Login Register
English
0

Cart

$ 0

SOCS-3 Polyclonal Antibody

SOCS-3 Polyclonal Antibody

Views(67) Publications(0) Catalog no(ABP60458)
Datasheet Print Share Email Share
  • Specification
  • FAQ
  • Publications(0)
  • Comments(0)

Specification

Product name SOCS-3 Polyclonal Antibody
Immunogen Synthesized peptide derived from part region of human SOCS-3 protein at amino acid sequence of 20-70
Host Rabbit
Reactivity Human,Mouse,Rat
Applications WB,IHC,IF
Applications notes Optimal working dilutions should be determined experimentally by the investigator. Suggested starting dilutions are as follows: WB 1:500-1:2000;IHC:1:50-300;IF 1:50-200
Clonality Polyclonal
Preparation method The antibody was affinity-purified from rabbit antiserum by affinity-chromatography using epitope-specific immunogen.
Alternative Suppressor of cytokine signaling 3; SOCS-3; Cytokine-inducible SH2 protein 3; CIS-3; STAT-induced STAT inhibitor 3; SSI-3

Product Properties

Formulation Liquid solution
Concentration 1 mg/ml
Storage buffer Liquid in PBS containing 50% glycerol, 0.5% BSA and 0.02% sodium azide.
Storage instructions Stable for one year at -20°C from date of shipment. For maximum recovery of product, centrifuge the original vial after thawing and prior to removing the cap. Aliquot to avoid repeated freezing and thawing.
Shipping Gel pack with blue ice.
Precautions The product listed herein is for research use only and is not intended for use in human or clinical diagnosis. Suggested applications of our products are not recommendations to use our products in violation of any patent or as a license. We cannot be responsible for patent infringements or other violations that may occur with the use of this product.

Additional Information

Background SOCS3 encodes a member of the STAT-induced STAT inhibitor (SSI), also known as suppressor of cytokine signaling (SOCS), family. SSI family members are cytokine-inducible negative regulators of cytokine signaling. The expression of SOCS3 is induced by various cytokines, including IL6, IL10, and interferon (IFN)-gamma. The protein encoded by SOCS3 can bind to JAK2 kinase, and inhibit the activity of JAK2 kinase. Studies of the mouse counterpart of SOCS3 suggested the roles of SOCS3 in the negative regulation of fetal liver hematopoiesis, and placental development. SOCS3 (Suppressor Of Cytokine Signaling 3) is a Protein Coding gene. Diseases associated with SOCS3 include Overnutrition and Atopic Dermatitis. Among its related pathways are Type II interferon signaling (IFNG) and Adipocytokine signaling pathway.
Gene ID 9021
Alternative Suppressor of cytokine signaling 3; SOCS-3; Cytokine-inducible SH2 protein 3; CIS-3; STAT-induced STAT inhibitor 3; SSI-3
Others The antibody detects endogenous levels of SOCS-3
Accession O14543

Image & description

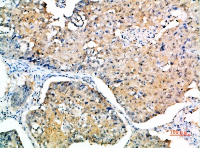
Fig.1. Immunohistochemical analysis of paraffin-embedded human-lung-cancer, antibody was diluted at 1:200.

Fig.1. Immunohistochemical analysis of paraffin-embedded human-lung-cancer, antibody was diluted at 1:200.

Fig.2. Immunohistochemical analysis of paraffin-embedded human-lung-cancer, antibody was diluted at 1:200.

Fig.2. Immunohistochemical analysis of paraffin-embedded human-lung-cancer, antibody was diluted at 1:200.

This product has been cited in0publications

Reviews

There are no reviews yet.

Be the first to review “SOCS-3 Polyclonal Antibody”