Login Register
English
0

Cart

$ 0

YAP Polyclonal Antibody

YAP Polyclonal Antibody

Views(52) Publications(0) Catalog no(ABP0129)
Datasheet Print Share Email Share
  • Specification
  • FAQ
  • Publications(0)
  • Comments(0)

Specification

Product name YAP Polyclonal Antibody
Immunogen Synthesized peptide derived from the Internal region of human YAP at AA range: 250-330
Host Rabbit
Reactivity Human,Mouse,Rat
Applications WB,IHC,IF,ELISA
Applications notes Optimal working dilutions should be determined experimentally by the investigator. Suggested starting dilutions are as follows: WB 1:500-1:2000;IHC 1:100-1:300;IF 1:200-1:1000;ELISA 1:5000;Not yet tested in other applications.
Clonality Polyclonal
Preparation method The antibody was affinity-purified from rabbit antiserum by affinity-chromatography using epitope-specific immunogen.
Alternative YAP1; YAP65; Yorkie homolog; 65 kDa Yes-associated protein; YAP65

Product Properties

Formulation Liquid solution
Concentration 1 mg/ml
Molecular weight 67kD
Storage buffer Liquid in PBS containing 50% glycerol, 0.5% BSA and 0.02% sodium azide.
Storage instructions Stable for one year at -20°C from date of shipment. For maximum recovery of product, centrifuge the original vial after thawing and prior to removing the cap. Aliquot to avoid repeated freezing and thawing.
Shipping Gel pack with blue ice.
Precautions The product listed herein is for research use only and is not intended for use in human or clinical diagnosis. Suggested applications of our products are not recommendations to use our products in violation of any patent or as a license. We cannot be responsible for patent infringements or other violations that may occur with the use of this product.

Additional Information

Background YAP2 encodes a downstream nuclear effector of the Hippo signaling pathway which is involved in development, growth, repair, and homeostasis. This gene is known to play a role in the development and progression of multiple cancers as a transcriptional regu.
Gene ID 10413
Alternative YAP1; YAP65; Yorkie homolog; 65 kDa Yes-associated protein; YAP65
Others YAP Polyclonal Antibody detects endogenous levels of YAP protein.
Accession P46937

Image & description

Fig.1. Western Blot analysis of 3T3 (1), Hela (2), HepG2 (3), COLO20S (4), diluted at 1:500.

Fig.1. Western Blot analysis of 3T3 (1), Hela (2), HepG2 (3), COLO20S (4), diluted at 1:500.

Fig.2. Immunofluorescence analysis of rat spleen tissue. 1, YAP Polyclonal Antibody (red) was diluted at 1:200 (4°C, overnight). 2, Cy3 Labeled secondary antibody was diluted at 1:300 (room temperature, 50min). 3, Picture B: DAPI (blue) 10min. Picture A: Target. Picture B: DAPI. Picture C: merge of A+B.

Fig.2. Immunofluorescence analysis of rat spleen tissue. 1, YAP Polyclonal Antibody (red) was diluted at 1:200 (4°C, overnight). 2, Cy3 Labeled secondary antibody was diluted at 1:300 (room temperature, 50min). 3, Picture B: DAPI (blue) 10min. Picture A: Target. Picture B: DAPI. Picture C: merge of A+B.

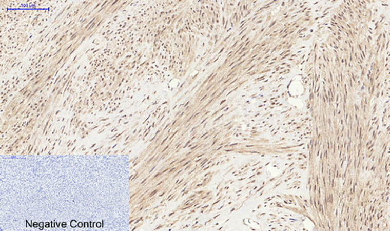
Fig.3. Immunohistochemical analysis of paraffin-embedded human uterus tissue. 1, YAP Polyclonal Antibody was diluted at 1:200 (4°C, overnight). 2, Sodium citrate pH 6.0 was used for antibody retrieval (>98°C, 20min). 3, secondary antibody was diluted at 1:200 (room temperature, 30min). Negative control was used by secondary antibody only.

Fig.3. Immunohistochemical analysis of paraffin-embedded human uterus tissue. 1, YAP Polyclonal Antibody was diluted at 1:200 (4°C, overnight). 2, Sodium citrate pH 6.0 was used for antibody retrieval (>98°C, 20min). 3, secondary antibody was diluted at 1:200 (room temperature, 30min). Negative control was used by secondary antibody only.

Fig.4. Immunohistochemical analysis of paraffin-embedded mouse lung tissue. 1, YAP Polyclonal Antibody was diluted at 1:200 (4°C, overnight). 2, Sodium citrate pH 6.0 was used for antibody retrieval (>98°C, 20min). 3, secondary antibody was diluted at 1:200 (room temperature, 30min). Negative control was used by secondary antibody only.

Fig.4. Immunohistochemical analysis of paraffin-embedded mouse lung tissue. 1, YAP Polyclonal Antibody was diluted at 1:200 (4°C, overnight). 2, Sodium citrate pH 6.0 was used for antibody retrieval (>98°C, 20min). 3, secondary antibody was diluted at 1:200 (room temperature, 30min). Negative control was used by secondary antibody only.

Fig.5. Immunohistochemical analysis of paraffin-embedded rat lung tissue. 1, YAP Polyclonal Antibody was diluted at 1:200 (4°C, overnight). 2, Sodium citrate pH 6.0 was used for antibody retrieval (>98°C, 20min). 3, secondary antibody was diluted at 1:200 (room temperature, 30min). Negative control was used by secondary antibody only.

Fig.5. Immunohistochemical analysis of paraffin-embedded rat lung tissue. 1, YAP Polyclonal Antibody was diluted at 1:200 (4°C, overnight). 2, Sodium citrate pH 6.0 was used for antibody retrieval (>98°C, 20min). 3, secondary antibody was diluted at 1:200 (room temperature, 30min). Negative control was used by secondary antibody only.

This product has been cited in0publications

Reviews

There are no reviews yet.

Be the first to review “YAP Polyclonal Antibody”