Login Register
English
0

Cart

$ 0

IL-1RII Polyclonal Antibody

IL-1RII Polyclonal Antibody

Views(55) Publications(0) Catalog no(ABP53201)
Datasheet Print Share Email Share
  • Specification
  • FAQ
  • Publications(0)
  • Comments(0)

Specification

Product name IL-1RII Polyclonal Antibody
Immunogen Synthesized peptide derived from the Internal region of human IL-1RII
Host Rabbit
Reactivity Human,Rat,Mouse,
Applications WB,IHC,IF,ELISA
Applications notes Optimal working dilutions should be determined experimentally by the investigator. Suggested starting dilutions are as follows: WB 1:500-1:2000;IHC: 1:100-1:300;ELISA 1:20000;IF 1:50-200
Clonality Polyclonal
Preparation method The antibody was affinity-purified from rabbit antiserum by affinity-chromatography using epitope-specific immunogen.
Alternative IL1R2; IL1RB; Interleukin-1 receptor type 2; IL-1R-2; IL-1RT-2; IL-1RT2; CD121 antigen-like family member B; CDw121b; IL-1 type II receptor; Interleukin-1 receptor beta; IL-1R-beta; Interleukin-1 receptor type II; CD121b

Product Properties

Formulation Liquid solution
Concentration 1 mg/ml
Molecular weight 43kD
Storage buffer Liquid in PBS containing 50% glycerol, 0.5% BSA and 0.02% sodium azide.
Storage instructions Stable for one year at -20°C from date of shipment. For maximum recovery of product, centrifuge the original vial after thawing and prior to removing the cap. Aliquot to avoid repeated freezing and thawing.
Shipping Gel pack with blue ice.
Precautions The product listed herein is for research use only and is not intended for use in human or clinical diagnosis. Suggested applications of our products are not recommendations to use our products in violation of any patent or as a license. We cannot be responsible for patent infringements or other violations that may occur with the use of this product.

Additional Information

Background Interleukin-1 receptor type 2 encoded by IL1R2 is a cytokine receptor that belongs to the interleukin 1 receptor family. This protein binds interleukin alpha (IL1A), interleukin beta (IL1B), and interleukin 1 receptor, type I(IL1R1/IL1RA), and acts as a decoy receptor that inhibits the activity of its ligands. Interleukin 4 (IL4) is reported to antagonize the activity of interleukin 1 by inducing the expression and release of this cytokine. This gene and three other genes form a cytokine receptor gene cluster on chromosome 2q12. Alternative splicing results in multiple transcript variants and protein isoforms. Alternative splicing produces both membrane-bound and soluble proteins. A soluble protein is also produced by proteolytic cleavage.
Gene ID 7850
Alternative IL1R2; IL1RB; Interleukin-1 receptor type 2; IL-1R-2; IL-1RT-2; IL-1RT2; CD121 antigen-like family member B; CDw121b; IL-1 type II receptor; Interleukin-1 receptor beta; IL-1R-beta; Interleukin-1 receptor type II; CD121b
Others IL-1RII Polyclonal Antibody detects endogenous levels of IL-1RII protein.
Accession P27930
Observed Band(KD) 43

Image & description

Fig.1. Western Blot analysis of PC12 cells using IL-1RII Polyclonal Antibody. Secondary antibody (catalog#: A21020) was diluted at 1:20000.

Fig.1. Western Blot analysis of PC12 cells using IL-1RII Polyclonal Antibody. Secondary antibody (catalog#: A21020) was diluted at 1:20000.

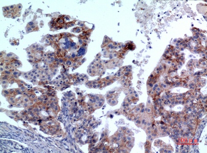
Fig.2. Immunohistochemical analysis of paraffin-embedded human-Ovarian-cancer, antibody was diluted at 1:100.

Fig.2. Immunohistochemical analysis of paraffin-embedded human-Ovarian-cancer, antibody was diluted at 1:100.

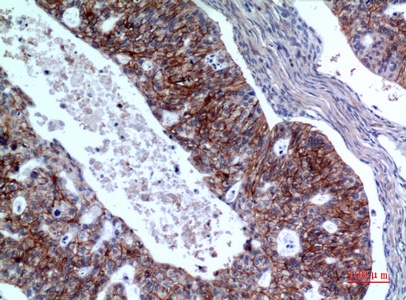
Fig.3. Immunohistochemical analysis of paraffin-embedded human-Ovarian-cancer, antibody was diluted at 1:100.

Fig.3. Immunohistochemical analysis of paraffin-embedded human-Ovarian-cancer, antibody was diluted at 1:100.

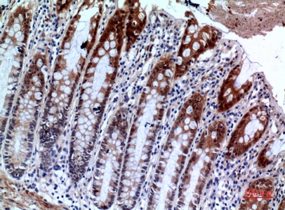
Fig.4. Immunohistochemical analysis of paraffin-embedded human-colon, antibody was diluted at 1:100.

Fig.4. Immunohistochemical analysis of paraffin-embedded human-colon, antibody was diluted at 1:100.

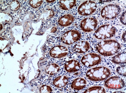
Fig.5. Immunohistochemical analysis of paraffin-embedded human-colon, antibody was diluted at 1:100.

Fig.5. Immunohistochemical analysis of paraffin-embedded human-colon, antibody was diluted at 1:100.

This product has been cited in0publications

Reviews

There are no reviews yet.

Be the first to review “IL-1RII Polyclonal Antibody”