Login Register
English
0

Cart

$ 0

TGFβ RI (phospho Ser165) Polyclonal Antibody

TGFβ RI (phospho Ser165) Polyclonal Antibody

Views(110) Publications(0) Catalog no(ABP56379)
Datasheet Print Share Email Share
  • Specification
  • FAQ
  • Publications(0)
  • Comments(0)

Specification

Product name TGFβ RI (phospho Ser165) Polyclonal Antibody
Immunogen Synthesized peptide derived from human TGFβ RI around the phosphorylation site of S165
Host Rabbit
Reactivity Human,Mouse,Rat
Applications WB,IHC,IF,ELISA
Applications notes Optimal working dilutions should be determined experimentally by the investigator. Suggested starting dilutions are as follows: WB 1:500-2000;IF 1:50-300;IHC 1:50-300
Clonality Polyclonal
Preparation method The antibody was affinity-purified from rabbit antiserum by affinity-chromatography using epitope-specific immunogen.
Alternative TGFBR1; ALK5; SKR4; TGF-beta receptor type-1; TGFR-1; Activin A receptor type II-like protein kinase of 53kD; Activin receptor-like kinase 5; ALK-5; ALK5; Serine/threonine-protein kinase receptor R4; SKR4; TGF-beta type I receptor; Transfor

Product Properties

Formulation Liquid solution
Concentration 1 mg/ml
Storage buffer Liquid in PBS containing 50% glycerol, 0.5% BSA and 0.02% sodium azide.
Storage instructions Stable for one year at -20°C from date of shipment. For maximum recovery of product, centrifuge the original vial after thawing and prior to removing the cap. Aliquot to avoid repeated freezing and thawing.
Shipping Gel pack with blue ice.
Precautions The product listed herein is for research use only and is not intended for use in human or clinical diagnosis. Suggested applications of our products are not recommendations to use our products in violation of any patent or as a license. We cannot be responsible for patent infringements or other violations that may occur with the use of this product.

Additional Information

Background The protein encoded by TGFBR1 (transforming growth factor beta receptor 1) forms a heteromeric complex with type II TGF-beta receptors when bound to TGF-beta, transducing the TGF-beta signal from the cell surface to the cytoplasm. The encoded protein is a serine/threonine protein kinase. Mutations in TGFBR1 have been associated with Loeys-Dietz aortic aneurysm syndrome (LDAS). Multiple transcript variants encoding different isoforms have been found for TGFBR1.
Gene ID 7046
Alternative TGFBR1; ALK5; SKR4; TGF-beta receptor type-1; TGFR-1; Activin A receptor type II-like protein kinase of 53kD; Activin receptor-like kinase 5; ALK-5; ALK5; Serine/threonine-protein kinase receptor R4; SKR4; TGF-beta type I receptor; Transfor
Others Phospho-TGFβ RI (S165) Polyclonal Antibody detects endogenous levels of TGFβ RI protein only when phosphorylated at S165.
Accession P36897

Image & description

Fig.1. Western Blot analysis of mouse liver cells using Phospho-TGFβ RI (S165) Polyclonal Antibody diluted at 1:1000.

Fig.1. Western Blot analysis of mouse liver cells using Phospho-TGFβ RI (S165) Polyclonal Antibody diluted at 1:1000.

Fig.2. Immunohistochemical analysis of paraffin-embedded human liver tissue. 1, TGFβ RI (phospho Ser165) Polyclonal Antibody was diluted at 1:200 (4°C, overnight). 2, Sodium citrate pH 6.0 was used for antibody retrieval (>98°C, 20min). 3, secondary antibody was diluted at 1:200 (room temperature, 30min). Negative control was used by secondary antibody only.

Fig.2. Immunohistochemical analysis of paraffin-embedded human liver tissue. 1, TGFβ RI (phospho Ser165) Polyclonal Antibody was diluted at 1:200 (4°C, overnight). 2, Sodium citrate pH 6.0 was used for antibody retrieval (>98°C, 20min). 3, secondary antibody was diluted at 1:200 (room temperature, 30min). Negative control was used by secondary antibody only.

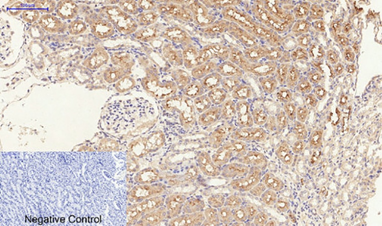
Fig.3. Immunohistochemical analysis of paraffin-embedded rat kidney tissue. 1, TGFβ RI (phospho Ser165) Polyclonal Antibody was diluted at 1:200 (4°C, overnight). 2, Sodium citrate pH 6.0 was used for antibody retrieval (>98°C, 20min). 3, secondary antibody was diluted at 1:200 (room temperature, 30min). Negative control was used by secondary antibody only.

Fig.3. Immunohistochemical analysis of paraffin-embedded rat kidney tissue. 1, TGFβ RI (phospho Ser165) Polyclonal Antibody was diluted at 1:200 (4°C, overnight). 2, Sodium citrate pH 6.0 was used for antibody retrieval (>98°C, 20min). 3, secondary antibody was diluted at 1:200 (room temperature, 30min). Negative control was used by secondary antibody only.

This product has been cited in0publications

Reviews

There are no reviews yet.

Be the first to review “TGFβ RI (phospho Ser165) Polyclonal Antibody”