Login Register
English
0

Cart

$ 0

Ox40L Polyclonal Antibody

Ox40L Polyclonal Antibody

Views(88) Publications(0) Catalog no(ABP53351)
Datasheet Print Share Email Share
  • Specification
  • FAQ
  • Publications(0)
  • Comments(0)

Specification

Product name Ox40L Polyclonal Antibody
Immunogen Synthesized peptide derived from the Internal region of human Ox40L
Host Rabbit
Reactivity Human,Rat,Mouse,
Applications WB,IHC,IF,ELISA
Applications notes Optimal working dilutions should be determined experimentally by the investigator. Suggested starting dilutions are as follows: WB 1:500-1:2000;IHC: 1:100-1:300;IF 1:100-1:300;ELISA 1:10000;Not yet tested in other applications.
Clonality Polyclonal
Preparation method The antibody was affinity-purified from rabbit antiserum by affinity-chromatography using epitope-specific immunogen.
Alternative TNFSF4; TXGP1; Tumor necrosis factor ligand superfamily member 4; Glycoprotein Gp34; OX40 ligand; OX40L; TAX transcriptionally-activated glycoprotein 1; CD252

Product Properties

Formulation Liquid solution
Concentration 1 mg/ml
Molecular weight 21kD
Storage buffer Liquid in PBS containing 50% glycerol, 0.5% BSA and 0.02% sodium azide.
Storage instructions Stable for one year at -20°C from date of shipment. For maximum recovery of product, centrifuge the original vial after thawing and prior to removing the cap. Aliquot to avoid repeated freezing and thawing.
Shipping Gel pack with blue ice.
Precautions The product listed herein is for research use only and is not intended for use in human or clinical diagnosis. Suggested applications of our products are not recommendations to use our products in violation of any patent or as a license. We cannot be responsible for patent infringements or other violations that may occur with the use of this product.

Additional Information

Background TNFSF4 encodes a cytokine of the tumor necrosis factor (TNF) ligand family. The tumor necrosis factor superfamily member 4 functions in T cell antigen-presenting cell (APC) interactions and mediates adhesion of activated T cells to endothelial cells. Polymorphisms in this gene have been associated with Sjogren's syndrome and systemic lupus erythematosus. Alternative splicing results in multiple transcript variants.
Gene ID 7292
Alternative TNFSF4; TXGP1; Tumor necrosis factor ligand superfamily member 4; Glycoprotein Gp34; OX40 ligand; OX40L; TAX transcriptionally-activated glycoprotein 1; CD252
Others Ox40L Polyclonal Antibody detects endogenous levels of Ox40L protein.
Accession P23510
Observed Band(KD) 21

Image & description

Fig.1. Western Blot analysis of KB cells using Ox40L Polyclonal Antibody. Secondary antibody (catalog#: A21020) was diluted at 1:20000.

Fig.1. Western Blot analysis of KB cells using Ox40L Polyclonal Antibody. Secondary antibody (catalog#: A21020) was diluted at 1:20000.

Fig.2. Western Blot analysis of KB cells using Ox40L Polyclonal Antibody. Secondary antibody (catalog#: A21020) was diluted at 1:20000.

Fig.2. Western Blot analysis of KB cells using Ox40L Polyclonal Antibody. Secondary antibody (catalog#: A21020) was diluted at 1:20000.

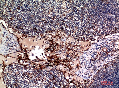
Fig.3. Immunohistochemical analysis of paraffin-embedded human-lymph, antibody was diluted at 1:100.

Fig.3. Immunohistochemical analysis of paraffin-embedded human-lymph, antibody was diluted at 1:100.

Fig.4. Immunohistochemical analysis of paraffin-embedded human-lymph, antibody was diluted at 1:100.

Fig.4. Immunohistochemical analysis of paraffin-embedded human-lymph, antibody was diluted at 1:100.

This product has been cited in0publications

Reviews

There are no reviews yet.

Be the first to review “Ox40L Polyclonal Antibody”