Login Register
English
0

Cart

$ 0

SCGF Polyclonal Antibody

SCGF Polyclonal Antibody

Views(56) Publications(0) Catalog no(ABP57405)
Datasheet Print Share Email Share
  • Specification
  • FAQ
  • Publications(0)
  • Comments(0)

Specification

Product name SCGF Polyclonal Antibody
Immunogen Synthesized peptide derived from the N-terminal region of human SCGF
Host Rabbit
Reactivity Human,Mouse
Applications WB,IHC,IF,ELISA
Applications notes Optimal working dilutions should be determined experimentally by the investigator. Suggested starting dilutions are as follows: WB 1:500-1:2000;IHC: 1:100-1:300;ELISA 1:10000;IF 1:50-200
Clonality Polyclonal
Preparation method The antibody was affinity-purified from rabbit antiserum by affinity-chromatography using epitope-specific immunogen.
Alternative CLEC11A; CLECSF3; LSLCL; SCGF; C-type lectin domain family 11 member A; C-type lectin superfamily member 3; Lymphocyte secreted C-type lectin; Stem cell growth factor; p47

Product Properties

Formulation Liquid solution
Concentration 1 mg/ml
Molecular weight 30kD
Storage buffer Liquid in PBS containing 50% glycerol, 0.5% BSA and 0.02% sodium azide.
Storage instructions Stable for one year at -20°C from date of shipment. For maximum recovery of product, centrifuge the original vial after thawing and prior to removing the cap. Aliquot to avoid repeated freezing and thawing.
Shipping Gel pack with blue ice.
Precautions The product listed herein is for research use only and is not intended for use in human or clinical diagnosis. Suggested applications of our products are not recommendations to use our products in violation of any patent or as a license. We cannot be responsible for patent infringements or other violations that may occur with the use of this product.

Additional Information

Background CLEC11A (C-type lectin domain family 11 member A) encodes a member of the C-type lectin superfamily. The encoded protein is a secreted sulfated glycoprotein and functions as a growth factor for primitive hematopoietic progenitor cells. An alternative splice variant has been described but its biological nature has not been determined.
Gene ID 6320
Alternative CLEC11A; CLECSF3; LSLCL; SCGF; C-type lectin domain family 11 member A; C-type lectin superfamily member 3; Lymphocyte secreted C-type lectin; Stem cell growth factor; p47
Others SCGF Polyclonal Antibody detects endogenous levels of SCGF protein.
Accession Q9Y240
Observed Band(KD) 30

Image & description

Fig.1. Western blot analysis of Mouse-SPLEEN RAT-SPLEEN using CLEC11A antibody. Antibody was diluted at 1:2000. Secondary antibody (catalog#: A21020) was diluted at 1:20000.

Fig.1. Western blot analysis of Mouse-SPLEEN RAT-SPLEEN using CLEC11A antibody. Antibody was diluted at 1:2000. Secondary antibody (catalog#: A21020) was diluted at 1:20000.

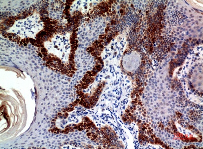
Fig.2. Immunohistochemical analysis of paraffin-embedded human-skin, antibody was diluted at 1:100.

Fig.2. Immunohistochemical analysis of paraffin-embedded human-skin, antibody was diluted at 1:100.

This product has been cited in0publications

Reviews

There are no reviews yet.

Be the first to review “SCGF Polyclonal Antibody”