Login Register
English
0

Cart

$ 0

CD328 Polyclonal Antibody

CD328 Polyclonal Antibody

Views(56) Publications(0) Catalog no(ABP53012)
Datasheet Print Share Email Share
  • Specification
  • FAQ
  • Publications(0)
  • Comments(0)

Specification

Product name CD328 Polyclonal Antibody
Immunogen Synthesized peptide derived from the Internal region of human CD328
Host Rabbit
Reactivity Human
Applications WB,IHC,IF,ELISA
Applications notes Optimal working dilutions should be determined experimentally by the investigator. Suggested starting dilutions are as follows: WB 1:500-1:2000;IHC: 1:100-300;ELISA 1:20000;IF 1:50-200
Clonality Polyclonal
Preparation method The antibody was affinity-purified from rabbit antiserum by affinity-chromatography using epitope-specific immunogen.
Alternative SIGLEC7; AIRM1; Sialic acid-binding Ig-like lectin 7; Siglec-7; Adhesion inhibitory receptor molecule 1; AIRM-1; CDw328; D-siglec; QA79 membrane protein; p75; CD328

Product Properties

Formulation Liquid solution
Concentration 1 mg/ml
Molecular weight 51kD
Storage buffer Liquid in PBS containing 50% glycerol, 0.5% BSA and 0.02% sodium azide.
Storage instructions Stable for one year at -20°C from date of shipment. For maximum recovery of product, centrifuge the original vial after thawing and prior to removing the cap. Aliquot to avoid repeated freezing and thawing.
Shipping Gel pack with blue ice.
Precautions The product listed herein is for research use only and is not intended for use in human or clinical diagnosis. Suggested applications of our products are not recommendations to use our products in violation of any patent or as a license. We cannot be responsible for patent infringements or other violations that may occur with the use of this product.

Additional Information

Background Putative adhesion molecule that mediates sialic-acid dependent binding to cells. Preferentially binds to alpha-2,3- and alpha-2,6-linked sialic acid. Also binds disialogangliosides (disialogalactosyl globoside, disialyl lactotetraosylceramide and disialyl GalNAc lactotetraoslylceramide). The sialic acid recognition site may be masked by cis interactions with sialic acids on the same cell surface. In the immune response, may act as an inhibitory receptor upon ligand induced tyrosine phosphorylation by recruiting cytoplasmic phosphatase(s) via their SH2 domain(s) that block signal transduction through dephosphorylation of signaling molecules. Mediates inhibition of natural killer cells cytotoxicity. May play a role in hemopoiesis. Inhibits differentiation of CD34+ cell precursors towards myelomonocytic cell lineage and proliferation of leukemic myeloid cells (in vitro).
Gene ID 27036
Alternative SIGLEC7; AIRM1; Sialic acid-binding Ig-like lectin 7; Siglec-7; Adhesion inhibitory receptor molecule 1; AIRM-1; CDw328; D-siglec; QA79 membrane protein; p75; CD328
Others CD328 Polyclonal Antibody detects endogenous levels of CD328 protein.
Accession Q9Y286
Observed Band(KD) 51

Image & description

Fig.1. Western Blot analysis of K562 cells using CD328 Polyclonal Antibody. Secondary antibody (catalog#: A21020) was diluted at 1:20000.

Fig.1. Western Blot analysis of K562 cells using CD328 Polyclonal Antibody. Secondary antibody (catalog#: A21020) was diluted at 1:20000.

Fig.2. Immunohistochemical analysis of paraffin-embedded human-colon-cancer, antibody was diluted at 1:100.

Fig.2. Immunohistochemical analysis of paraffin-embedded human-colon-cancer, antibody was diluted at 1:100.

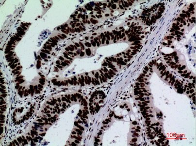
Fig.3. Immunohistochemical analysis of paraffin-embedded human-colon-cancer, antibody was diluted at 1:100.

Fig.3. Immunohistochemical analysis of paraffin-embedded human-colon-cancer, antibody was diluted at 1:100.

Fig.4. Immunohistochemical analysis of paraffin-embedded human-colon-cancer, antibody was diluted at 1:100.

Fig.4. Immunohistochemical analysis of paraffin-embedded human-colon-cancer, antibody was diluted at 1:100.

This product has been cited in0publications

Reviews

There are no reviews yet.

Be the first to review “CD328 Polyclonal Antibody”