Login Register
English
0

Cart

$ 0

MIA Polyclonal Antibody

MIA Polyclonal Antibody

Views(54) Publications(0) Catalog no(ABP59271)
Datasheet Print Share Email Share
  • Specification
  • FAQ
  • Publications(0)
  • Comments(0)

Specification

Product name MIA Polyclonal Antibody
Immunogen Synthesized peptide derived from part region of human MIA protein at amino acid sequence of 90-131
Host Rabbit
Reactivity Human,Rat,Mouse,
Applications IHC,IF,ELISA
Applications notes Optimal working dilutions should be determined experimentally by the investigator. Suggested starting dilutions are as follows: IHC 1:50-200;ELISA 1:10000-20000;IF 1:50-200
Clonality Polyclonal
Preparation method The antibody was affinity-purified from rabbit antiserum by affinity-chromatography using epitope-specific immunogen.
Alternative Melanoma-derived growth regulatory protein; Melanoma inhibitory activity protein

Product Properties

Formulation Liquid solution
Concentration 1 mg/ml
Storage buffer Liquid in PBS containing 50% glycerol, 0.5% BSA and 0.02% sodium azide.
Storage instructions Stable for one year at -20°C from date of shipment. For maximum recovery of product, centrifuge the original vial after thawing and prior to removing the cap. Aliquot to avoid repeated freezing and thawing.
Shipping Gel pack with blue ice.
Precautions The product listed herein is for research use only and is not intended for use in human or clinical diagnosis. Suggested applications of our products are not recommendations to use our products in violation of any patent or as a license. We cannot be responsible for patent infringements or other violations that may occur with the use of this product.

Additional Information

Background MIA (Melanoma Inhibitory Activity) is a Protein Coding gene. Diseases associated with MIA include Melanoma and Skin Melanoma. Among its related pathways are Neural Crest Differentiation. Elicits growth inhibition on melanoma cells in vitro as well as some other neuroectodermal tumors, including gliomas.
Gene ID 8190
Alternative Melanoma-derived growth regulatory protein; Melanoma inhibitory activity protein
Others The antibody detects endogenous levels of MIA
Accession Q16674

Image & description

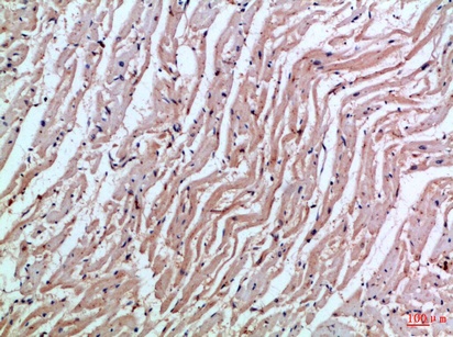
Fig.1. Immunohistochemical analysis of paraffin-embedded Human-heart, antibody was diluted at 1:100.

Fig.1. Immunohistochemical analysis of paraffin-embedded Human-heart, antibody was diluted at 1:100.

Fig.2. Immunohistochemical analysis of paraffin-embedded Human-heart, antibody was diluted at 1:100.

Fig.2. Immunohistochemical analysis of paraffin-embedded Human-heart, antibody was diluted at 1:100.

This product has been cited in0publications

Reviews

There are no reviews yet.

Be the first to review “MIA Polyclonal Antibody”