Login Register
English
0

Cart

$ 0

Nanos Homologue 1 (NANOS1) Polyclonal Antibody

Nanos Homologue 1 (NANOS1) Polyclonal Antibody

Views(102) Publications(0) Catalog no(ABP57513)
Datasheet Print Share Email Share
  • Specification
  • FAQ
  • Publications(0)
  • Comments(0)

Specification

Product name Nanos Homologue 1 (NANOS1) Polyclonal Antibody
Immunogen Synthesized peptide derived from Nanos Homologue 1 (NANOS1) at AA range: 151-200
Host Rabbit
Reactivity Human,Mouse
Applications WB,ELISA,IHC
Applications notes Optimal working dilutions should be determined experimentally by the investigator. Suggested starting dilutions are as follows: WB 1:500-2000;IHC 1:50-300;ELISA 1:2000-20000
Clonality Polyclonal
Preparation method The antibody was affinity-purified from rabbit antiserum by affinity-chromatography using epitope-specific immunogen.
Alternative Nanos homolog 1; NOS-1; EC_Rep1a

Product Properties

Formulation Liquid solution
Concentration 1 mg/ml
Molecular weight 30kD
Storage buffer Liquid in PBS containing 50% glycerol, 0.5% BSA and 0.02% sodium azide.
Storage instructions Stable for one year at -20°C from date of shipment. For maximum recovery of product, centrifuge the original vial after thawing and prior to removing the cap. Aliquot to avoid repeated freezing and thawing.
Shipping Gel pack with blue ice.
Precautions The product listed herein is for research use only and is not intended for use in human or clinical diagnosis. Suggested applications of our products are not recommendations to use our products in violation of any patent or as a license. We cannot be responsible for patent infringements or other violations that may occur with the use of this product.

Additional Information

Background NANOS1 (nanos C2HC-type zinc finger 1) encodes a CCHC-type zinc finger protein that is a member of the nanos family. This protein co-localizes with the RNA-binding protein pumilio RNA-binding family member 2 and may be involved in regulating translation as a post-transcriptional repressor. Mutations in NANOS1 are associated with spermatogenic impairment.
Gene ID 340719
Alternative Nanos homolog 1; NOS-1; EC_Rep1a
Others Nanos Homologue 1 (NANOS1) Polyclonal Antibody detects endogenous levels of Nanos Homologue 1 (NANOS1).
Accession Q8WY41
Observed Band(KD) 30

Image & description

Fig.1. Western Blot analysis of 3T3 cells using Nanos Homologue 1 (NANOS1) Polyclonal Antibody diluted at 1:1500. Secondary antibody (catalog#: A21020) was diluted at 1:20000.

Fig.1. Western Blot analysis of 3T3 cells using Nanos Homologue 1 (NANOS1) Polyclonal Antibody diluted at 1:1500. Secondary antibody (catalog#: A21020) was diluted at 1:20000.

Fig.2. Western Blot analysis of various cells using Antibody diluted at 1:1000. Secondary antibody (catalog#: A21020) was diluted at 1:20000.

Fig.2. Western Blot analysis of various cells using Antibody diluted at 1:1000. Secondary antibody (catalog#: A21020) was diluted at 1:20000.

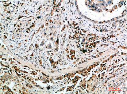
Fig.3. Immunohistochemical analysis of paraffin-embedded human-breast-cancer, antibody was diluted at 1:200.

Fig.3. Immunohistochemical analysis of paraffin-embedded human-breast-cancer, antibody was diluted at 1:200.

Fig.4. Immunohistochemical analysis of paraffin-embedded human-breast-cancer, antibody was diluted at 1:200.

Fig.4. Immunohistochemical analysis of paraffin-embedded human-breast-cancer, antibody was diluted at 1:200.

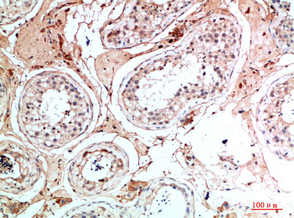
Fig.5. Immunohistochemical analysis of paraffin-embedded human-testis, antibody was diluted at 1:200.

Fig.5. Immunohistochemical analysis of paraffin-embedded human-testis, antibody was diluted at 1:200.

Fig.6. Immunohistochemical analysis of paraffin-embedded human-testis, antibody was diluted at 1:200.

Fig.6. Immunohistochemical analysis of paraffin-embedded human-testis, antibody was diluted at 1:200.

This product has been cited in0publications

Reviews

There are no reviews yet.

Be the first to review “Nanos Homologue 1 (NANOS1) Polyclonal Antibody”