Login Register
English
0

Cart

$ 0

P53 (Mono Methyl Lys370) Monoclonal Antibody

P53 (Mono Methyl Lys370) Monoclonal Antibody

Views(111) Publications(0) Catalog no(ABM40207)
Datasheet Print Share Email Share
  • Specification
  • FAQ
  • Publications(0)
  • Comments(0)

Specification

Product name P53 (Mono Methyl Lys370) Monoclonal Antibody
Immunogen Synthetic Peptide
Host Mouse
Reactivity Human,Rat,Mouse
Applications IHC,IF
Applications notes Optimal working dilutions should be determined experimentally by the investigator. Suggested starting dilutions are as follows: IHC: 1:50-1:200;IF 1:50-200
Clonality Monoclonal
Preparation method The antibody was affinity-purified from mouse ascites by affinity-chromatography using epitope-specific immunogen.

Product Properties

Formulation Liquid solution
Concentration 1 mg/ml
Molecular weight 53kD
Storage buffer Liquid in PBS containing 50% glycerol, 0.5% BSA and 0.02% sodium azide.
Storage instructions Stable for one year at -20°C from date of shipment. For maximum recovery of product, centrifuge the original vial after thawing and prior to removing the cap. Aliquot to avoid repeated freezing and thawing.
Shipping Gel pack with blue ice.
Precautions The product listed herein is for research use only and is not intended for use in human or clinical diagnosis. Suggested applications of our products are not recommendations to use our products in violation of any patent or as a license. We cannot be responsible for patent infringements or other violations that may occur with the use of this product.

Additional Information

Background TP53(tumor protein p53) encodes a tumor suppressor protein containing transcriptional activation, DNA binding, and oligomerization domains. The encoded protein responds to diverse cellular stresses to regulate expression of target genes, thereby inducing cell cycle arrest, apoptosis, senescence, DNA repair, or changes in metabolism. Mutations in TP53 are associated with a variety of human cancers, including hereditary cancers such as Li-Fraumeni syndrome. Alternative splicing of TP53 and the use of alternate promoters result in multiple transcript variants and isoforms. Additional isoforms have also been shown to result from the use of alternate translation initiation codons.
Gene ID 7157
Others The antibody detects P53(Mono Methyl Lys370).
Accession P04637
Observed Band(KD) 53

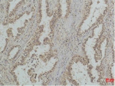
Image & description

Fig. Immunohistochemical analysis of paraffin-embedded Human Lung Carcinoma using P53 (Mono Methyl Lys370) Mouse mAb diluted at 1:500.

Fig. Immunohistochemical analysis of paraffin-embedded Human Lung Carcinoma using P53 (Mono Methyl Lys370) Mouse mAb diluted at 1:500.

This product has been cited in0publications

Reviews

There are no reviews yet.

Be the first to review “P53 (Mono Methyl Lys370) Monoclonal Antibody”