Login Register
English
0

Cart

$ 0

pS2 Polyclonal Antibody

pS2 Polyclonal Antibody

Views(91) Publications(0) Catalog no(ABP60016)
Datasheet Print Share Email Share
  • Specification
  • FAQ
  • Publications(0)
  • Comments(0)

Specification

Product name pS2 Polyclonal Antibody
Immunogen Synthesized peptide derived from part region of human pS2 protein at amino acid sequence of 10-50
Host Rabbit
Reactivity Human,Rat,Mouse,
Applications IHC,IF,ELISA
Applications notes Optimal working dilutions should be determined experimentally by the investigator. Suggested starting dilutions are as follows: IHC 1:50-200;ELISA 1:10000-20000;IF 1:50-200
Clonality Polyclonal
Preparation method The antibody was affinity-purified from rabbit antiserum by affinity-chromatography using epitope-specific immunogen.
Alternative Trefoil factor 1; Breast cancer estrogen-inducible protein; PNR-2; Polypeptide P1.A; hP1.A; Protein pS2

Product Properties

Formulation Liquid solution
Concentration 1 mg/ml
Storage buffer Liquid in PBS containing 50% glycerol, 0.5% BSA and 0.02% sodium azide.
Storage instructions Stable for one year at -20°C from date of shipment. For maximum recovery of product, centrifuge the original vial after thawing and prior to removing the cap. Aliquot to avoid repeated freezing and thawing.
Shipping Gel pack with blue ice.
Precautions The product listed herein is for research use only and is not intended for use in human or clinical diagnosis. Suggested applications of our products are not recommendations to use our products in violation of any patent or as a license. We cannot be responsible for patent infringements or other violations that may occur with the use of this product.

Additional Information

Background Members of the trefoil family are characterized by having at least one copy of the trefoil motif, a 40-amino acid domain that contains three conserved disulfides. They are stable secretory proteins expressed in gastrointestinal mucosa. Their functions are not defined, but they may protect the mucosa from insults, stabilize the mucus layer, and affect healing of the epithelium. Aliases, which is expressed in the gastric mucosa, has also been studied because of its expression in human tumors. Aliase and two other related trefoil family member genes are found in a cluster on chromosome 21.
Gene ID 7031
Alternative Trefoil factor 1; Breast cancer estrogen-inducible protein; PNR-2; Polypeptide P1.A; hP1.A; Protein pS2
Others The antibody detects endogenous levels of pS2
Accession P04155

Image & description

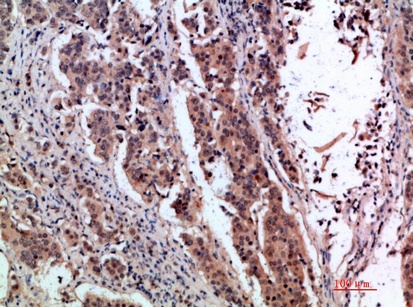
Fig.1. Immunohistochemical analysis of paraffin-embedded human-breast-cancer, antibody was diluted at 1:200.

Fig.1. Immunohistochemical analysis of paraffin-embedded human-breast-cancer, antibody was diluted at 1:200.

Fig.2. Immunohistochemical analysis of paraffin-embedded human-breast-cancer, antibody was diluted at 1:200.

Fig.2. Immunohistochemical analysis of paraffin-embedded human-breast-cancer, antibody was diluted at 1:200.

Fig.3. Immunohistochemical analysis of paraffin-embedded human-stomach, antibody was diluted at 1:200.

Fig.3. Immunohistochemical analysis of paraffin-embedded human-stomach, antibody was diluted at 1:200.

Fig.4. Immunohistochemical analysis of paraffin-embedded human-stomach, antibody was diluted at 1:200.

Fig.4. Immunohistochemical analysis of paraffin-embedded human-stomach, antibody was diluted at 1:200.

This product has been cited in0publications

Reviews

There are no reviews yet.

Be the first to review “pS2 Polyclonal Antibody”