. Immunohistochemical analysis of paraffin-embedded human-colon, antibody was diluted at 1:200.

Fig.3. Immunohistochemical analysis of paraffin-embedded human-colon, antibody was diluted at 1:200.

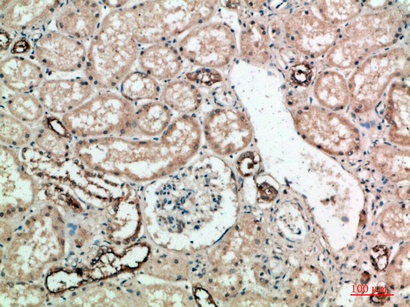
Fig.4. Immunohistochemical analysis of paraffin-embedded human-kidney, antibody was diluted at 1:200.

Fig.4. Immunohistochemical analysis of paraffin-embedded human-kidney, antibody was diluted at 1:200.

Fig.5. Immunohistochemical analysis of paraffin-embedded human-kidney, antibody was diluted at 1:200.

Fig.5. Immunohistochemical analysis of paraffin-embedded human-kidney, antibody was diluted at 1:200.

This product has been cited in0publications

Reviews

There are no reviews yet.

Be the first to review “Villin Polyclonal Antibody”