Login Register
English
0

Cart

$ 0

Tubulin α Polyclonal Antibody

Tubulin α Polyclonal Antibody

Views(152) Publications(1) Catalog no(ABP52655)
Datasheet Print Share Email Share
  • Specification
  • FAQ
  • Publications(1)
  • Comments(0)

Specification

Product name Tubulin α Polyclonal Antibody
Immunogen Synthesized peptide derived from the C-terminal region of human Tubulin α at AA range: 380-460
Host Rabbit
Reactivity Human,Mouse,Rat,chicken
Applications WB,IHC,IF,ELISA
Applications notes Optimal working dilutions should be determined experimentally by the investigator. Suggested starting dilutions are as follows: WB 1:500-1:2000;IHC 1:100-1:300;IF 1:200-1:1000;ELISA 1:5000;Not yet tested in other applications.
Clonality Polyclonal
Preparation method The antibody was affinity-purified from rabbit antiserum by affinity-chromatography using epitope-specific immunogen.
Alternative TUBA1A; TUBA3; Tubulin alpha-1A chain; Alpha-tubulin 3; Tubulin B-alpha-1; Tubulin alpha-3 chain; TUBA1B; Tubulin alpha-1B chain; Alpha-tubulin ubiquitous; Tubulin K-alpha-1; Tubulin alpha-ubiquitous chain

Product Properties

Formulation Liquid solution
Concentration 1 mg/ml
Molecular weight 50kD
Storage buffer Liquid in PBS containing 50% glycerol, 0.5% BSA and 0.02% sodium azide.
Storage instructions Stable for one year at -20°C from date of shipment. For maximum recovery of product, centrifuge the original vial after thawing and prior to removing the cap. Aliquot to avoid repeated freezing and thawing.
Shipping Gel pack with blue ice.
Precautions The product listed herein is for research use only and is not intended for use in human or clinical diagnosis. Suggested applications of our products are not recommendations to use our products in violation of any patent or as a license. We cannot be responsible for patent infringements or other violations that may occur with the use of this product.

Additional Information

Background Microtubules of the eukaryotic cytoskeleton perform essential and diverse functions and are composed of a heterodimer of alpha and beta tubulins. TUBA1A encoding these microtubule constituents belong to the tubulin superfamily, which is composed of six distinct families. Genes from the alpha, beta and gamma tubulin families are found in all eukaryotes. The alpha and beta tubulins represent the major components of microtubules, while gamma tubulin plays a critical role in the nucleation of microtubule assembly. There are multiple alpha and beta tubulin genes, which are highly conserved among species. This gene encodes alpha tubulin and is highly similar to the mouse and rat Tuba1 genes. Northern blotting studies have shown that the gene expression is predominantly found in morphologically differentiated neurologic cells. This gene is one of three alpha-tubulin genes in a cluster on chromosome 12q. Mutations in this gene cause lissencephaly type 3 (LIS3) - a neurological condition characterized by microcephaly, mental retardation, and early-onset epilepsy and caused by defective neuronal migration. Alternative splicing results in multiple transcript variants encoding distinct isoforms.
Gene ID 7846/10376
Alternative TUBA1A; TUBA3; Tubulin alpha-1A chain; Alpha-tubulin 3; Tubulin B-alpha-1; Tubulin alpha-3 chain; TUBA1B; Tubulin alpha-1B chain; Alpha-tubulin ubiquitous; Tubulin K-alpha-1; Tubulin alpha-ubiquitous chain
Others Tubulin α Polyclonal Antibody detects endogenous levels of Tubulin α protein.
Accession Q71U36/P68363
Observed Band(KD) 50

Image & description

Fig.1. Western Blot analysis of Hela (1), A549 (2), diluted at 1:2000.

Fig.1. Western Blot analysis of Hela (1), A549 (2), diluted at 1:2000.

Fig.2. Immunofluorescence analysis of human lung tissue. 1, Tubulin α Polyclonal Antibody (red) was diluted at 1:200 (4°C, overnight). 2, Cy3 Labeled secondary antibody was diluted at 1:300 (room temperature, 50min). 3, Picture B: DAPI (blue) 10min. Picture A: Target. Picture B: DAPI. Picture C: merge of A+B.

Fig.2. Immunofluorescence analysis of human lung tissue. 1, Tubulin α Polyclonal Antibody (red) was diluted at 1:200 (4°C, overnight). 2, Cy3 Labeled secondary antibody was diluted at 1:300 (room temperature, 50min). 3, Picture B: DAPI (blue) 10min. Picture A: Target. Picture B: DAPI. Picture C: merge of A+B.

Fig.3. Immunofluorescence analysis of rat lung tissue. 1, Tubulin α Polyclonal Antibody (red) was diluted at 1:200 (4°C, overnight). 2, Cy3 Labeled secondary antibody was diluted at 1:300 (room temperature, 50min). 3, Picture B: DAPI (blue) 10min. Picture A: Target. Picture B: DAPI. Picture C: merge of A+B.

Fig.3. Immunofluorescence analysis of rat lung tissue. 1, Tubulin α Polyclonal Antibody (red) was diluted at 1:200 (4°C, overnight). 2, Cy3 Labeled secondary antibody was diluted at 1:300 (room temperature, 50min). 3, Picture B: DAPI (blue) 10min. Picture A: Target. Picture B: DAPI. Picture C: merge of A+B.

Fig.4. Immunohistochemical analysis of paraffin-embedded human uterus tissue. 1, Tubulin α Polyclonal Antibody was diluted at 1:200 (4°C, overnight). 2, Sodium citrate pH 6.0 was used for antibody retrieval (>98°C, 20min). 3, secondary antibody was diluted at 1:200 (room temperature, 30min). Negative control was used by secondary antibody only.

Fig.4. Immunohistochemical analysis of paraffin-embedded human uterus tissue. 1, Tubulin α Polyclonal Antibody was diluted at 1:200 (4°C, overnight). 2, Sodium citrate pH 6.0 was used for antibody retrieval (>98°C, 20min). 3, secondary antibody was diluted at 1:200 (room temperature, 30min). Negative control was used by secondary antibody only.

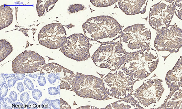
Fig.5. Immunohistochemical analysis of paraffin-embedded mouse testis tissue. 1, Tubulin α Polyclonal Antibody was diluted at 1:200 (4°C, overnight). 2, Sodium citrate pH 6.0 was used for antibody retrieval (>98°C, 20min). 3, secondary antibody was diluted at 1:200 (room temperature, 30min). Negative control was used by secondary antibody only.

Fig.5. Immunohistochemical analysis of paraffin-embedded mouse testis tissue. 1, Tubulin α Polyclonal Antibody was diluted at 1:200 (4°C, overnight). 2, Sodium citrate pH 6.0 was used for antibody retrieval (>98°C, 20min). 3, secondary antibody was diluted at 1:200 (room temperature, 30min). Negative control was used by secondary antibody only.

Fig.6. Immunohistochemical analysis of paraffin-embedded rat heart tissue. 1, Tubulin α Polyclonal Antibody was diluted at 1:200 (4°C, overnight). 2, Sodium citrate pH 6.0 was used for antibody retrieval (>98°C, 20min). 3, secondary antibody was diluted at 1:200 (room temperature, 30min). Negative control was used by secondary antibody only.

Fig.6. Immunohistochemical analysis of paraffin-embedded rat heart tissue. 1, Tubulin α Polyclonal Antibody was diluted at 1:200 (4°C, overnight). 2, Sodium citrate pH 6.0 was used for antibody retrieval (>98°C, 20min). 3, secondary antibody was diluted at 1:200 (room temperature, 30min). Negative control was used by secondary antibody only.

This product has been cited in1publications

Reviews

There are no reviews yet.

Be the first to review “Tubulin α Polyclonal Antibody”