Login Register
English
0

Cart

$ 0

FOG-2 Polyclonal Antibody

FOG-2 Polyclonal Antibody

Views(68) Publications(0) Catalog no(ABP57417)
Datasheet Print Share Email Share
  • Specification
  • FAQ
  • Publications(0)
  • Comments(0)

Specification

Product name FOG-2 Polyclonal Antibody
Immunogen Synthesized peptide derived from the Internal region of human FOG-2
Host Rabbit
Reactivity Human,Mouse
Applications WB,IHC,IF,ELISA
Applications notes Optimal working dilutions should be determined experimentally by the investigator. Suggested starting dilutions are as follows: WB 1:500-1:2000;IHC: 1:100-1:300;ELISA 1:10000;IF 1:50-200
Clonality Polyclonal
Preparation method The antibody was affinity-purified from rabbit antiserum by affinity-chromatography using epitope-specific immunogen.
Alternative ZFPM2; FOG2; ZNF89B; Zinc finger protein ZFPM2; Friend of GATA protein 2; FOG-2; Friend of GATA 2; hFOG-2; Zinc finger protein 89B; Zinc finger protein multitype 2

Product Properties

Formulation Liquid solution
Concentration 1 mg/ml
Molecular weight 128kD
Storage buffer Liquid in PBS containing 50% glycerol, 0.5% BSA and 0.02% sodium azide.
Storage instructions Stable for one year at -20°C from date of shipment. For maximum recovery of product, centrifuge the original vial after thawing and prior to removing the cap. Aliquot to avoid repeated freezing and thawing.
Shipping Gel pack with blue ice.
Precautions The product listed herein is for research use only and is not intended for use in human or clinical diagnosis. Suggested applications of our products are not recommendations to use our products in violation of any patent or as a license. We cannot be responsible for patent infringements or other violations that may occur with the use of this product.

Additional Information

Background The zinc finger protein encoded by ZFPM2 (zinc finger protein, FOG family member 2) is a widely expressed member of the FOG family of transcription factors. The family members modulate the activity of GATA family proteins, which are important regulators of hematopoiesis and cardiogenesis in mammals. It has been demonstrated that the protein can both activate and down-regulate expression of GATA-target genes, suggesting different modulation in different promoter contexts. A related mRNA suggests an alternatively spliced product but this information is not yet fully supported by the sequence.
Gene ID 23414
Alternative ZFPM2; FOG2; ZNF89B; Zinc finger protein ZFPM2; Friend of GATA protein 2; FOG-2; Friend of GATA 2; hFOG-2; Zinc finger protein 89B; Zinc finger protein multitype 2
Others FOG-2 Polyclonal Antibody detects endogenous levels of FOG-2 protein.
Accession Q8WW38
Observed Band(KD) 128

Image & description

Fig.1. Western blot analysis of Hela AD293 293T 453 HepG2 lysis using ZFPM2 antibody. Antibody was diluted at 1:1000. Secondary antibody (catalog#: A21020) was diluted at 1:20000.

Fig.1. Western blot analysis of Hela AD293 293T 453 HepG2 lysis using ZFPM2 antibody. Antibody was diluted at 1:1000. Secondary antibody (catalog#: A21020) was diluted at 1:20000.

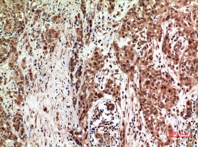
Fig.2. Immunohistochemical analysis of paraffin-embedded human-breast-cancer, antibody was diluted at 1:100.

Fig.2. Immunohistochemical analysis of paraffin-embedded human-breast-cancer, antibody was diluted at 1:100.

This product has been cited in0publications

Reviews

There are no reviews yet.

Be the first to review “FOG-2 Polyclonal Antibody”