Login Register
English
0

Cart

$ 0

C/EBP β Polyclonal Antibody

C/EBP β Polyclonal Antibody

Views(113) Publications(0) Catalog no(ABP53491)
Datasheet Print Share Email Share
  • Specification
  • FAQ
  • Publications(0)
  • Comments(0)

Specification

Product name C/EBP β Polyclonal Antibody
Immunogen Synthesized peptide derived from human C/EBP β around the non-phosphorylation site of T235
Host Rabbit
Reactivity Human,Mouse,Rat,Pig
Applications IF,WB,IHC,ELISA
Applications notes Optimal working dilutions should be determined experimentally by the investigator. Suggested starting dilutions are as follows: IF 1:50-200;WB 1:500-1:2000;IHC 1:100-1:300;ELISA 1:10000;Not yet tested in other applications;
Clonality Polyclonal
Preparation method The antibody was affinity-purified from rabbit antiserum by affinity-chromatography using epitope-specific immunogen.
Alternative CEBPB; LAP; TCF5; PP9092; CCAAT/enhancer-binding protein beta; C/EBP beta; Liver activator protein; Nuclear factor NF-IL6; Transcription factor 5; TCF-5

Product Properties

Formulation Liquid solution
Concentration 1 mg/ml
Molecular weight 36kD
Storage buffer Liquid in PBS containing 50% glycerol, 0.5% BSA and 0.02% sodium azide.
Storage instructions Stable for one year at -20°C from date of shipment. For maximum recovery of product, centrifuge the original vial after thawing and prior to removing the cap. Aliquot to avoid repeated freezing and thawing.
Shipping Gel pack with blue ice.
Precautions The product listed herein is for research use only and is not intended for use in human or clinical diagnosis. Suggested applications of our products are not recommendations to use our products in violation of any patent or as a license. We cannot be responsible for patent infringements or other violations that may occur with the use of this product.

Additional Information

Background CEBPB encodes a transcription factor that contains a basic leucine zipper (bZIP) domain. The CCAAT/enhancer binding protein beta functions as a homodimer but can also form heterodimers with CCAAT/enhancer-binding proteins alpha, delta, and gamma. Activity of this protein is important in the regulation of genes involved in immune and inflammatory responses, among other processes. The use of alternative in-frame AUG start codons results in multiple protein isoforms, each with distinct biological functions.
Gene ID 1051
Alternative CEBPB; LAP; TCF5; PP9092; CCAAT/enhancer-binding protein beta; C/EBP beta; Liver activator protein; Nuclear factor NF-IL6; Transcription factor 5; TCF-5
Others C/EBP β Polyclonal Antibody detects endogenous levels of C/EBP β protein.
Accession P17676
Observed Band(KD) 36

Image & description

Fig.1. Immunofluorescence analysis of human stomach tissue. 1, C/EBP β Polyclonal Antibody (red) was diluted at 1:200 (4°C, overnight). 2, Cy3 Labeled secondary antibody was diluted at 1:300 (room temperature, 50min). 3, Picture B: DAPI (blue) 10min. Picture A: Target. Picture B: DAPI. Picture C: merge of A+B.

Fig.1. Immunofluorescence analysis of human stomach tissue. 1, C/EBP β Polyclonal Antibody (red) was diluted at 1:200 (4°C, overnight). 2, Cy3 Labeled secondary antibody was diluted at 1:300 (room temperature, 50min). 3, Picture B: DAPI (blue) 10min. Picture A: Target. Picture B: DAPI. Picture C: merge of A+B.

Fig.2. Immunofluorescence analysis of rat lung tissue. 1, C/EBP β Polyclonal Antibody (red) was diluted at 1:200 (4°C, overnight). 2, Cy3 Labeled secondary antibody was diluted at 1:300 (room temperature, 50min). 3, Picture B: DAPI (blue) 10min. Picture A: Target. Picture B: DAPI. Picture C: merge of A+B.

Fig.2. Immunofluorescence analysis of rat lung tissue. 1, C/EBP β Polyclonal Antibody (red) was diluted at 1:200 (4°C, overnight). 2, Cy3 Labeled secondary antibody was diluted at 1:300 (room temperature, 50min). 3, Picture B: DAPI (blue) 10min. Picture A: Target. Picture B: DAPI. Picture C: merge of A+B.

Fig.3. Immunohistochemical analysis of paraffin-embedded human uterus cancer tissue. 1, C/EBP β Polyclonal Antibody was diluted at 1:200 (4°C, overnight). 2, Sodium citrate pH 6.0 was used for antibody retrieval (>98°C, 20min). 3, secondary antibody was diluted at 1:200 (room temperature, 30min). Negative control was used by secondary antibody only.

Fig.3. Immunohistochemical analysis of paraffin-embedded human uterus cancer tissue. 1, C/EBP β Polyclonal Antibody was diluted at 1:200 (4°C, overnight). 2, Sodium citrate pH 6.0 was used for antibody retrieval (>98°C, 20min). 3, secondary antibody was diluted at 1:200 (room temperature, 30min). Negative control was used by secondary antibody only.

Fig.4. Immunohistochemical analysis of paraffin-embedded mouse liver tissue. 1, C/EBP β Polyclonal Antibody was diluted at 1:200 (4°C, overnight). 2, Sodium citrate pH 6.0 was used for antibody retrieval (>98°C, 20min). 3, secondary antibody was diluted at 1:200 (room temperature, 30min). Negative control was used by secondary antibody only.

Fig.4. Immunohistochemical analysis of paraffin-embedded mouse liver tissue. 1, C/EBP β Polyclonal Antibody was diluted at 1:200 (4°C, overnight). 2, Sodium citrate pH 6.0 was used for antibody retrieval (>98°C, 20min). 3, secondary antibody was diluted at 1:200 (room temperature, 30min). Negative control was used by secondary antibody only.

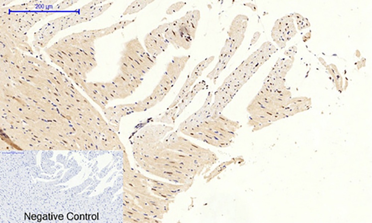
Fig.5. Immunohistochemical analysis of paraffin-embedded rat heart tissue. 1, C/EBP β Polyclonal Antibody was diluted at 1:200 (4°C, overnight). 2, Sodium citrate pH 6.0 was used for antibody retrieval (>98°C, 20min). 3, secondary antibody was diluted at 1:200 (room temperature, 30min). Negative control was used by secondary antibody only.

Fig.5. Immunohistochemical analysis of paraffin-embedded rat heart tissue. 1, C/EBP β Polyclonal Antibody was diluted at 1:200 (4°C, overnight). 2, Sodium citrate pH 6.0 was used for antibody retrieval (>98°C, 20min). 3, secondary antibody was diluted at 1:200 (room temperature, 30min). Negative control was used by secondary antibody only.

Fig.6. Western Blot analysis of A431 (1), PC-12 (2), HCT116 (3), HEK293 (4), MCF-7 (5), A549 (6), K562 (7),  diluted at 1:1000.

Fig.6. Western Blot analysis of A431 (1), PC-12 (2), HCT116 (3), HEK293 (4), MCF-7 (5), A549 (6), K562 (7), diluted at 1:1000.

This product has been cited in0publications

Reviews

There are no reviews yet.

Be the first to review “C/EBP β Polyclonal Antibody”