Login Register
English
0

Cart

$ 0

ALR Polyclonal Antibody

ALR Polyclonal Antibody

Views(46) Publications(0) Catalog no(ABP53260)
Datasheet Print Share Email Share
  • Specification
  • FAQ
  • Publications(0)
  • Comments(0)

Specification

Product name ALR Polyclonal Antibody
Immunogen Synthesized peptide derived from the Internal region of human ALR
Host Rabbit
Reactivity Human,Mouse,Rat
Applications WB,IHC,IF,ELISA
Applications notes Optimal working dilutions should be determined experimentally by the investigator. Suggested starting dilutions are as follows: WB 1:500-1:2000;IHC: 1:100-1:300;ELISA 1:20000;IF 1:50-200
Clonality Polyclonal
Preparation method The antibody was affinity-purified from rabbit antiserum by affinity-chromatography using epitope-specific immunogen.
Alternative GFER; ALR; HERV1; HPO; FAD-linked sulfhydryl oxidase ALR; Augmenter of liver regeneration; hERV1; Hepatopoietin

Product Properties

Formulation Liquid solution
Concentration 1 mg/ml
Molecular weight 24kD
Storage buffer Liquid in PBS containing 50% glycerol, 0.5% BSA and 0.02% sodium azide.
Storage instructions Stable for one year at -20°C from date of shipment. For maximum recovery of product, centrifuge the original vial after thawing and prior to removing the cap. Aliquot to avoid repeated freezing and thawing.
Shipping Gel pack with blue ice.
Precautions The product listed herein is for research use only and is not intended for use in human or clinical diagnosis. Suggested applications of our products are not recommendations to use our products in violation of any patent or as a license. We cannot be responsible for patent infringements or other violations that may occur with the use of this product.

Additional Information

Background The hepatotrophic factor designated augmenter of liver regeneration (ALR) is thought to be one of the factors responsible for the extraordinary regenerative capacity of mammalian liver. It has also been called hepatic regenerative stimulation substance (HSS). The gene resides on chromosome 16 in the interval containing the locus for polycystic kidney disease (PKD1). The putative gene product is 42% similar to the scERV1 protein of yeast. The yeast scERV1 gene had been found to be essential for oxidative phosphorylation, the maintenance of mitochondrial genomes, and the cell division cycle. The human gene is both the structural and functional homolog of the yeast scERV1 gene.
Gene ID 2671
Alternative GFER; ALR; HERV1; HPO; FAD-linked sulfhydryl oxidase ALR; Augmenter of liver regeneration; hERV1; Hepatopoietin
Others ALR Polyclonal Antibody detects endogenous levels of ALR protein.
Accession P55789

Image & description

Fig.1. Western Blot analysis of HBE cells using ALR Polyclonal Antibody. Secondary antibody (catalog#: A21020) was diluted at 1:20000.

Fig.1. Western Blot analysis of HBE cells using ALR Polyclonal Antibody. Secondary antibody (catalog#: A21020) was diluted at 1:20000.

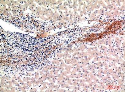
Fig.2. Immunohistochemical analysis of paraffin-embedded human-liver, antibody was diluted at 1:100.

Fig.2. Immunohistochemical analysis of paraffin-embedded human-liver, antibody was diluted at 1:100.

This product has been cited in0publications

Reviews

There are no reviews yet.

Be the first to review “ALR Polyclonal Antibody”