Login Register
English
0

Cart

$ 0

CTACK Polyclonal Antibody

CTACK Polyclonal Antibody

Views(67) Publications(0) Catalog no(ABP57410)
Datasheet Print Share Email Share
  • Specification
  • FAQ
  • Publications(0)
  • Comments(0)

Specification

Product name CTACK Polyclonal Antibody
Immunogen Synthesized peptide derived from the Internal region of human CTACK
Host Rabbit
Reactivity Human,Mouse
Applications WB,IHC,IF,ELISA
Applications notes Optimal working dilutions should be determined experimentally by the investigator. Suggested starting dilutions are as follows: WB 1:500-1:2000;IHC: 1:100-1:300;ELISA 1:10000;IF 1:50-200
Clonality Polyclonal
Preparation method The antibody was affinity-purified from rabbit antiserum by affinity-chromatography using epitope-specific immunogen.
Alternative CCL27; ILC; SCYA27; C-C motif chemokine 27; CC chemokine ILC; Cutaneous T-cell-attracting chemokine; CTACK; ESkine; IL-11 R-alpha-locus chemokine; Skinkine; Small-inducible cytokine A27

Product Properties

Formulation Liquid solution
Concentration 1 mg/ml
Molecular weight 12kD
Storage buffer Liquid in PBS containing 50% glycerol, 0.5% BSA and 0.02% sodium azide.
Storage instructions Stable for one year at -20°C from date of shipment. For maximum recovery of product, centrifuge the original vial after thawing and prior to removing the cap. Aliquot to avoid repeated freezing and thawing.
Shipping Gel pack with blue ice.
Precautions The product listed herein is for research use only and is not intended for use in human or clinical diagnosis. Suggested applications of our products are not recommendations to use our products in violation of any patent or as a license. We cannot be responsible for patent infringements or other violations that may occur with the use of this product.

Additional Information

Background CCL27 (C-C motif chemokine ligand 27) is one of several CC cytokine genes clustered on the p-arm of chromosome 9. Cytokines are a family of secreted proteins involved in immunoregulatory and inflammatory processes. The CC cytokines are proteins characterized by two adjacent cysteines. The protein encoded by this gene is chemotactic for skin-associated memory T lymphocytes. This cytokine may also play a role in mediating homing of lymphocytes to cutaneous sites. It specifically binds to chemokine receptor 10 (CCR10). Studies of a similar murine protein indicate that these protein-receptor interactions have a pivotal role in T cell-mediated skin inflammation.
Gene ID 10850
Alternative CCL27; ILC; SCYA27; C-C motif chemokine 27; CC chemokine ILC; Cutaneous T-cell-attracting chemokine; CTACK; ESkine; IL-11 R-alpha-locus chemokine; Skinkine; Small-inducible cytokine A27
Others CTACK Polyclonal Antibody detects endogenous levels of CTACK protein.
Accession Q9Y4X3
Observed Band(KD) 12

Image & description

Fig.1. Western blot analysis of Mouse-kidney lysis using CCL27 antibody. Antibody was diluted at 1:1000. Secondary antibody (catalog#: A21020) was diluted at 1:20000.

Fig.1. Western blot analysis of Mouse-kidney lysis using CCL27 antibody. Antibody was diluted at 1:1000. Secondary antibody (catalog#: A21020) was diluted at 1:20000.

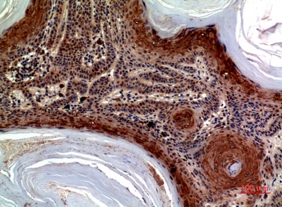
Fig.2. Immunohistochemical analysis of paraffin-embedded human-skin, antibody was diluted at 1:100.

Fig.2. Immunohistochemical analysis of paraffin-embedded human-skin, antibody was diluted at 1:100.

Fig.3. Western Blot analysis of various cells using Antibody diluted at 1:1000. Secondary antibody (catalog#: A21020) was diluted at 1:20000.

Fig.3. Western Blot analysis of various cells using Antibody diluted at 1:1000. Secondary antibody (catalog#: A21020) was diluted at 1:20000.

This product has been cited in0publications

Reviews

There are no reviews yet.

Be the first to review “CTACK Polyclonal Antibody”