Login Register
English
0

Cart

$ 0

HLA-DQA1 Polyclonal Antibody

HLA-DQA1 Polyclonal Antibody

Views(77) Publications(0) Catalog no(ABP58795)
Datasheet Print Share Email Share
  • Specification
  • FAQ
  • Publications(0)
  • Comments(0)

Specification

Product name HLA-DQA1 Polyclonal Antibody
Immunogen Synthesized peptide derived from part region of human HLA-DQA1 protein at amino acid sequence of 21-70
Host Rabbit
Reactivity Human
Applications IHC,IF,ELISA
Applications notes Optimal working dilutions should be determined experimentally by the investigator. Suggested starting dilutions are as follows: IHC 1:50-200;ELISA 1:10000-20000;IF 1:50-200
Clonality Polyclonal
Preparation method The antibody was affinity-purified from rabbit antiserum by affinity-chromatography using epitope-specific immunogen.
Alternative HLA class II histocompatibility antigen, DQ alpha 1 chain; DC-1 alpha chain; DC-alpha; HLA-DCA; MHC class II DQA1

Product Properties

Formulation Liquid solution
Concentration 1 mg/ml
Storage buffer Liquid in PBS containing 50% glycerol, 0.5% BSA and 0.02% sodium azide.
Storage instructions Stable for one year at -20°C from date of shipment. For maximum recovery of product, centrifuge the original vial after thawing and prior to removing the cap. Aliquot to avoid repeated freezing and thawing.
Shipping Gel pack with blue ice.
Precautions The product listed herein is for research use only and is not intended for use in human or clinical diagnosis. Suggested applications of our products are not recommendations to use our products in violation of any patent or as a license. We cannot be responsible for patent infringements or other violations that may occur with the use of this product.

Additional Information

Background HLA-DQA1 belongs to the HLA class II alpha chain paralogues. The class II molecule is a heterodimer consisting of an alpha (DQA) and a beta chain (DQB), both anchored in the membrane. It plays a central role in the immune system by presenting peptides derived from extracellular proteins. Class II molecules are expressed in antigen presenting cells (APC: b Lymphocytes, dendritic cells, macrophages). The alpha chain is approximately 33-35 kDa. It is encoded by 5 exons; exon 1 encodes the leader peptide, exons 2 and 3 encode the two extracellular domains, and exon 4 encodes the transmembrane domain and the cytoplasmic tail. Within the DQ molecule both the alpha chain and the beta chain contain the polymorphisms specifying the peptide binding specificities, resulting in up to four different molecules. Typing for these polymorphisms is routinely done for bone marrow transplantation.
Gene ID 100509457
Alternative HLA class II histocompatibility antigen, DQ alpha 1 chain; DC-1 alpha chain; DC-alpha; HLA-DCA; MHC class II DQA1
Others The antibody detects endogenous levels of HLA-DQA1
Accession P01909

Image & description

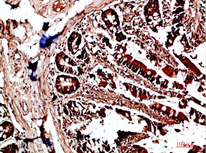
Fig.1. Immunohistochemical analysis of paraffin-embedded human-colon, antibody was diluted at 1:200.

Fig.1. Immunohistochemical analysis of paraffin-embedded human-colon, antibody was diluted at 1:200.

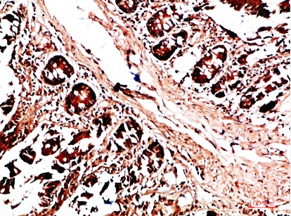
Fig.2. Immunohistochemical analysis of paraffin-embedded human-colon, antibody was diluted at 1:200.

Fig.2. Immunohistochemical analysis of paraffin-embedded human-colon, antibody was diluted at 1:200.

Fig.3. Immunohistochemical analysis of paraffin-embedded human-spleen, antibody was diluted at 1:200.

Fig.3. Immunohistochemical analysis of paraffin-embedded human-spleen, antibody was diluted at 1:200.

Fig.4. Immunohistochemical analysis of paraffin-embedded human-spleen, antibody was diluted at 1:200.

Fig.4. Immunohistochemical analysis of paraffin-embedded human-spleen, antibody was diluted at 1:200.

This product has been cited in0publications

Reviews

There are no reviews yet.

Be the first to review “HLA-DQA1 Polyclonal Antibody”