Login Register
English
0

Cart

$ 0

Smad5 Polyclonal Antibody

Smad5 Polyclonal Antibody

Views(54) Publications(0) Catalog no(ABP52818)
Datasheet Print Share Email Share
  • Specification
  • FAQ
  • Publications(0)
  • Comments(0)

Specification

Product name Smad5 Polyclonal Antibody
Immunogen Synthesized peptide derived from the Internal region of human Smad5
Host Rabbit
Reactivity Human,Rat
Applications WB,IHC,IF,ELISA
Applications notes Optimal working dilutions should be determined experimentally by the investigator. Suggested starting dilutions are as follows: WB 1:500-1:2000;IHC: 1:100-300;ELISA 1:40000;IF 1:50-200
Clonality Polyclonal
Preparation method The antibody was affinity-purified from rabbit antiserum by affinity-chromatography using epitope-specific immunogen.
Alternative SMAD5; MADH5; Mothers against decapentaplegic homolog 5; MAD homolog 5; Mothers against DPP homolog 5; JV5-1; SMAD family member 5; SMAD 5; Smad5; hSmad5

Product Properties

Formulation Liquid solution
Concentration 1 mg/ml
Molecular weight 52kD
Storage buffer Liquid in PBS containing 50% glycerol, 0.5% BSA and 0.02% sodium azide.
Storage instructions Stable for one year at -20°C from date of shipment. For maximum recovery of product, centrifuge the original vial after thawing and prior to removing the cap. Aliquot to avoid repeated freezing and thawing.
Shipping Gel pack with blue ice.
Precautions The product listed herein is for research use only and is not intended for use in human or clinical diagnosis. Suggested applications of our products are not recommendations to use our products in violation of any patent or as a license. We cannot be responsible for patent infringements or other violations that may occur with the use of this product.

Additional Information

Background Mothers against decapentaplegic homolog 5 encoded by SMAD5 is involved in the transforming growth factor beta signaling pathway that results in an inhibition of the proliferation of hematopoietic progenitor cells. The encoded protein is activated by bone morphogenetic proteins type 1 receptor kinase, and may be involved in cancer. Alternative splicing results in multiple transcript variants.
Gene ID 4090
Alternative SMAD5; MADH5; Mothers against decapentaplegic homolog 5; MAD homolog 5; Mothers against DPP homolog 5; JV5-1; SMAD family member 5; SMAD 5; Smad5; hSmad5
Others Smad5 Polyclonal Antibody detects endogenous levels of Smad5 protein.
Accession Q99717
Observed Band(KD) 52

Image & description

Fig.1. Western Blot analysis of extracts from K562 cells, using Smad5 Polyclonal Antibody. Secondary antibody (catalog#: A21020) was diluted at 1:20000.

Fig.1. Western Blot analysis of extracts from K562 cells, using Smad5 Polyclonal Antibody. Secondary antibody (catalog#: A21020) was diluted at 1:20000.

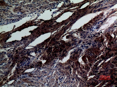
Fig.2. Immunohistochemical analysis of paraffin-embedded human-uterus, antibody was diluted at 1:100.

Fig.2. Immunohistochemical analysis of paraffin-embedded human-uterus, antibody was diluted at 1:100.

This product has been cited in0publications

Reviews

There are no reviews yet.

Be the first to review “Smad5 Polyclonal Antibody”