Login Register
English
0

Cart

$ 0

TBP/TATA Binding Protein Monoclonal Antibody

TBP/TATA Binding Protein Monoclonal Antibody

Views(73) Publications(0) Catalog no(ABM40223)
Datasheet Print Share Email Share
  • Specification
  • FAQ
  • Publications(0)
  • Comments(0)

Specification

Product name TBP/TATA Binding Protein Monoclonal Antibody
Immunogen Recombinant Protein
Host Mouse
Reactivity Human,Rat,Mouse
Applications IHC,IF
Applications notes Optimal working dilutions should be determined experimentally by the investigator. Suggested starting dilutions are as follows: IHC 1:50-200;IF 1:50-200
Clonality Monoclonal
Preparation method The antibody was affinity-purified from mouse ascites by affinity-chromatography using specific immunogen.
Alternative TBP; GTF2D1; TF2D; TFIID; TATA-box-binding protein; TATA sequence-binding protein; TATA-binding factor; TATA-box factor; Transcription initiation factor TFIID TBP subunit

Product Properties

Formulation Liquid solution
Concentration 1 mg/ml
Molecular weight 35-45kD
Storage buffer Liquid in PBS containing 50% glycerol, 0.5% BSA and 0.02% sodium azide.
Storage instructions Stable for one year at -20°C from date of shipment. For maximum recovery of product, centrifuge the original vial after thawing and prior to removing the cap. Aliquot to avoid repeated freezing and thawing.
Shipping Gel pack with blue ice.
Precautions The product listed herein is for research use only and is not intended for use in human or clinical diagnosis. Suggested applications of our products are not recommendations to use our products in violation of any patent or as a license. We cannot be responsible for patent infringements or other violations that may occur with the use of this product.

Additional Information

Background Initiation of transcription by RNA polymerase II requires the activities of more than 70 polypeptides. The protein that coordinates these activities is transcription factor IID (TFIID), which binds to the core promoter to position the polymerase properly, serves as the scaffold for assembly of the remainder of the transcription complex, and acts as a channel for regulatory signals. TFIID is composed of the TATA-binding protein (TBP) and a group of evolutionarily conserved proteins known as TBP-associated factors or TAFs. TAFs may participate in basal transcription, serve as coactivators, function in promoter recognition or modify general transcription factors (GTFs) to facilitate complex assembly and transcription initiation. This gene encodes TBP, the TATA-binding protein. A distinctive feature of TBP is a long string of glutamines in the N-terminus. This region of the protein modulates the DNA binding activity of the C terminus, and modulation of DNA binding affects the rate of transcription complex formation and initiation of transcription. The number of CAG repeats encoding the polyglutamine tract is usually 25-42, and expansion of the number of repeats to 45-66 increases the length of the polyglutamine string and is associated with spinocerebellar ataxia 17, a neurodegenerative disorder classified as a polyglutamine disease. Two transcript variants encoding different isoforms have been found for this gene.
Gene ID 6908
Alternative TBP; GTF2D1; TF2D; TFIID; TATA-box-binding protein; TATA sequence-binding protein; TATA-binding factor; TATA-box factor; Transcription initiation factor TFIID TBP subunit
Accession P20226
Observed Band(KD) 35-45

Image & description

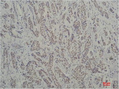
Fig.1. Immunohistochemical analysis of paraffin-embedded Human Breast Carcinoma using TBP/TATA Binding Protein (mAb diluted at 1:200.

Fig.1. Immunohistochemical analysis of paraffin-embedded Human Breast Carcinoma using TBP/TATA Binding Protein (mAb diluted at 1:200.

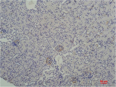
Fig.2. Immunohistochemical analysis of paraffin-embedded Mouse Kidney Tissue using TBP/TATA Binding ProteinMouse mAb diluted at 1:200.

Fig.2. Immunohistochemical analysis of paraffin-embedded Mouse Kidney Tissue using TBP/TATA Binding ProteinMouse mAb diluted at 1:200.

This product has been cited in0publications

Reviews

There are no reviews yet.

Be the first to review “TBP/TATA Binding Protein Monoclonal Antibody”