Login Register
English
0

Cart

$ 0

CD37 Polyclonal Antibody

CD37 Polyclonal Antibody

Views(76) Publications(0) Catalog no(ABP53193)
Datasheet Print Share Email Share
  • Specification
  • FAQ
  • Publications(0)
  • Comments(0)

Specification

Product name CD37 Polyclonal Antibody
Immunogen Synthesized peptide derived from the Internal region of human CD37
Host Rabbit
Reactivity Human,Rat,Mouse,
Applications WB,IHC,IF,ELISA
Applications notes Optimal working dilutions should be determined experimentally by the investigator. Suggested starting dilutions are as follows: WB 1:500-1:2000;IHC: 1:100-1:300;ELISA 1:20000;IF 1:50-200
Clonality Polyclonal
Preparation method The antibody was affinity-purified from rabbit antiserum by affinity-chromatography using epitope-specific immunogen.
Alternative CD37; TSPAN26; Leukocyte antigen CD37; Tetraspanin-26; Tspan-26; CD37

Product Properties

Formulation Liquid solution
Concentration 1 mg/ml
Molecular weight 30kD
Storage buffer Liquid in PBS containing 50% glycerol, 0.5% BSA and 0.02% sodium azide.
Storage instructions Stable for one year at -20°C from date of shipment. For maximum recovery of product, centrifuge the original vial after thawing and prior to removing the cap. Aliquot to avoid repeated freezing and thawing.
Shipping Gel pack with blue ice.
Precautions The product listed herein is for research use only and is not intended for use in human or clinical diagnosis. Suggested applications of our products are not recommendations to use our products in violation of any patent or as a license. We cannot be responsible for patent infringements or other violations that may occur with the use of this product.

Additional Information

Background CD37 molecule encoded by CD37 is a member of the transmembrane 4 superfamily, also known as the tetraspanin family. Most of these members are cell-surface proteins that are characterized by the presence of four hydrophobic domains. The proteins mediate signal transduction events that play a role in the regulation of cell development, activation, growth and motility. This encoded protein is a cell surface glycoprotein that is known to complex with integrins and other transmembrane 4 superfamily proteins. It may play a role in T-cell-B-cell interactions. Alternate splicing results in multiple transcript variants encoding different isoforms.
Gene ID 951
Alternative CD37; TSPAN26; Leukocyte antigen CD37; Tetraspanin-26; Tspan-26; CD37
Others CD37 Polyclonal Antibody detects endogenous levels of CD37 protein.
Accession P11049
Observed Band(KD) 30

Image & description

Fig.1. Western Blot analysis of hela cells using CD37 Polyclonal Antibody. Secondary antibody (catalog#: A21020) was diluted at 1:20000.

Fig.1. Western Blot analysis of hela cells using CD37 Polyclonal Antibody. Secondary antibody (catalog#: A21020) was diluted at 1:20000.

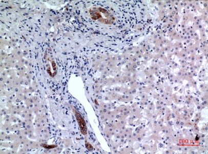
Fig.2. Immunohistochemical analysis of paraffin-embedded human-liver, antibody was diluted at 1:100.

Fig.2. Immunohistochemical analysis of paraffin-embedded human-liver, antibody was diluted at 1:100.

This product has been cited in0publications

Reviews

There are no reviews yet.

Be the first to review “CD37 Polyclonal Antibody”