Login Register
English
0

Cart

$ 0

CD1A/B Polyclonal Antibody

CD1A/B Polyclonal Antibody

Views(105) Publications(0) Catalog no(ABP58042)
Datasheet Print Share Email Share
  • Specification
  • FAQ
  • Publications(0)
  • Comments(0)

Specification

Product name CD1A/B Polyclonal Antibody
Immunogen Synthesized peptide derived from part region of human CD1A/B protein at amino acid sequence of 220-270
Host Rabbit
Reactivity Human
Applications IHC,IF,ELISA
Applications notes Optimal working dilutions should be determined experimentally by the investigator. Suggested starting dilutions are as follows: IHC 1:50-200;ELISA 1:10000-20000;IF 1:50-200
Clonality Polyclonal
Preparation method The antibody was affinity-purified from rabbit antiserum by affinity-chromatography using epitope-specific immunogen.
Alternative T-cell surface glycoprotein CD1a; CD1A; T-cell surface antigen T6/Leu-6; hTa1 thymocyte antigen; CD1a

Product Properties

Formulation Liquid solution
Concentration 1 mg/ml
Storage buffer Liquid in PBS containing 50% glycerol, 0.5% BSA and 0.02% sodium azide.
Storage instructions Stable for one year at -20°C from date of shipment. For maximum recovery of product, centrifuge the original vial after thawing and prior to removing the cap. Aliquot to avoid repeated freezing and thawing.
Shipping Gel pack with blue ice.
Precautions The product listed herein is for research use only and is not intended for use in human or clinical diagnosis. Suggested applications of our products are not recommendations to use our products in violation of any patent or as a license. We cannot be responsible for patent infringements or other violations that may occur with the use of this product.

Additional Information

Background CD1A encodes a member of the CD1 family of transmembrane glycoproteins, which are structurally related to the major histocompatibility complex (MHC) proteins and form heterodimers with beta-2-microglobulin. The CD1 proteins mediate the presentation of primarily lipid and glycolipid antigens of self or microbial origin to T cells. The human genome contains five CD1 family genes organized in a cluster on chromosome 1. The CD1 family members are thought to differ in their cellular localization and specificity for particular lipid ligands. The protein encoded by CD1A localizes to the plasma membrane and to recycling vesicles of the early endocytic system. Alternative splicing results in multiple transcript variants.
Gene ID 909/910
Alternative T-cell surface glycoprotein CD1a; CD1A; T-cell surface antigen T6/Leu-6; hTa1 thymocyte antigen; CD1a
Others The antibody detects endogenous levels of CD1A/B
Accession P06126/P29016

Image & description

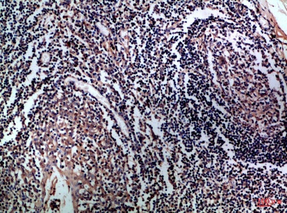
Fig.1. Immunohistochemical analysis of paraffin-embedded Human-tonsil, antibody was diluted at 1:100.

Fig.1. Immunohistochemical analysis of paraffin-embedded Human-tonsil, antibody was diluted at 1:100.

Fig.2. Immunohistochemical analysis of paraffin-embedded Human-tonsil, antibody was diluted at 1:100.

Fig.2. Immunohistochemical analysis of paraffin-embedded Human-tonsil, antibody was diluted at 1:100.

This product has been cited in0publications

Reviews

There are no reviews yet.

Be the first to review “CD1A/B Polyclonal Antibody”