Login Register
English
0

Cart

$ 0

LT-β Polyclonal Antibody

LT-β Polyclonal Antibody

Views(135) Publications(0) Catalog no(ABP59165)
Datasheet Print Share Email Share
  • Specification
  • FAQ
  • Publications(0)
  • Comments(0)

Specification

Product name LT-β Polyclonal Antibody
Immunogen Synthesized peptide derived from part region of human LT-β protein at amino acid sequence of 41-90
Host Rabbit
Reactivity Human,Mouse
Applications WB,IHC,IF,ELISA
Applications notes Optimal working dilutions should be determined experimentally by the investigator. Suggested starting dilutions are as follows: IHC 1:50-200;ELISA 1:10000-20000;WB 1:500-2000;IF 1:50-200
Clonality Polyclonal
Preparation method The antibody was affinity-purified from rabbit antiserum by affinity-chromatography using epitope-specific immunogen.
Alternative Lymphotoxin-beta; LT-beta; Tumor necrosis factor C; TNF-C; Tumor necrosis factor ligand superfamily member 3

Product Properties

Formulation Liquid solution
Concentration 1 mg/ml
Storage buffer Liquid in PBS containing 50% glycerol, 0.5% BSA and 0.02% sodium azide.
Storage instructions Stable for one year at -20°C from date of shipment. For maximum recovery of product, centrifuge the original vial after thawing and prior to removing the cap. Aliquot to avoid repeated freezing and thawing.
Shipping Gel pack with blue ice.
Precautions The product listed herein is for research use only and is not intended for use in human or clinical diagnosis. Suggested applications of our products are not recommendations to use our products in violation of any patent or as a license. We cannot be responsible for patent infringements or other violations that may occur with the use of this product.

Additional Information

Background Glycophorin C (GYPC) is an integral membrane glycoprotein. It is a minor species carried by human erythrocytes, but plays an important role in regulating the mechanical stability of red cells. A number of glycophorin C mutations have been described. The Gerbich and Yus phenotypes are due to deletion of exon 3 and 2, respectively. The Webb and Duch antigens, also known as glycophorin D, result from single point mutations of the glycophorin C gene. The glycophorin C protein has very little homology with glycophorins A and B. Alternate splicing results in multiple transcript variants.
Gene ID 4050
Alternative Lymphotoxin-beta; LT-beta; Tumor necrosis factor C; TNF-C; Tumor necrosis factor ligand superfamily member 3
Others The antibody detects endogenous levels of LT-β
Accession Q06643

Image & description

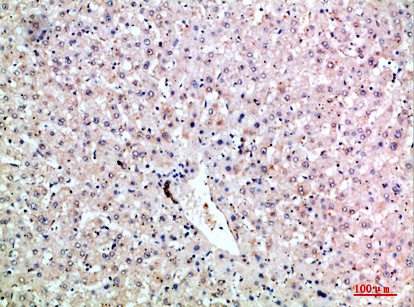
Fig.1. Immunohistochemical analysis of paraffin-embedded human-liver, antibody was diluted at 1:200.

Fig.1. Immunohistochemical analysis of paraffin-embedded human-liver, antibody was diluted at 1:200.

Fig.2. Immunohistochemical analysis of paraffin-embedded human-spleen, antibody was diluted at 1:200.

Fig.2. Immunohistochemical analysis of paraffin-embedded human-spleen, antibody was diluted at 1:200.

Fig.3. Immunohistochemical analysis of paraffin-embedded human-spleen, antibody was diluted at 1:200.

Fig.3. Immunohistochemical analysis of paraffin-embedded human-spleen, antibody was diluted at 1:200.

This product has been cited in0publications

Reviews

There are no reviews yet.

Be the first to review “LT-β Polyclonal Antibody”