Login Register
English
0

Cart

$ 0

CYCS Monoclonal Antibody

CYCS Monoclonal Antibody

Views(58) Publications(0) Catalog no(ABM0056)
Datasheet Print Share Email Share
  • Specification
  • FAQ
  • Publications(0)
  • Comments(0)

Specification

Product name CYCS Monoclonal Antibody
Immunogen Recombinant Protein
Host Mouse
Reactivity Human,Mouse,Rat,chicken
Applications WB,IF,IHC
Applications notes Optimal working dilutions should be determined experimentally by the investigator. Suggested starting dilutions are as follows: WB 1:1000-5000;IHC 1:500-1000;IF 1:200
Clonality Monoclonal
Preparation method The antibody was affinity-purified from mouse ascites by affinity-chromatography using epitope-specific immunogen.

Product Properties

Formulation Liquid solution
Concentration 1 mg/ml
Molecular weight 14kD
Storage buffer PBS, pH 7.4, containing 0.5%BSA, 0.02% sodium azide as Preservative and 50% Glycerol.
Storage instructions Stable for one year at -20°C from date of shipment. For maximum recovery of product, centrifuge the original vial after thawing and prior to removing the cap. Aliquot to avoid repeated freezing and thawing.
Shipping Gel pack with blue ice.
Precautions The product listed herein is for research use only and is not intended for use in human or clinical diagnosis. Suggested applications of our products are not recommendations to use our products in violation of any patent or as a license. We cannot be responsible for patent infringements or other violations that may occur with the use of this product.

Additional Information

Background CYCS (cytochrome c, somatic) encodes a small heme protein that functions as a central component of the electron transport chain in mitochondria. The encoded protein associates with the inner membrane of the mitochondrion where it accepts electrons from cytochrome b and transfers them to the cytochrome oxidase complex. This protein is also involved in initiation of apoptosis. Mutations in CYCS are associated with autosomal dominant nonsyndromic thrombocytopenia. Numerous processed pseudogenes of CYCS are found throughout the human genome.
Gene ID 54205
Others The antibody detects endogenous CYCS protein.
Accession P99999

Image & description

Fig.1. Western blot analysis of 1) Hela, 2) 293T, 3) 3T3, 4) Mouse Liver tissue, 5) Rat Liver tissue, 6) Rat Kidney tissue using CYCS Monoclonal Antibody.

Fig.1. Western blot analysis of 1) Hela, 2) 293T, 3) 3T3, 4) Mouse Liver tissue, 5) Rat Liver tissue, 6) Rat Kidney tissue using CYCS Monoclonal Antibody.

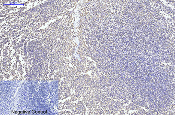
Fig.2. Immunohistochemical analysis of paraffin-embedded human tonsil tissue. 1, CYCS Monoclonal Antibody  was diluted at 1:200 (4°C, overnight). 2, Sodium citrate pH 6.0 was used for antibody retrieval (>98°C, 20min). 3, secondary antibody was diluted at 1:200 (room temperature, 30min). Negative control was used by secondary antibody only.

Fig.2. Immunohistochemical analysis of paraffin-embedded human tonsil tissue. 1, CYCS Monoclonal Antibody was diluted at 1:200 (4°C, overnight). 2, Sodium citrate pH 6.0 was used for antibody retrieval (>98°C, 20min). 3, secondary antibody was diluted at 1:200 (room temperature, 30min). Negative control was used by secondary antibody only.

Fig.3. Immunohistochemical analysis of paraffin-embedded mouse kidney tissue. 1, CYCS Monoclonal Antibody  was diluted at 1:200 (4°C, overnight). 2, Sodium citrate pH 6.0 was used for antibody retrieval (>98°C, 20min). 3, secondary antibody was diluted at 1:200 (room temperature, 30min). Negative control was used by secondary antibody only.

Fig.3. Immunohistochemical analysis of paraffin-embedded mouse kidney tissue. 1, CYCS Monoclonal Antibody was diluted at 1:200 (4°C, overnight). 2, Sodium citrate pH 6.0 was used for antibody retrieval (>98°C, 20min). 3, secondary antibody was diluted at 1:200 (room temperature, 30min). Negative control was used by secondary antibody only.

Fig.4. Immunohistochemical analysis of paraffin-embedded rat kidney tissue. 1, CYCS Monoclonal Antibody  was diluted at 1:200 (4°C, overnight). 2, Sodium citrate pH 6.0 was used for antibody retrieval (>98°C, 20min). 3, secondary antibody was diluted at 1:200 (room temperature, 30min). Negative control was used by secondary antibody only.

Fig.4. Immunohistochemical analysis of paraffin-embedded rat kidney tissue. 1, CYCS Monoclonal Antibody was diluted at 1:200 (4°C, overnight). 2, Sodium citrate pH 6.0 was used for antibody retrieval (>98°C, 20min). 3, secondary antibody was diluted at 1:200 (room temperature, 30min). Negative control was used by secondary antibody only.

Fig.5. Immunofluorescence analysis of human liver cancer tissue. 1, CYCS Monoclonal Antibody (red) was diluted at 1:200 (4°C, overnight). 2, Cy3 Labeled secondary antibody was diluted at 1:300 (room temperature, 50min). 3, Picture B: DAPI (blue) 10min. Picture A: Target. Picture B: DAPI. Picture C: merge of A+B.

Fig.5. Immunofluorescence analysis of human liver cancer tissue. 1, CYCS Monoclonal Antibody (red) was diluted at 1:200 (4°C, overnight). 2, Cy3 Labeled secondary antibody was diluted at 1:300 (room temperature, 50min). 3, Picture B: DAPI (blue) 10min. Picture A: Target. Picture B: DAPI. Picture C: merge of A+B.

Fig.6. Immunofluorescence analysis of mouse spleen tissue. 1, CYCS Monoclonal Antibody (red) was diluted at 1:200 (4°C, overnight). 2, Cy3 Labeled secondary antibody was diluted at 1:300 (room temperature, 50min). 3, Picture B: DAPI (blue) 10min. Picture A: Target. Picture B: DAPI. Picture C: merge of A+B.

Fig.6. Immunofluorescence analysis of mouse spleen tissue. 1, CYCS Monoclonal Antibody (red) was diluted at 1:200 (4°C, overnight). 2, Cy3 Labeled secondary antibody was diluted at 1:300 (room temperature, 50min). 3, Picture B: DAPI (blue) 10min. Picture A: Target. Picture B: DAPI. Picture C: merge of A+B.

Fig.7. Immunofluorescence analysis of rat liver tissue. 1, CYCS Monoclonal Antibody  (red) was diluted at 1:200 (4°C, overnight). 2, Cy3 Labeled secondary antibody was diluted at 1:300 (room temperature, 50min). 3, Picture B: DAPI (blue) 10min. Picture A: Target. Picture B: DAPI. Picture C: merge of A+B.

Fig.7. Immunofluorescence analysis of rat liver tissue. 1, CYCS Monoclonal Antibody (red) was diluted at 1:200 (4°C, overnight). 2, Cy3 Labeled secondary antibody was diluted at 1:300 (room temperature, 50min). 3, Picture B: DAPI (blue) 10min. Picture A: Target. Picture B: DAPI. Picture C: merge of A+B.

This product has been cited in0publications

Reviews

There are no reviews yet.

Be the first to review “CYCS Monoclonal Antibody”