Login Register
English
0

Cart

$ 0

p27 Polyclonal Antibody

p27 Polyclonal Antibody

Views(73) Publications(0) Catalog no(ABP52104)
Datasheet Print Share Email Share
  • Specification
  • FAQ
  • Publications(0)
  • Comments(0)

Specification

Product name p27 Polyclonal Antibody
Immunogen Synthesized peptide derived from human p27 around the non-phosphorylation site of T198
Host Rabbit
Reactivity Human,Rat,Mouse,Bovine
Applications WB,IHC,IF,ELISA
Applications notes Optimal working dilutions should be determined experimentally by the investigator. Suggested starting dilutions are as follows: WB 1:500-2000;ELISA 1:10000-20000;IHC 1:50-300;IF 1:50-200
Clonality Polyclonal
Preparation method The antibody was affinity-purified from rabbit antiserum by affinity-chromatography using epitope-specific immunogen.
Alternative CDKN1B; KIP1; Cyclin-dependent kinase inhibitor 1B; Cyclin-dependent kinase inhibitor p27; p27Kip1

Product Properties

Formulation Liquid solution
Concentration 1 mg/ml
Molecular weight 27kD
Storage buffer Liquid in PBS containing 50% glycerol, 0.5% BSA and 0.02% sodium azide.
Storage instructions Stable for one year at -20°C from date of shipment. For maximum recovery of product, centrifuge the original vial after thawing and prior to removing the cap. Aliquot to avoid repeated freezing and thawing.
Shipping Gel pack with blue ice.
Precautions The product listed herein is for research use only and is not intended for use in human or clinical diagnosis. Suggested applications of our products are not recommendations to use our products in violation of any patent or as a license. We cannot be responsible for patent infringements or other violations that may occur with the use of this product.

Additional Information

Background CDKN1B encodes a cyclin-dependent kinase inhibitor, which shares a limited similarity with CDK inhibitor CDKN1A/p21. Cyclin dependent kinase inhibitor 1B binds to and prevents the activation of cyclin E-CDK2 or cyclin D-CDK4 complexes, and thus controls the cell cycle progression at G1. The degradation of cyclin dependent kinase inhibitor 1B, which is triggered by its CDK dependent phosphorylation and subsequent ubiquitination by SCF complexes, is required for the cellular transition from quiescence to the proliferative state. Mutations in CDKN1B are associated with multiple endocrine neoplasia type IV (MEN4).
Gene ID 1027
Alternative CDKN1B; KIP1; Cyclin-dependent kinase inhibitor 1B; Cyclin-dependent kinase inhibitor p27; p27Kip1
Others p27 Polyclonal Antibody detects endogenous levels of p27 protein.
Accession P46527
Observed Band(KD) 27

Image & description

Fig.1. Western Blot analysis of various cells using p27 Polyclonal Antibody diluted at 1:500.

Fig.1. Western Blot analysis of various cells using p27 Polyclonal Antibody diluted at 1:500.

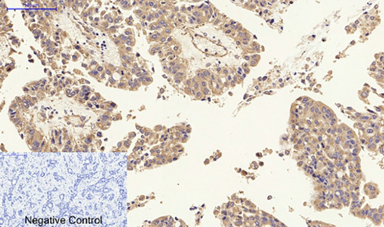
Fig.2. Immunohistochemical analysis of paraffin-embedded human liver cancer tissue. 1, p27 Polyclonal Antibody was diluted at 1:200 (4°C, overnight). 2, Sodium citrate pH 6.0 was used for antibody retrieval (>98°C, 20min). 3, secondary antibody was diluted at 1:200 (room temperature, 30min). Negative control was used by secondary antibody only.

Fig.2. Immunohistochemical analysis of paraffin-embedded human liver cancer tissue. 1, p27 Polyclonal Antibody was diluted at 1:200 (4°C, overnight). 2, Sodium citrate pH 6.0 was used for antibody retrieval (>98°C, 20min). 3, secondary antibody was diluted at 1:200 (room temperature, 30min). Negative control was used by secondary antibody only.

This product has been cited in0publications

Reviews

There are no reviews yet.

Be the first to review “p27 Polyclonal Antibody”