Login Register
English
0

Cart

$ 0

IL-10 Polyclonal Antibody

IL-10 Polyclonal Antibody

Views(102) Publications(0) Catalog no(ABP52869)
Datasheet Print Share Email Share
  • Specification
  • FAQ
  • Publications(0)
  • Comments(0)

Specification

Product name IL-10 Polyclonal Antibody
Immunogen Synthesized peptide derived from the Internal region of human IL-10
Host Rabbit
Reactivity Human,Mouse,Rat
Applications WB,IHC,IF,ELISA
Applications notes Optimal working dilutions should be determined experimentally by the investigator. Suggested starting dilutions are as follows: WB 1:500-1:2000;IHC: 1:100-300;ELISA 1:20000;IF 1:100-300;Not yet tested in other applications.
Clonality Polyclonal
Preparation method The antibody was affinity-purified from rabbit antiserum by affinity-chromatography using epitope-specific immunogen.
Alternative IL10; Interleukin-10; IL-10; Cytokine synthesis inhibitory factor; CSIF

Product Properties

Formulation Liquid solution
Concentration 1 mg/ml
Molecular weight 20kD
Storage buffer Liquid in PBS containing 50% glycerol, 0.5% BSA and 0.02% sodium azide.
Storage instructions Stable for one year at -20°C from date of shipment. For maximum recovery of product, centrifuge the original vial after thawing and prior to removing the cap. Aliquot to avoid repeated freezing and thawing.
Shipping Gel pack with blue ice.
Precautions The product listed herein is for research use only and is not intended for use in human or clinical diagnosis. Suggested applications of our products are not recommendations to use our products in violation of any patent or as a license. We cannot be responsible for patent infringements or other violations that may occur with the use of this product.

Additional Information

Background Interleukin-10 encoded by IL10 is a cytokine produced primarily by monocytes and to a lesser extent by lymphocytes. This cytokine has pleiotropic effects in immunoregulation and inflammation. It down-regulates the expression of Th1 cytokines, MHC class II Ags, and costimulatory molecules on macrophages. It also enhances B cell survival, proliferation, and antibody production. This cytokine can block NF-kappa B activity, and is involved in the regulation of the JAK-STAT signaling pathway. Knockout studies in mice suggested the function of this cytokine as an essential immunoregulator in the intestinal tract. Mutations in this gene are associated with an increased susceptibility to HIV-1 infection and rheumatoid arthritis.
Gene ID 3586
Alternative IL10; Interleukin-10; IL-10; Cytokine synthesis inhibitory factor; CSIF
Others IL-10 Polyclonal Antibody detects endogenous levels of IL-10 protein.
Accession P22301
Observed Band(KD) 20

Image & description

Fig.1. Western Blot analysis of THP-1,  Romas, HepG2,  SW480, SHSY5Y, Mouse liver cells using IL-10 Polyclonal Antibody. Secondary antibody (catalog#: A21020) was diluted at 1:20000.

Fig.1. Western Blot analysis of THP-1, Romas, HepG2, SW480, SHSY5Y, Mouse liver cells using IL-10 Polyclonal Antibody. Secondary antibody (catalog#: A21020) was diluted at 1:20000.

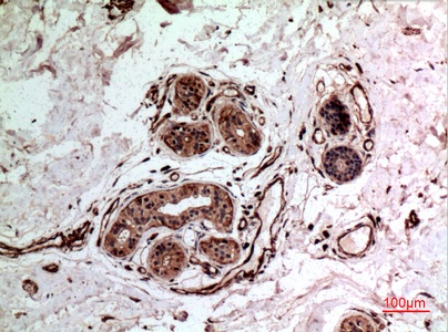
Fig.2. Immunohistochemical analysis of paraffin-embedded human-breast-cancer, antibody was diluted at 1:100.

Fig.2. Immunohistochemical analysis of paraffin-embedded human-breast-cancer, antibody was diluted at 1:100.

This product has been cited in0publications

Reviews

There are no reviews yet.

Be the first to review “IL-10 Polyclonal Antibody”