Login Register
English
0

Cart

$ 0

TERT Polyclonal Antibody

TERT Polyclonal Antibody

Views(48) Publications(0) Catalog no(ABP53245)
Datasheet Print Share Email Share
  • Specification
  • FAQ
  • Publications(0)
  • Comments(0)

Specification

Product name TERT Polyclonal Antibody
Immunogen Synthesized peptide derived from the C-terminal region of human TERT
Host Rabbit
Reactivity Human,Rat,Mouse,
Applications WB,IHC,IF,ELISA
Applications notes Optimal working dilutions should be determined experimentally by the investigator. Suggested starting dilutions are as follows: WB 1:500-1:2000;IHC: 1:100-1:300;ELISA 1:20000;IF 1:50-200
Clonality Polyclonal
Preparation method The antibody was affinity-purified from rabbit antiserum by affinity-chromatography using epitope-specific immunogen.
Alternative TERT; EST2; TCS1; TRT; Telomerase reverse transcriptase; HEST2; Telomerase catalytic subunit; Telomerase-associated protein 2; TP2

Product Properties

Formulation Liquid solution
Concentration 1 mg/ml
Molecular weight 130kD
Storage buffer Liquid in PBS containing 50% glycerol, 0.5% BSA and 0.02% sodium azide.
Storage instructions Stable for one year at -20°C from date of shipment. For maximum recovery of product, centrifuge the original vial after thawing and prior to removing the cap. Aliquot to avoid repeated freezing and thawing.
Shipping Gel pack with blue ice.
Precautions The product listed herein is for research use only and is not intended for use in human or clinical diagnosis. Suggested applications of our products are not recommendations to use our products in violation of any patent or as a license. We cannot be responsible for patent infringements or other violations that may occur with the use of this product.

Additional Information

Background Telomerase is a ribonucleoprotein polymerase that maintains telomere ends by addition of the telomere repeat TTAGGG. The enzyme consists of a protein component with reverse transcriptase activity, encoded by this gene, and an RNA component which serves as a template for the telomere repeat. Telomerase expression plays a role in cellular senescence, as it is normally repressed in postnatal somatic cells resulting in progressive shortening of telomeres. Deregulation of telomerase expression in somatic cells may be involved in oncogenesis. Studies in mouse suggest that telomerase also participates in chromosomal repair, since de novo synthesis of telomere repeats may occur at double-stranded breaks. Alternatively spliced variants encoding different isoforms of telomerase reverse transcriptase have been identified; the full-length sequence of some variants has not been determined. Alternative splicing at this locus is thought to be one mechanism of regulation of telomerase activity.
Gene ID 7015
Alternative TERT; EST2; TCS1; TRT; Telomerase reverse transcriptase; HEST2; Telomerase catalytic subunit; Telomerase-associated protein 2; TP2
Others TERT Polyclonal Antibody detects endogenous levels of TERT protein.
Accession O14746
Observed Band(KD) 130

Image & description

Fig.1. Western Blot analysis of hela, HepG2 cells using TERT Polyclonal Antibody. Secondary antibody (catalog#: A21020) was diluted at 1:20000.

Fig.1. Western Blot analysis of hela, HepG2 cells using TERT Polyclonal Antibody. Secondary antibody (catalog#: A21020) was diluted at 1:20000.

Fig.2. Immunohistochemical analysis of paraffin-embedded human-tonsilla, antibody was diluted at 1:100.

Fig.2. Immunohistochemical analysis of paraffin-embedded human-tonsilla, antibody was diluted at 1:100.

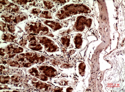
Fig.3. Immunohistochemical analysis of paraffin-embedded human-stomach, antibody was diluted at 1:100.

Fig.3. Immunohistochemical analysis of paraffin-embedded human-stomach, antibody was diluted at 1:100.

Fig.4. Immunohistochemical analysis of paraffin-embedded human-stomach, antibody was diluted at 1:100.

Fig.4. Immunohistochemical analysis of paraffin-embedded human-stomach, antibody was diluted at 1:100.

This product has been cited in0publications

Reviews

There are no reviews yet.

Be the first to review “TERT Polyclonal Antibody”