Login Register
English
0

Cart

$ 0

NFκB-p65 (Acetyl Lys218) Polyclonal Antibody

NFκB-p65 (Acetyl Lys218) Polyclonal Antibody

Views(53) Publications(0) Catalog no(ABP50110)
Datasheet Print Share Email Share
  • Specification
  • FAQ
  • Publications(0)
  • Comments(0)

Specification

Product name NFκB-p65 (Acetyl Lys218) Polyclonal Antibody
Immunogen Synthesized peptide derived from the human NFκB-p65 around the acetylation site of K218
Host Rabbit
Reactivity Human,Mouse,Rat
Applications WB,IHC,IF,ELISA
Applications notes Optimal working dilutions should be determined experimentally by the investigator. Suggested starting dilutions are as follows: WB 1:500-1:2000;IHC: 1:100-300;ELISA 1:20000;IF 1:50-200
Clonality Polyclonal
Preparation method The antibody was affinity-purified from rabbit antiserum by affinity-chromatography using epitope-specific immunogen.
Alternative RELA; NFKB3; Transcription factor p65; Nuclear factor NF-kappa-B p65 subunit; Nuclear factor of kappa light polypeptide gene enhancer in B-cells 3

Product Properties

Formulation Liquid solution
Concentration 1 mg/ml
Molecular weight 60kD
Storage buffer Liquid in PBS containing 50% glycerol, 0.5% BSA and 0.02% sodium azide.
Storage instructions Stable for one year at -20°C from date of shipment. For maximum recovery of product, centrifuge the original vial after thawing and prior to removing the cap. Aliquot to avoid repeated freezing and thawing.
Shipping Gel pack with blue ice.
Precautions The product listed herein is for research use only and is not intended for use in human or clinical diagnosis. Suggested applications of our products are not recommendations to use our products in violation of any patent or as a license. We cannot be responsible for patent infringements or other violations that may occur with the use of this product.

Additional Information

Background NF-kappa-B is a ubiquitous transcription factor involved in several biological processes. It is held in the cytoplasm in an inactive state by specific inhibitors. Upon degradation of the inhibitor, NF-kappa-B moves to the nucleus and activates transcription of specific genes. NF-kappa-B is composed of NFKB1 or NFKB2 bound to either REL, RELA, or RELB. The most abundant form of NF-kappa-B is NFKB1 complexed with the product of this gene, RELA. Four transcript variants encoding different isoforms have been found for RELA.
Gene ID 5970
Alternative RELA; NFKB3; Transcription factor p65; Nuclear factor NF-kappa-B p65 subunit; Nuclear factor of kappa light polypeptide gene enhancer in B-cells 3
Others Acetyl-NFκB-p65 (K218) Polyclonal Antibody detects endogenous levels of NFκB-p65 protein only when acetylated at K218.
Accession Q04206
Observed Band(KD) 60

Image & description

Fig.1. Western Blot analysis of Jurkat, K562 cells using Acetyl-NFκB-p65 (K218) Polyclonal Antibody. Antibody was diluted at 1:1000. Secondary Antibody was diluted at 1:20000.

Fig.1. Western Blot analysis of Jurkat, K562 cells using Acetyl-NFκB-p65 (K218) Polyclonal Antibody. Antibody was diluted at 1:1000. Secondary Antibody was diluted at 1:20000.

Fig.2. Western Blot analysis of MOUSE-BRAIN cells using Acetyl-NFκB-p65 (K218) Polyclonal Antibody diluted at 1:1000. Secondary Antibody was diluted at 1:20000.

Fig.2. Western Blot analysis of MOUSE-BRAIN cells using Acetyl-NFκB-p65 (K218) Polyclonal Antibody diluted at 1:1000. Secondary Antibody was diluted at 1:20000.

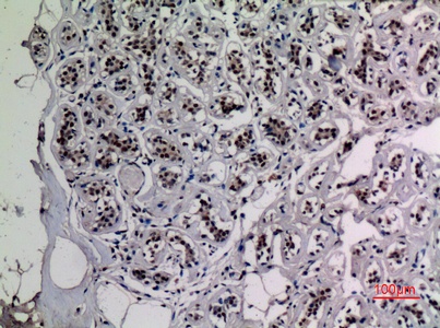
Fig.3. Immunohistochemical analysis of paraffin-embedded human-breast, antibody was diluted at 1:100.

Fig.3. Immunohistochemical analysis of paraffin-embedded human-breast, antibody was diluted at 1:100.

Fig.4. The picture was kindly provided by our customer,antibody was diluted at 1:500.

Fig.4. The picture was kindly provided by our customer,antibody was diluted at 1:500.

This product has been cited in0publications

Reviews

There are no reviews yet.

Be the first to review “NFκB-p65 (Acetyl Lys218) Polyclonal Antibody”