Login Register
English
0

Cart

$ 0

Syntaxin 1 Polyclonal Antibody

Syntaxin 1 Polyclonal Antibody

Views(51) Publications(0) Catalog no(ABP53171)
Datasheet Print Share Email Share
  • Specification
  • FAQ
  • Publications(0)
  • Comments(0)

Specification

Product name Syntaxin 1 Polyclonal Antibody
Immunogen Synthesized peptide derived from the Internal region of human Syntaxin 1
Host Rabbit
Reactivity Human,Mouse,Rat
Applications WB,IHC,IF,ELISA
Applications notes Optimal working dilutions should be determined experimentally by the investigator. Suggested starting dilutions are as follows: WB 1:500-1:2000;IHC: 1:100-1:300;ELISA 1:20000;IF 1:50-200
Clonality Polyclonal
Preparation method The antibody was affinity-purified from rabbit antiserum by affinity-chromatography using epitope-specific immunogen.
Alternative STX1A; STX1; Syntaxin-1A; Neuron-specific antigen HPC-1

Product Properties

Formulation Liquid solution
Concentration 1 mg/ml
Molecular weight 30kD
Storage buffer Liquid in PBS containing 50% glycerol, 0.5% BSA and 0.02% sodium azide.
Storage instructions Stable for one year at -20°C from date of shipment. For maximum recovery of product, centrifuge the original vial after thawing and prior to removing the cap. Aliquot to avoid repeated freezing and thawing.
Shipping Gel pack with blue ice.
Precautions The product listed herein is for research use only and is not intended for use in human or clinical diagnosis. Suggested applications of our products are not recommendations to use our products in violation of any patent or as a license. We cannot be responsible for patent infringements or other violations that may occur with the use of this product.

Additional Information

Background STX1A encodes a member of the syntaxin superfamily. Syntaxins are nervous system-specific proteins implicated in the docking of synaptic vesicles with the presynaptic plasma membrane. Syntaxins possess a single C-terminal transmembrane domain, a SNARE [Soluble NSF (N-ethylmaleimide-sensitive fusion protein)-Attachment protein REceptor] domain (known as H3), and an N-terminal regulatory domain (Habc). Syntaxins bind synaptotagmin in a calcium-dependent fashion and interact with voltage dependent calcium and potassium channels via the C-terminal H3 domain. This gene product is a key molecule in ion channel regulation and synaptic exocytosis. Alternatively spliced transcript variants encoding different isoforms have been found for this gene.
Gene ID 6804
Alternative STX1A; STX1; Syntaxin-1A; Neuron-specific antigen HPC-1
Others Syntaxin 1 Polyclonal Antibody detects endogenous levels of Syntaxin 1 protein.
Accession Q16623
Observed Band(KD) 30

Image & description

Fig.1. Western Blot analysis of K562 cells using Syntaxin 1 Polyclonal Antibody. Secondary antibody (catalog#: A21020) was diluted at 1:20000.

Fig.1. Western Blot analysis of K562 cells using Syntaxin 1 Polyclonal Antibody. Secondary antibody (catalog#: A21020) was diluted at 1:20000.

Fig.2. Immunohistochemical analysis of paraffin-embedded human-liver, antibody was diluted at 1:100.

Fig.2. Immunohistochemical analysis of paraffin-embedded human-liver, antibody was diluted at 1:100.

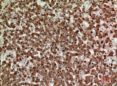
Fig.3. Immunohistochemical analysis of paraffin-embedded human-liver, antibody was diluted at 1:100.

Fig.3. Immunohistochemical analysis of paraffin-embedded human-liver, antibody was diluted at 1:100.

Fig.4. Immunohistochemical analysis of paraffin-embedded human-lung, antibody was diluted at 1:100.

Fig.4. Immunohistochemical analysis of paraffin-embedded human-lung, antibody was diluted at 1:100.

Fig.5. Immunohistochemical analysis of paraffin-embedded human-lung, antibody was diluted at 1:100.

Fig.5. Immunohistochemical analysis of paraffin-embedded human-lung, antibody was diluted at 1:100.

This product has been cited in0publications

Reviews

There are no reviews yet.

Be the first to review “Syntaxin 1 Polyclonal Antibody”