Login Register
English
0

Cart

$ 0

CD299 Polyclonal Antibody

CD299 Polyclonal Antibody

Views(48) Publications(0) Catalog no(ABP58056)
Datasheet Print Share Email Share
  • Specification
  • FAQ
  • Publications(0)
  • Comments(0)

Specification

Product name CD299 Polyclonal Antibody
Immunogen Synthesized peptide derived from part region of human CD299 protein at amino acid sequence of 271-320
Host Rabbit
Reactivity Human,Mouse,Rat
Applications WB,IHC,IF,ELISA
Applications notes Optimal working dilutions should be determined experimentally by the investigator. Suggested starting dilutions are as follows: WB 1:500-2000;IHC 1:500-200;ELISA 1:10000-20000;IF 1:50-200
Clonality Polyclonal
Preparation method The antibody was affinity-purified from rabbit antiserum by affinity-chromatography using epitope-specific immunogen.
Alternative C-type lectin domain family 4 member M; CD209 antigen-like protein 1; DC-SIGN-related protein; DC-SIGNR; Dendritic cell-specific ICAM-3-grabbing non-integrin 2; DC-SIGN2; Liver/lymph node-specific ICAM-3-grabbing non-integrin; L-SIGN; CD antigen CD299

Product Properties

Formulation Liquid solution
Concentration 1 mg/ml
Molecular weight 60kD
Storage buffer Liquid in PBS containing 50% glycerol, 0.5% BSA and 0.02% sodium azide.
Storage instructions Stable for one year at -20°C from date of shipment. For maximum recovery of product, centrifuge the original vial after thawing and prior to removing the cap. Aliquot to avoid repeated freezing and thawing.
Shipping Gel pack with blue ice.
Precautions The product listed herein is for research use only and is not intended for use in human or clinical diagnosis. Suggested applications of our products are not recommendations to use our products in violation of any patent or as a license. We cannot be responsible for patent infringements or other violations that may occur with the use of this product.

Additional Information

Background CLEC4M encodes a transmembrane receptor and is often referred to as L-SIGN because of its expression in the endothelial cells of the lymph nodes and liver. The encoded protein is involved in the innate immune system and recognizes numerous evolutionarily divergent pathogens ranging from parasites to viruses, with a large impact on public health. The protein is organized into three distinct domains: an N-terminal transmembrane domain, a tandem-repeat neck domain and C-type lectin carbohydrate recognition domain. The extracellular region consisting of the C-type lectin and neck domains has a dual function as a pathogen recognition receptor and a cell adhesion receptor by binding carbohydrate ligands on the surface of microbes and endogenous cells. The neck region is important for homo-oligomerization which allows the receptor to bind multivalent ligands with high avidity. Variations in the number of 23 amino acid repeats in the neck domain of this protein are common and have a significant impact on ligand binding ability.
Gene ID 10332
Alternative C-type lectin domain family 4 member M; CD209 antigen-like protein 1; DC-SIGN-related protein; DC-SIGNR; Dendritic cell-specific ICAM-3-grabbing non-integrin 2; DC-SIGN2; Liver/lymph node-specific ICAM-3-grabbing non-integrin; L-SIGN; CD antigen CD299
Others The antibody detects endogenous levels of CD299
Accession Q9H2X3
Observed Band(KD) 60

Image & description

Fig.1. Western blot analysis of Mouse-lung Mouse-lung lysate, antibody was diluted at 1:2000. HRP, Goat Anti-Rabbit IgG (Cat #: A21020) secondary antibody was diluted at 1:20000.

Fig.1. Western blot analysis of Mouse-lung Mouse-lung lysate, antibody was diluted at 1:2000. HRP, Goat Anti-Rabbit IgG (Cat #: A21020) secondary antibody was diluted at 1:20000.

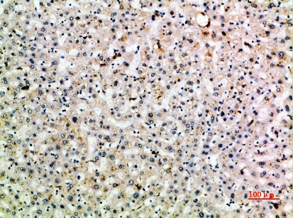
Fig.2. Immunohistochemical analysis of paraffin-embedded human-liver, antibody was diluted at 1:200.

Fig.2. Immunohistochemical analysis of paraffin-embedded human-liver, antibody was diluted at 1:200.

This product has been cited in0publications

Reviews

There are no reviews yet.

Be the first to review “CD299 Polyclonal Antibody”