Login Register
English
0

Cart

$ 0

p57 Polyclonal Antibody

p57 Polyclonal Antibody

Views(42) Publications(0) Catalog no(ABP53073)
Datasheet Print Share Email Share
  • Specification
  • FAQ
  • Publications(0)
  • Comments(0)

Specification

Product name p57 Polyclonal Antibody
Immunogen Synthesized peptide derived from human p57 around the non-acetylation site of K278
Host Rabbit
Reactivity Human,Mouse,Rat
Applications WB,IF,ELISA
Applications notes Optimal working dilutions should be determined experimentally by the investigator. Suggested starting dilutions are as follows: WB 1:500-1:2000;ELISA 1:20000;IF 1:50-200
Clonality Polyclonal
Preparation method The antibody was affinity-purified from rabbit antiserum by affinity-chromatography using epitope-specific immunogen.
Alternative CDKN1C; KIP2; Cyclin-dependent kinase inhibitor 1C; Cyclin-dependent kinase inhibitor p57; p57Kip2

Product Properties

Formulation Liquid solution
Concentration 1 mg/ml
Molecular weight 32kD
Storage buffer Liquid in PBS containing 50% glycerol, 0.5% BSA and 0.02% sodium azide.
Storage instructions Stable for one year at -20°C from date of shipment. For maximum recovery of product, centrifuge the original vial after thawing and prior to removing the cap. Aliquot to avoid repeated freezing and thawing.
Shipping Gel pack with blue ice.
Precautions The product listed herein is for research use only and is not intended for use in human or clinical diagnosis. Suggested applications of our products are not recommendations to use our products in violation of any patent or as a license. We cannot be responsible for patent infringements or other violations that may occur with the use of this product.

Additional Information

Background CDKN1C is imprinted, with preferential expression of the maternal allele. The cyclin dependent kinase inhibitor 1C is a tight-binding, strong inhibitor of several G1 cyclin/Cdk complexes and a negative regulator of cell proliferation. Mutations in this gene are implicated in sporadic cancers and Beckwith-Wiedemann syndorome, suggesting that this gene is a tumor suppressor candidate. Three transcript variants encoding two different isoforms have been found for this gene.
Gene ID 1028
Alternative CDKN1C; KIP2; Cyclin-dependent kinase inhibitor 1C; Cyclin-dependent kinase inhibitor p57; p57Kip2
Others p57 Polyclonal Antibody detects endogenous levels of p57 protein.
Accession P49918
Observed Band(KD) 32

Image & description

Fig.1. Western Blot analysis of Jurkat cells using p57 Polyclonal Antibody. Secondary antibody (catalog#: A21020) was diluted at 1:20000.

Fig.1. Western Blot analysis of Jurkat cells using p57 Polyclonal Antibody. Secondary antibody (catalog#: A21020) was diluted at 1:20000.

Fig.2. Immunohistochemical analysis of paraffin-embedded human-mammary-cancer, antibody was diluted at 1:100.

Fig.2. Immunohistochemical analysis of paraffin-embedded human-mammary-cancer, antibody was diluted at 1:100.

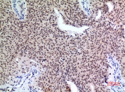
Fig.3. Immunohistochemical analysis of paraffin-embedded human-mammary-cancer, antibody was diluted at 1:100.

Fig.3. Immunohistochemical analysis of paraffin-embedded human-mammary-cancer, antibody was diluted at 1:100.

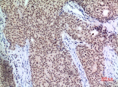
Fig.4. Immunohistochemical analysis of paraffin-embedded human-mammary-cancer, antibody was diluted at 1:100.

Fig.4. Immunohistochemical analysis of paraffin-embedded human-mammary-cancer, antibody was diluted at 1:100.

Fig.5. Immunohistochemical analysis of paraffin-embedded human-brain, antibody was diluted at 1:100.

Fig.5. Immunohistochemical analysis of paraffin-embedded human-brain, antibody was diluted at 1:100.

Fig.6. Immunohistochemical analysis of paraffin-embedded human-brain, antibody was diluted at 1:100.

Fig.6. Immunohistochemical analysis of paraffin-embedded human-brain, antibody was diluted at 1:100.

This product has been cited in0publications

Reviews

There are no reviews yet.

Be the first to review “p57 Polyclonal Antibody”