Login Register
English
0

Cart

$ 0

PTEN (phospho Ser380/T382/T383) Polyclonal Antibody

PTEN (phospho Ser380/T382/T383) Polyclonal Antibody

Views(57) Publications(0) Catalog no(ABP0164)
Datasheet Print Share Email Share
  • Specification
  • FAQ
  • Publications(0)
  • Comments(0)

Specification

Product name PTEN (phospho Ser380/T382/T383) Polyclonal Antibody
Immunogen Synthesized peptide derived from human PTEN around the phosphorylation site of S380/T382/T383
Host Rabbit
Reactivity Human,Mouse,Rat
Applications WB,IHC,IF,ELISA
Applications notes Optimal working dilutions should be determined experimentally by the investigator. Suggested starting dilutions are as follows: WB 1:500-1:2000;IHC 1:100-1:300;ELISA 1:20000;IF 1:50-200
Clonality Polyclonal
Preparation method The antibody was affinity-purified from rabbit antiserum by affinity-chromatography using epitope-specific immunogen.
Alternative PTEN; MMAC1; TEP1; Phosphatidylinositol 3; 4,5-trisphosphate 3-phosphatase and dual-specificity protein phosphatase PTEN; Mutated in multiple advanced cancers 1; Phosphatase and tensin homolog

Product Properties

Formulation Liquid solution
Concentration 1 mg/ml
Molecular weight 53kD
Storage buffer Liquid in PBS containing 50% glycerol, 0.5% BSA and 0.02% sodium azide.
Storage instructions Stable for one year at -20°C from date of shipment. For maximum recovery of product, centrifuge the original vial after thawing and prior to removing the cap. Aliquot to avoid repeated freezing and thawing.
Shipping Gel pack with blue ice.
Precautions The product listed herein is for research use only and is not intended for use in human or clinical diagnosis. Suggested applications of our products are not recommendations to use our products in violation of any patent or as a license. We cannot be responsible for patent infringements or other violations that may occur with the use of this product.

Additional Information

Background PTEN (phosphatase and tensin homolog) was identified as a tumor suppressor that is mutated in a large number of cancers at high frequency. The protein encoded by PTEN is a phosphatidylinositol-3,4,5-trisphosphate 3-phosphatase. It contains a tensin like domain as well as a catalytic domain similar to that of the dual specificity protein tyrosine phosphatases. Unlike most of the protein tyrosine phosphatases, this protein preferentially dephosphorylates phosphoinositide substrates. It negatively regulates intracellular levels of phosphatidylinositol-3,4,5-trisphosphate in cells and functions as a tumor suppressor by negatively regulating AKT/PKB signaling pathway. The use of a non-canonical (CUG) upstream initiation site produces a longer isoform that initiates translation with a leucine, and is thought to be preferentially associated with the mitochondrial inner membrane. This longer isoform may help regulate energy metabolism in the mitochondria. A pseudogene of PTEN is found on chromosome 9. Alternative splicing and the use of multiple translation start codons results in multiple transcript variants encoding different isoforms.
Gene ID 5728
Alternative PTEN; MMAC1; TEP1; Phosphatidylinositol 3; 4,5-trisphosphate 3-phosphatase and dual-specificity protein phosphatase PTEN; Mutated in multiple advanced cancers 1; Phosphatase and tensin homolog
Others Phospho-PTEN (S380/T382/T383) Polyclonal Antibody detects endogenous levels of PTEN protein only when phosphorylated at S380/T382/T383.
Accession P60484

Image & description

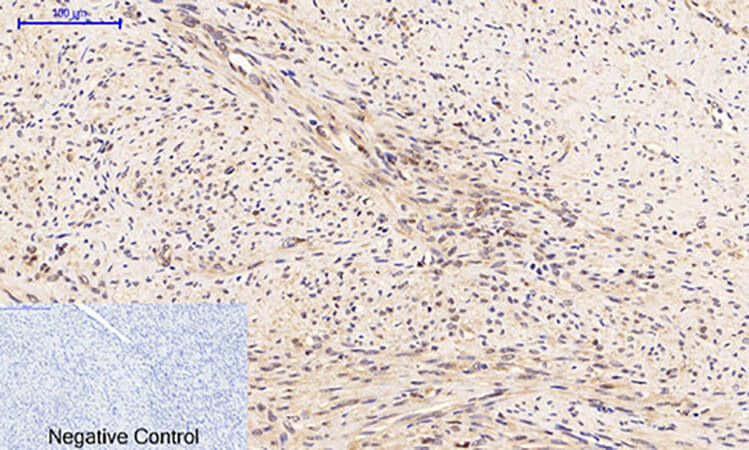
Fig.1. Immunohistochemical analysis of paraffin-embedded human uterus cancer tissue. 1, PTEN (phospho Ser380/T382/T383) Polyclonal Antibody was diluted at 1:200 (4°C, overnight). 2, Sodium citrate pH 6.0 was used for antibody retrieval (>98°C, 20min). 3, secondary antibody was diluted at 1:200 (room temperature, 30min). Negative control was used by secondary antibody only.

Fig.1. Immunohistochemical analysis of paraffin-embedded human uterus cancer tissue. 1, PTEN (phospho Ser380/T382/T383) Polyclonal Antibody was diluted at 1:200 (4°C, overnight). 2, Sodium citrate pH 6.0 was used for antibody retrieval (>98°C, 20min). 3, secondary antibody was diluted at 1:200 (room temperature, 30min). Negative control was used by secondary antibody only.

Fig.2. Immunohistochemical analysis of paraffin-embedded mouse lung tissue. 1, PTEN (phospho Ser380/T382/T383) Polyclonal Antibody was diluted at 1:200 (4°C, overnight). 2, Sodium citrate pH 6.0 was used for antibody retrieval (>98°C, 20min). 3, secondary antibody was diluted at 1:200 (room temperature, 30min). Negative control was used by secondary antibody only.

Fig.2. Immunohistochemical analysis of paraffin-embedded mouse lung tissue. 1, PTEN (phospho Ser380/T382/T383) Polyclonal Antibody was diluted at 1:200 (4°C, overnight). 2, Sodium citrate pH 6.0 was used for antibody retrieval (>98°C, 20min). 3, secondary antibody was diluted at 1:200 (room temperature, 30min). Negative control was used by secondary antibody only.

Fig.3. Immunohistochemical analysis of paraffin-embedded rat brain tissue. 1, PTEN (phospho Ser380/T382/T383) Polyclonal Antibody was diluted at 1:200 (4°C, overnight). 2, Sodium citrate pH 6.0 was used for antibody retrieval (>98°C, 20min). 3, secondary antibody was diluted at 1:200 (room temperature, 30min). Negative control was used by secondary antibody only.

Fig.3. Immunohistochemical analysis of paraffin-embedded rat brain tissue. 1, PTEN (phospho Ser380/T382/T383) Polyclonal Antibody was diluted at 1:200 (4°C, overnight). 2, Sodium citrate pH 6.0 was used for antibody retrieval (>98°C, 20min). 3, secondary antibody was diluted at 1:200 (room temperature, 30min). Negative control was used by secondary antibody only.

Fig.4. Western Blot analysis of RAW (1), AD293 (2), diluted at 1:1000.

Fig.4. Western Blot analysis of RAW (1), AD293 (2), diluted at 1:1000.

This product has been cited in0publications

Reviews

There are no reviews yet.

Be the first to review “PTEN (phospho Ser380/T382/T383) Polyclonal Antibody”