Login Register
English
0

Cart

$ 0

RNase III Drosha Polyclonal Antibody

RNase III Drosha Polyclonal Antibody

Views(74) Publications(0) Catalog no(ABP57424)
Datasheet Print Share Email Share
  • Specification
  • FAQ
  • Publications(0)
  • Comments(0)

Specification

Product name RNase III Drosha Polyclonal Antibody
Immunogen Synthesized peptide derived from the Internal region of human RNase III Drosha
Host Rabbit
Reactivity Human,Mouse
Applications WB,IHC,IF,ELISA
Applications notes Optimal working dilutions should be determined experimentally by the investigator. Suggested starting dilutions are as follows: WB 1:500-1:2000;IHC: 1:100-1:300;ELISA 1:10000;IF 1:50-200
Clonality Polyclonal
Preparation method The antibody was affinity-purified from rabbit antiserum by affinity-chromatography using epitope-specific immunogen.
Alternative DROSHA; RN3; RNASE3L; RNASEN; Ribonuclease 3; Protein Drosha; Ribonuclease III; RNase III; p241

Product Properties

Formulation Liquid solution
Concentration 1 mg/ml
Molecular weight 160kD
Storage buffer Liquid in PBS containing 50% glycerol, 0.5% BSA and 0.02% sodium azide.
Storage instructions Stable for one year at -20°C from date of shipment. For maximum recovery of product, centrifuge the original vial after thawing and prior to removing the cap. Aliquot to avoid repeated freezing and thawing.
Shipping Gel pack with blue ice.
Precautions The product listed herein is for research use only and is not intended for use in human or clinical diagnosis. Suggested applications of our products are not recommendations to use our products in violation of any patent or as a license. We cannot be responsible for patent infringements or other violations that may occur with the use of this product.

Additional Information

Background Members of the ribonuclease III superfamily of double-stranded (ds) RNA-specific endoribonucleases participate in diverse RNA maturation and decay pathways in eukaryotic and prokaryotic cells (Fortin et al. 2002 [PubMed 12191433]). The RNase III Drosha is the core nuclease that executes the initiation step of microRNA (miRNA) processing in the nucleus (Lee et al. 2003 [PubMed 14508493]).
Gene ID 29102
Alternative DROSHA; RN3; RNASE3L; RNASEN; Ribonuclease 3; Protein Drosha; Ribonuclease III; RNase III; p241
Others RNase III Drosha Polyclonal Antibody detects endogenous levels of RNase III Drosha protein.
Accession Q9NRR4
Observed Band(KD) 160

Image & description

Fig.1. Western blot analysis of SH-SY5Y K562 HELA using RNase III Drosha antibody. Antibody was diluted at 1:1000. Secondary antibody (catalog#: A21020) was diluted at 1:20000.

Fig.1. Western blot analysis of SH-SY5Y K562 HELA using RNase III Drosha antibody. Antibody was diluted at 1:1000. Secondary antibody (catalog#: A21020) was diluted at 1:20000.

Fig.2. Immunohistochemical analysis of paraffin-embedded human-brain, antibody was diluted at 1:200.

Fig.2. Immunohistochemical analysis of paraffin-embedded human-brain, antibody was diluted at 1:200.

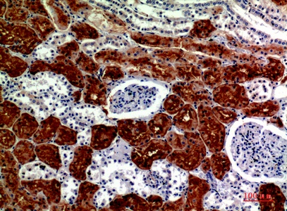
Fig.3. Immunohistochemical analysis of paraffin-embedded human-kidney, antibody was diluted at 1:200.

Fig.3. Immunohistochemical analysis of paraffin-embedded human-kidney, antibody was diluted at 1:200.

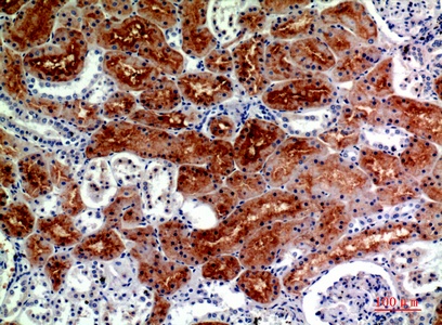
Fig.4. Immunohistochemical analysis of paraffin-embedded human-kidney, antibody was diluted at 1:200.

Fig.4. Immunohistochemical analysis of paraffin-embedded human-kidney, antibody was diluted at 1:200.

This product has been cited in0publications

Reviews

There are no reviews yet.

Be the first to review “RNase III Drosha Polyclonal Antibody”