Login Register
English
0

Cart

$ 0

CD110 Polyclonal Antibody

CD110 Polyclonal Antibody

Views(82) Publications(0) Catalog no(ABP53200)
Datasheet Print Share Email Share
  • Specification
  • FAQ
  • Publications(0)
  • Comments(0)

Specification

Product name CD110 Polyclonal Antibody
Immunogen Synthesized peptide derived from the Internal region of human CD110
Host Rabbit
Reactivity Human,Mouse,Rat
Applications WB,IHC,IF,ELISA
Applications notes Optimal working dilutions should be determined experimentally by the investigator. Suggested starting dilutions are as follows: WB 1:500-1:2000;IHC: 1:100-1:300;ELISA 1:20000;IF 1:50-200
Clonality Polyclonal
Preparation method The antibody was affinity-purified from rabbit antiserum by affinity-chromatography using epitope-specific immunogen.
Alternative MPL; TPOR; Thrombopoietin receptor; TPO-R; Myeloproliferative leukemia protein; Proto-oncogene c-Mpl; CD110

Product Properties

Formulation Liquid solution
Concentration 1 mg/ml
Molecular weight 69,40kD
Storage buffer Liquid in PBS containing 50% glycerol, 0.5% BSA and 0.02% sodium azide.
Storage instructions Stable for one year at -20°C from date of shipment. For maximum recovery of product, centrifuge the original vial after thawing and prior to removing the cap. Aliquot to avoid repeated freezing and thawing.
Shipping Gel pack with blue ice.
Precautions The product listed herein is for research use only and is not intended for use in human or clinical diagnosis. Suggested applications of our products are not recommendations to use our products in violation of any patent or as a license. We cannot be responsible for patent infringements or other violations that may occur with the use of this product.

Additional Information

Background In 1990 an oncogene, v-mpl, was identified from the murine myeloproliferative leukemia virus that was capable of immortalizing bone marrow hematopoietic cells from different lineages. In 1992 the human homologue, named, c-mpl, was cloned. Sequence data revealed that c-mpl encoded a protein that was homologous with members of the hematopoietic receptor superfamily. Presence of anti-sense oligodeoxynucleotides of c-mpl inhibited megakaryocyte colony formation. The ligand for c-mpl, thrombopoietin, was cloned in 1994. Thrombopoietin was shown to be the major regulator of megakaryocytopoiesis and platelet formation. The protein encoded by the c-mpl gene, CD110, is a 635 amino acid transmembrane domain, with two extracellular cytokine receptor domains and two intracellular cytokine receptor box motifs. TPO-R deficient mice were severely thrombocytopenic, emphasizing the important role of CD110 and thrombopoietin in megakaryocyte and platelet formation. Upon binding of thrombopoietin CD110 is dimerized and the JAK family of non-receptor tyrosine kinases, as well as the STAT family, the MAPK family, the adaptor protein Shc and the receptors themselves become tyrosine phosphorylated.
Gene ID 4352
Alternative MPL; TPOR; Thrombopoietin receptor; TPO-R; Myeloproliferative leukemia protein; Proto-oncogene c-Mpl; CD110
Others CD110 Polyclonal Antibody detects endogenous levels of CD110 protein.
Accession P40238
Observed Band(KD) 69,40

Image & description

Fig.1. Western Blot analysis of MCF7 cells using CD110 Polyclonal Antibody. Secondary antibody (catalog#: A21020) was diluted at 1:20000.

Fig.1. Western Blot analysis of MCF7 cells using CD110 Polyclonal Antibody. Secondary antibody (catalog#: A21020) was diluted at 1:20000.

Fig.2. Immunohistochemical analysis of paraffin-embedded human-liver, antibody was diluted at 1:100.

Fig.2. Immunohistochemical analysis of paraffin-embedded human-liver, antibody was diluted at 1:100.

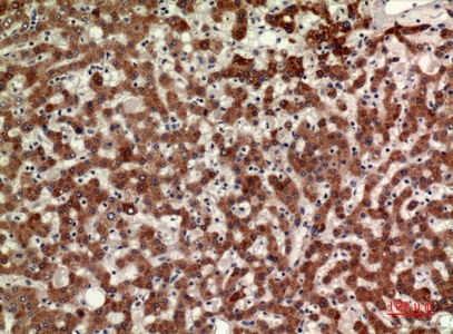
Fig.3. Immunohistochemical analysis of paraffin-embedded human-liver, antibody was diluted at 1:100.

Fig.3. Immunohistochemical analysis of paraffin-embedded human-liver, antibody was diluted at 1:100.

This product has been cited in0publications

Reviews

There are no reviews yet.

Be the first to review “CD110 Polyclonal Antibody”