Login Register
English
0

Cart

$ 0

VGF Polyclonal Antibody

VGF Polyclonal Antibody

Views(63) Publications(0) Catalog no(ABP53027)
Datasheet Print Share Email Share
  • Specification
  • FAQ
  • Publications(0)
  • Comments(0)

Specification

Product name VGF Polyclonal Antibody
Immunogen Synthesized peptide derived from the Internal region of human VGF
Host Rabbit
Reactivity Human,Mouse,Rat
Applications WB,IHC,IF,ELISA
Applications notes Optimal working dilutions should be determined experimentally by the investigator. Suggested starting dilutions are as follows: WB 1:500-1:2000;IHC: 1:100-1:300;ELISA 1:20000;IF 1:50-200
Clonality Polyclonal
Preparation method The antibody was affinity-purified from rabbit antiserum by affinity-chromatography using epitope-specific immunogen.
Alternative VGF; Neurosecretory protein VGF

Product Properties

Formulation Liquid solution
Concentration 1 mg/ml
Molecular weight 67kD
Storage buffer Liquid in PBS containing 50% glycerol, 0.5% BSA and 0.02% sodium azide.
Storage instructions Stable for one year at -20°C from date of shipment. For maximum recovery of product, centrifuge the original vial after thawing and prior to removing the cap. Aliquot to avoid repeated freezing and thawing.
Shipping Gel pack with blue ice.
Precautions The product listed herein is for research use only and is not intended for use in human or clinical diagnosis. Suggested applications of our products are not recommendations to use our products in violation of any patent or as a license. We cannot be responsible for patent infringements or other violations that may occur with the use of this product.

Additional Information

Background VGF is specifically expressed in a subpopulation of neuroendocrine cells, and is upregulated by nerve growth factor. The structural organization of this gene is similar to that of the rat gene, and both the translated and the untranslated regions show a high degree of sequence similarity to the rat gene. The encoded secretory protein also shares similarities with the secretogranin/chromogranin family, however, its exact function is not known.
Gene ID 7425
Alternative VGF; Neurosecretory protein VGF
Others VGF Polyclonal Antibody detects endogenous levels of VGF protein.
Accession O15240
Observed Band(KD) 67

Image & description

Fig.1. Western Blot analysis of 293 cells using VGF Polyclonal Antibody. Secondary antibody (catalog#: A21020) was diluted at 1:20000.

Fig.1. Western Blot analysis of 293 cells using VGF Polyclonal Antibody. Secondary antibody (catalog#: A21020) was diluted at 1:20000.

Fig.2. Immunohistochemical analysis of paraffin-embedded human-mammary-cancer, antibody was diluted at 1:100.

Fig.2. Immunohistochemical analysis of paraffin-embedded human-mammary-cancer, antibody was diluted at 1:100.

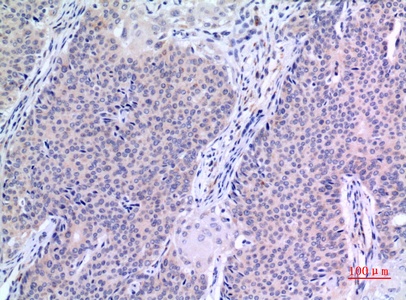
Fig.3. Immunohistochemical analysis of paraffin-embedded human-mammary-cancer, antibody was diluted at 1:100.

Fig.3. Immunohistochemical analysis of paraffin-embedded human-mammary-cancer, antibody was diluted at 1:100.

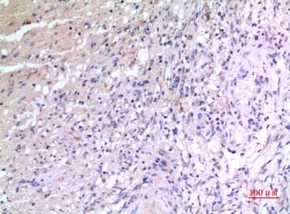
Fig.4. Immunohistochemical analysis of paraffin-embedded human-brain, antibody was diluted at 1:100.

Fig.4. Immunohistochemical analysis of paraffin-embedded human-brain, antibody was diluted at 1:100.

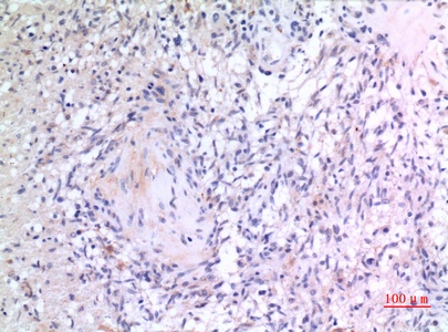
Fig.5. Immunohistochemical analysis of paraffin-embedded human-brain, antibody was diluted at 1:100.

Fig.5. Immunohistochemical analysis of paraffin-embedded human-brain, antibody was diluted at 1:100.

This product has been cited in0publications

Reviews

There are no reviews yet.

Be the first to review “VGF Polyclonal Antibody”