Login Register
English
0

Cart

$ 0

Tubulin γ Polyclonal Antibody

Tubulin γ Polyclonal Antibody

Views(83) Publications(0) Catalog no(ABP60794)
Datasheet Print Share Email Share
  • Specification
  • FAQ
  • Publications(0)
  • Comments(0)

Specification

Product name Tubulin γ Polyclonal Antibody
Immunogen Synthesized peptide derived from part region of human Tubulin γ protein at amino acid sequence of 380-440
Host Rabbit
Reactivity Human,Mouse,Rat
Applications IHC,IF,ELISA
Applications notes Optimal working dilutions should be determined experimentally by the investigator. Suggested starting dilutions are as follows: IHC 1:50-200;ELISA 1:10000-20000;IF 1:50-200
Clonality Polyclonal
Preparation method The antibody was affinity-purified from rabbit antiserum by affinity-chromatography using epitope-specific immunogen.
Alternative Tubulin gamma-1 chain; Gamma-1-tubulin; Gamma-tubulin complex component 1; GCP-1

Product Properties

Formulation Liquid solution
Concentration 1 mg/ml
Storage buffer Liquid in PBS containing 50% glycerol, 0.5% BSA and 0.02% sodium azide.
Storage instructions Stable for one year at -20°C from date of shipment. For maximum recovery of product, centrifuge the original vial after thawing and prior to removing the cap. Aliquot to avoid repeated freezing and thawing.
Shipping Gel pack with blue ice.
Precautions The product listed herein is for research use only and is not intended for use in human or clinical diagnosis. Suggested applications of our products are not recommendations to use our products in violation of any patent or as a license. We cannot be responsible for patent infringements or other violations that may occur with the use of this product.

Additional Information

Background TUBG1 (Tubulin Gamma 1) is a Protein Coding gene. Diseases associated with TUBG1 include Cortical Dysplasia, Complex, With Other Brain Malformations 4 and Pachygyria. Among its related pathways are Regulation of PLK1 Activity at G2/M Transition and Cytoskeleton remodeling Neurofilaments. TUBG1 encodes a member of the tubulin superfamily. The encoded protein localizes to the centrosome where it binds to microtubules as part of a complex referred to as the gamma-tubulin ring complex. The protein mediates microtubule nucleation and is required for microtubule formation and progression of the cell cycle. A pseudogene of this gene is found on chromosome 7.
Gene ID 7283
Alternative Tubulin gamma-1 chain; Gamma-1-tubulin; Gamma-tubulin complex component 1; GCP-1
Others The antibody detects endogenous levels of Tubulin γ
Accession P23258

Image & description

Fig.1. Immunohistochemical analysis of paraffin-embedded Human-breast-cancer, antibody was diluted at 1:100.

Fig.1. Immunohistochemical analysis of paraffin-embedded Human-breast-cancer, antibody was diluted at 1:100.

Fig.2. Immunohistochemical analysis of paraffin-embedded Human-testis, antibody was diluted at 1:100.

Fig.2. Immunohistochemical analysis of paraffin-embedded Human-testis, antibody was diluted at 1:100.

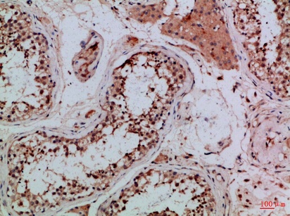
Fig.3. Immunohistochemical analysis of paraffin-embedded Human-testis, antibody was diluted at 1:100.

Fig.3. Immunohistochemical analysis of paraffin-embedded Human-testis, antibody was diluted at 1:100.

This product has been cited in0publications

Reviews

There are no reviews yet.

Be the first to review “Tubulin γ Polyclonal Antibody”