Login Register
English
0

Cart

$ 0

DCI Polyclonal Antibody

DCI Polyclonal Antibody

Views(49) Publications(0) Catalog no(ABP52960)
Datasheet Print Share Email Share
  • Specification
  • FAQ
  • Publications(0)
  • Comments(0)

Specification

Product name DCI Polyclonal Antibody
Immunogen Synthesized peptide derived from the C-terminal region of human DCI
Host Rabbit
Reactivity Human,Rat,Mouse,
Applications WB,IHC,IF,ELISA
Applications notes Optimal working dilutions should be determined experimentally by the investigator. Suggested starting dilutions are as follows: WB 1:500-1:2000;IHC: 1:100-300;ELISA 1:20000;IF 1:50-200
Clonality Polyclonal
Preparation method The antibody was affinity-purified from rabbit antiserum by affinity-chromatography using epitope-specific immunogen.
Alternative ECI1; DCI; Enoyl-CoA delta isomerase 1, mitochondrial; 3,2-trans-enoyl-CoA isomerase; Delta(3),Delta(2)-enoyl-CoA isomerase; D3,D2-enoyl-CoA isomerase; Dodecenoyl-CoA isomerase

Product Properties

Formulation Liquid solution
Concentration 1 mg/ml
Molecular weight 30kD
Storage buffer Liquid in PBS containing 50% glycerol, 0.5% BSA and 0.02% sodium azide.
Storage instructions Stable for one year at -20°C from date of shipment. For maximum recovery of product, centrifuge the original vial after thawing and prior to removing the cap. Aliquot to avoid repeated freezing and thawing.
Shipping Gel pack with blue ice.
Precautions The product listed herein is for research use only and is not intended for use in human or clinical diagnosis. Suggested applications of our products are not recommendations to use our products in violation of any patent or as a license. We cannot be responsible for patent infringements or other violations that may occur with the use of this product.

Additional Information

Background ECI1 encodes a member of the hydratase/isomerase superfamily. Enoyl-CoA delta isomerase 1 mitochondrial encoded is a key mitochondrial enzyme involved in beta-oxidation of unsaturated fatty acids. It catalyzes the transformation of 3-cis and 3-trans-enoyl-CoA esters arising during the stepwise degradation of cis-, mono-, and polyunsaturated fatty acids to the 2-trans-enoyl-CoA intermediates. Alternatively spliced transcript variants have been described.
Gene ID 1632
Alternative ECI1; DCI; Enoyl-CoA delta isomerase 1, mitochondrial; 3,2-trans-enoyl-CoA isomerase; Delta(3),Delta(2)-enoyl-CoA isomerase; D3,D2-enoyl-CoA isomerase; Dodecenoyl-CoA isomerase
Others DCI Polyclonal Antibody detects endogenous levels of DCI protein.
Accession P42126
Observed Band(KD) 30

Image & description

Fig.1. Western Blot analysis of HepG2 cells using DCI Polyclonal Antibody. Secondary antibody (catalog#: A21020) was diluted at 1:20000.

Fig.1. Western Blot analysis of HepG2 cells using DCI Polyclonal Antibody. Secondary antibody (catalog#: A21020) was diluted at 1:20000.

Fig.2. Immunohistochemical analysis of paraffin-embedded human-liver, antibody was diluted at 1:100.

Fig.2. Immunohistochemical analysis of paraffin-embedded human-liver, antibody was diluted at 1:100.

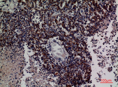
Fig.3. Immunohistochemical analysis of paraffin-embedded human-lung-cancer, antibody was diluted at 1:100.

Fig.3. Immunohistochemical analysis of paraffin-embedded human-lung-cancer, antibody was diluted at 1:100.

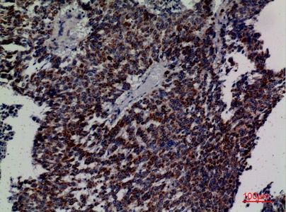
Fig.4. Immunohistochemical analysis of paraffin-embedded human-lung-cancer, antibody was diluted at 1:100.

Fig.4. Immunohistochemical analysis of paraffin-embedded human-lung-cancer, antibody was diluted at 1:100.

This product has been cited in0publications

Reviews

There are no reviews yet.

Be the first to review “DCI Polyclonal Antibody”