Login Register
English
0

Cart

$ 0

PDGF-D Polyclonal Antibody

PDGF-D Polyclonal Antibody

Views(90) Publications(0) Catalog no(ABP53030)
Datasheet Print Share Email Share
  • Specification
  • FAQ
  • Publications(0)
  • Comments(0)

Specification

Product name PDGF-D Polyclonal Antibody
Immunogen Synthesized peptide derived from the C-terminal region of human PDGF-D
Host Rabbit
Reactivity Human,Rat,Mouse,
Applications WB,IHC,IF,ELISA
Applications notes Optimal working dilutions should be determined experimentally by the investigator. Suggested starting dilutions are as follows: WB 1:500-1:2000;IHC: 1:100-1:300;ELISA 1:20000;IF 1:50-200
Clonality Polyclonal
Preparation method The antibody was affinity-purified from rabbit antiserum by affinity-chromatography using epitope-specific immunogen.
Alternative PDGFD; IEGF; SCDGFB; MSTP036; Platelet-derived growth factor D; PDGF-D; Iris-expressed growth factor; Spinal cord-derived growth factor B; SCDGF-B

Product Properties

Formulation Liquid solution
Concentration 1 mg/ml
Molecular weight 42kD
Storage buffer Liquid in PBS containing 50% glycerol, 0.5% BSA and 0.02% sodium azide.
Storage instructions Stable for one year at -20°C from date of shipment. For maximum recovery of product, centrifuge the original vial after thawing and prior to removing the cap. Aliquot to avoid repeated freezing and thawing.
Shipping Gel pack with blue ice.
Precautions The product listed herein is for research use only and is not intended for use in human or clinical diagnosis. Suggested applications of our products are not recommendations to use our products in violation of any patent or as a license. We cannot be responsible for patent infringements or other violations that may occur with the use of this product.

Additional Information

Background Platelet-derived growth factor D encoded by PDGFD is a member of the platelet-derived growth factor family. The four members of this family are mitogenic factors for cells of mesenchymal origin and are characterized by a core motif of eight cysteines, seven of which are found in this factor. This gene product only forms homodimers and, therefore, does not dimerize with the other three family members. It differs from alpha and beta members of this family in having an unusual N-terminal domain, the CUB domain. Two splice variants have been identified for this gene.
Gene ID 80310
Alternative PDGFD; IEGF; SCDGFB; MSTP036; Platelet-derived growth factor D; PDGF-D; Iris-expressed growth factor; Spinal cord-derived growth factor B; SCDGF-B
Others PDGF-D Polyclonal Antibody detects endogenous levels of PDGF-D protein.
Accession Q9GZP0
Observed Band(KD) 42

Image & description

Fig.1. Western Blot analysis of L929 cells using PDGF-D Polyclonal Antibody. Secondary antibody (catalog#: A21020) was diluted at 1:20000.

Fig.1. Western Blot analysis of L929 cells using PDGF-D Polyclonal Antibody. Secondary antibody (catalog#: A21020) was diluted at 1:20000.

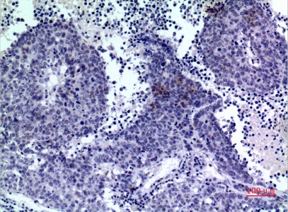
Fig.2. Immunohistochemical analysis of paraffin-embedded human-mammary-cancer, antibody was diluted at 1:100.

Fig.2. Immunohistochemical analysis of paraffin-embedded human-mammary-cancer, antibody was diluted at 1:100.

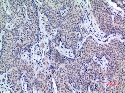
Fig.3. Immunohistochemical analysis of paraffin-embedded human-lung-cancer, antibody was diluted at 1:100.

Fig.3. Immunohistochemical analysis of paraffin-embedded human-lung-cancer, antibody was diluted at 1:100.

This product has been cited in0publications

Reviews

There are no reviews yet.

Be the first to review “PDGF-D Polyclonal Antibody”