Login Register
English
0

Cart

$ 0

CDNF Polyclonal Antibody

CDNF Polyclonal Antibody

Views(85) Publications(0) Catalog no(ABP58094)
Datasheet Print Share Email Share
  • Specification
  • FAQ
  • Publications(0)
  • Comments(0)

Specification

Product name CDNF Polyclonal Antibody
Immunogen Synthesized peptide derived from part region of human CDNF protein at amino acid sequence of 31-80
Host Rabbit
Reactivity Human,Rat,Mouse,
Applications IHC,IF,ELISA
Applications notes Optimal working dilutions should be determined experimentally by the investigator. Suggested starting dilutions are as follows: IHC 1:50-200;ELISA 1:10000-20000;IF 1:50-200
Clonality Polyclonal
Preparation method The antibody was affinity-purified from rabbit antiserum by affinity-chromatography using epitope-specific immunogen.
Alternative Cerebral dopamine neurotrophic factor; ARMET-like protein 1; Conserved dopamine neurotrophic factor

Product Properties

Formulation Liquid solution
Concentration 1 mg/ml
Storage buffer Liquid in PBS containing 50% glycerol, 0.5% BSA and 0.02% sodium azide.
Storage instructions Stable for one year at -20°C from date of shipment. For maximum recovery of product, centrifuge the original vial after thawing and prior to removing the cap. Aliquot to avoid repeated freezing and thawing.
Shipping Gel pack with blue ice.
Precautions The product listed herein is for research use only and is not intended for use in human or clinical diagnosis. Suggested applications of our products are not recommendations to use our products in violation of any patent or as a license. We cannot be responsible for patent infringements or other violations that may occur with the use of this product.

Additional Information

Background CDNF (Cerebral Dopamine Neurotrophic Factor) is a Protein Coding gene. Trophic factor for dopamine neurons. Prevents the 6-hydroxydopamine (6-OHDA)-induced degeneration of dopaminergic neurons. When administered after 6-OHDA-lesioning, restores the dopaminergic function and prevents the degeneration of dopaminergic neurons in substantia nigra (By similarity).
Gene ID 441549
Alternative Cerebral dopamine neurotrophic factor; ARMET-like protein 1; Conserved dopamine neurotrophic factor
Others The antibody detects endogenous levels of CDNF
Accession Q49AH0

Image & description

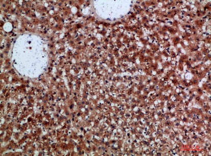
Fig.1. Immunohistochemical analysis of paraffin-embedded human-liver, antibody was diluted at 1:200.

Fig.1. Immunohistochemical analysis of paraffin-embedded human-liver, antibody was diluted at 1:200.

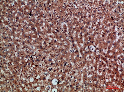
Fig.2. Immunohistochemical analysis of paraffin-embedded human-liver, antibody was diluted at 1:200.

Fig.2. Immunohistochemical analysis of paraffin-embedded human-liver, antibody was diluted at 1:200.

This product has been cited in0publications

Reviews

There are no reviews yet.

Be the first to review “CDNF Polyclonal Antibody”