Login Register
English
0

Cart

$ 0

GRP78/Bip Monoclonal Antibody

GRP78/Bip Monoclonal Antibody

Views(103) Publications(0) Catalog no(ABM0069)
Datasheet Print Share Email Share
  • Specification
  • FAQ
  • Publications(0)
  • Comments(0)

Specification

Product name GRP78/Bip Monoclonal Antibody
Immunogen Synthetic Peptide
Host Mouse
Reactivity Human,Rat
Applications WB,IHC,IF
Applications notes Optimal working dilutions should be determined experimentally by the investigator. Suggested starting dilutions are as follows: WB 1:1000-2000;IHC 1:100-200;IF 1:50-200
Clonality Monoclonal
Preparation method The antibody was affinity-purified from mouse ascites by affinity-chromatography using specific immunogen.
Alternative HSPA5; GRP78; 78 kDa glucose-regulated protein; GRP-78; Endoplasmic reticulum lumenal Ca(2+)-binding protein grp78; Heat shock 70 kDa protein 5; Immunoglobulin heavy chain-binding protein; BiP

Product Properties

Formulation Liquid solution
Concentration 1 mg/ml
Molecular weight 78kD
Storage buffer Liquid in PBS containing 50% glycerol, 0.5% BSA and 0.02% sodium azide.
Storage instructions Stable for one year at -20°C from date of shipment. For maximum recovery of product, centrifuge the original vial after thawing and prior to removing the cap. Aliquot to avoid repeated freezing and thawing.
Shipping Gel pack with blue ice.
Precautions The product listed herein is for research use only and is not intended for use in human or clinical diagnosis. Suggested applications of our products are not recommendations to use our products in violation of any patent or as a license. We cannot be responsible for patent infringements or other violations that may occur with the use of this product.

Additional Information

Background The protein encoded by HSPA5 (heat shock protein family A (Hsp70) member 5) is a member of the heat shock protein 70 (HSP70) family. It is localized in the lumen of the endoplasmic reticulum (ER), and is involved in the folding and assembly of proteins in the ER. As this protein interacts with many ER proteins, it may play a key role in monitoring protein transport through the cell.
Gene ID 3309
Alternative HSPA5; GRP78; 78 kDa glucose-regulated protein; GRP-78; Endoplasmic reticulum lumenal Ca(2+)-binding protein grp78; Heat shock 70 kDa protein 5; Immunoglobulin heavy chain-binding protein; BiP
Accession P11021

Image & description

Fig.1. Western blot analysis of 1) Hela, 2) Rat LiverTissue with GRP78/Bip Mouse mAb diluted at 1:2000.

Fig.1. Western blot analysis of 1) Hela, 2) Rat LiverTissue with GRP78/Bip Mouse mAb diluted at 1:2000.

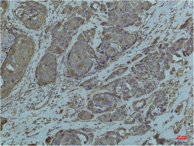
Fig.2. Immunohistochemical analysis of paraffin-embedded Human Colon Caricnoma using GRP78/BipMouse mAb diluted at 1:200.

Fig.2. Immunohistochemical analysis of paraffin-embedded Human Colon Caricnoma using GRP78/BipMouse mAb diluted at 1:200.

Fig.3. Immunohistochemical analysis of paraffin-embedded Human Breast Caricnoma using GRP78/BipMouse mAb diluted at 1:200.

Fig.3. Immunohistochemical analysis of paraffin-embedded Human Breast Caricnoma using GRP78/BipMouse mAb diluted at 1:200.

This product has been cited in0publications

Reviews

There are no reviews yet.

Be the first to review “GRP78/Bip Monoclonal Antibody”